Прыщ – это не только неприятное глазу зрелище, но и достаточно болезненные ощущения. В основе его возникновения лежит воспалительный процесс, сопровождаемый опухолью вокруг. Заживление же требует достаточного количества времени и терпения и частенько не обходится без рубцов.
Приступать к лечебным процедурам лучше сразу после того, как вы заметили покраснение и отек. Медлить в этом случае не стоит, так как воспаление имеет свойство разрастаться.
Если прыщ появился некстати, когда вам так необходимо выйти на улицу или отправиться в общественное место, то воспользуйтесь спиртом. Ватный диск, смоченный в любом крепком алкоголе (медицинский спирт, водка, самогон и др.), следует приложить к поражённому месту на 10 минут. Первоначально могут возникнуть болезненные ощущения, которые скоро сменятся теплом.
При возможности целый день оставаться дома используйте метод сухого тепла. Электрическая грелка или бутылка с горячей водой, завёрнутые в полотенце, чтобы избежать ожогов, или нагретый шерстяной мешочек с поваренной солью прикладывайте к месту воспаления несколько раз в день на 20-30 минут.
Хорошими ночными средствами станут йодная сетка или аспириновая паста. С йодом будьте аккуратны, не мажьте его слишком густо. Это может стать причиной ожога. Примените точечное нанесение. Или измельчите таблетку аспирина, смешайте с водой до пастообразного состояния и нанесите на всю поверхность прыща. Эти средства проникают в ткани и, благодаря антибактериальному свойству, устраняют воспаление. Не менее популярными препаратами являются салициловая кислота и цинк, которые следует наносить на очищенную кожу несколько раз в день. Они отрегулируют выделение кожного жира и очистят поры.
Снять опухоль после прыща и устранить нагноение поможет алоэ. Очистите лист от колючек и кожицы и прикрепите лейкопластырем к больному месту. Оставьте повязку на ночь. Через несколько дней все пройдет.
В любом салоне можно воспользоваться услугами Дарсонваль или обработкой жидким азотом. Это позволяет избавиться от воспаления за короткий срок. Альтернативным средством может стать кремообразная мятная зубная паста. Наносить ее следует на воспаленный участок без открытых ран на несколько часов.
В среднем на лечение опухоли уходит 3-5 дней. Помните, что раздражённую и воспалённую кожу нельзя трогать руками без особой надобности. Чем больше прикосновений к прыщу, тем выше вероятность разрастания воспаления. Не следует выдавливать гной, даже если кожа после процедур кажется тонкой. Главное – не забывайте о регулярности лечебного воздействия.
На участке, где ранее находился подкожный прыщ, возможно появление отечности. Устранить припухлость от прыщика самостоятельно не всегда удается, поэтому стоит обращаться к косметологу, который поможет справиться с проблемой на лице, под глазом или других частях тела. Быстро снять опухоль на переносице, в области лба или кожного покрова иного участка удается посредством медикаментозных препаратов. Если вскочил большой прыщик под кожей, который сильно распух и воспалился, то возможно потребуются более радикальные методы избавления от возникшей припухлости.
Что вызывает сильную боль от прыща?
Нет простой и одной конкретной причины появления боли от прыща «Кистозные угри и болезненные прыщи могут быть вызваны всплеском гормонов По существу, когда уровень гормонов вашего тела сдвигается, он посылает масла, производящие железы, в овердрайв «Сам сальник может стать подкожным больным прыщом, потому что он заполнен закаленным избыточным маслом», — добавляет Рене Кисты, скорее всего, повлияют на появления подобных болезненных прыщей, в особенной степени на лице и подбородке, так как эта область имеет большое количество сальных желез, что означает более высокую вероятность прорывов и забитых пор.
Также есть шанс, что появление таких прыщей может быть обусловлено в корне неправильным рационом питания Мы предлагаем вам сделать шаг назад и изучить ваши привычки в еде, чтобы вы могли попытаться выявить виновных продуктов в образовании кист и болезненных прыщей на лице Попробуйте избавиться от определенных групп продуктов и задокументировать в блокноте, как отсутствие или потребления каждого вида продукта влияет на состояние вашей кожи в течении ближайших 8 часов.
Ежедневное потребление определенных продуктов может повлиять на естественный баланс вашей кожи и вызвать воспаление, что на самом деле ускоряет образование кист и прыщей Особенно это касается влияния на кожу молочных и мясных продуктов, жареного, сладкого и сильно острого.
«Исследования постоянно показывают, что высоко гликемический рацион питания может активировать появление или усугубление боли от подкожного и обычного прыща, в особенности под воздействием сахара Это означает, что настало время отказаться от некоторых из ваших любимых удовольствий ради вашей кожи В соответствии с этим исследованием, к некоторым из худших «преступников» относятся белый хлеб, шоколад и молочка.
Проблемный кожный покров нуждается в особенном уходе. Когда гигиена не будут соблюдена, то возрастает риск возникновения болезненной сыпи на лице. Кроме неприятного внешнего вида, наросты причиняют сильный физический дискомфорт.
При накоплении гнойного содержимого в нижних слоях формируются болезненные прыщи на лице. Устранить их достаточно трудно, поскольку нужно выявить первопричину их появления. Установить, в связи с чем сформировались новообразования и назначить соответствующее лечение способен специалист.
Что делать с шишкой, как ее убрать?
Удаление шишки, образовавшейся после выдавливания прыща может проводиться в условиях учреждения здравоохранения, где врач хирург вырежет новообразование, почистит эпителиальную сумку, в которой была опухоль наложит косметические швы. Шрам после такого вида оперативного вмешательства будет практически незаметным.
Если шишка образовалась на лице и все же есть страх перед хирургическим методом удаления новообразования, чтобы не осталось рубца, то можно использовать следующие виды терапии:
- Мазь Вишневского. Это универсальный лекарственный препарат, позволяющий удалять подкожные образования и уплотнения инфекционной этиологии, которые возникли в результате гнойно-воспалительного процесса. Данное средство обладает отличным дренажным свойством. Достаточно всего лишь нанести небольшое количество мази на ватку, приложить ее к месту локализации опухоли и зафиксировать вату медицинским пластырем. С такой лекарственной повязкой человек должен ходить не менее 6 часов. Рекомендуется применять медикамент 2 раза в день — утром и вечером. Всего за 3-4 дня мазь способна вытянуть все застывшие гнойные уплотнения даже из самых глубоких слоев эпидермальных тканей. Единственный минус лекарственного средства заключается в том, что мазь Вишневского обладает специфическим запахом, молекулы которого очень летучи и быстро заполняют закрытое помещение.
- Компресс из соды и соли. Для его приготовления потребуется взять 1 чайную ложку пищевой соды и 10 чайных ложек поваренной соли. После этого компоненты будущего лекарства растворяются в стакане теплой воды. В полученную жидкость необходимо положить марлевую ткань или кусок ваты, чтобы он напитался раствором. Затем марлю прикладывают к больному участку кожи в качестве теплого компресса. Перед нанесением повязки на кожный покров марлевую ткань тщательно отжимают. Лучше всего подобные компрессы делать на ночь, чтобы обеспечить максимальный согревающий эффект и ограничить передвижение. Сода, входящая в состав лечебного раствора, улучшает местное кровообращение и расширяет поры, чтобы выход содержимого уплотнения был более динамичным. Соль выступает в качестве натурального антисептика, исключающего развитие в коже болезнетворных микроорганизмов любого вида.
- Левомеколь. По своему типу действия лекарство очень похоже на мазь Вишневского. В составе Левомеколя находится антибиотик, который подавляет активность патогенных микроорганизмов, снимает воспаление, способствует рассасыванию подкожного уплотнения и выведит его за пределы организма естественным путем. Мазь наносится ровным слоем сверху на медицинский пластырь, который в дальнейшем крепится на кожную поверхность, где сосредоточена шишка. Ориентировочные сроки лечения составляют от 3 до 6 дней. За этот период активные компоненты Левомеколя сделают плотную структуру опухоли более мягкой, ускорят кровообращение и вытянут застывшее содержимое наружу.
Несмотря на простоту и безопасность применения данных методов терапии, рекомендуется не заниматься самолечением, а посетить врача дерматолога, получить консультацию специалиста и лишь после этого приступать к лечению шишки, образовавшейся после выдавливания прыща.
Причины
Изначально требуется обнаружить провоцирующий фактор образования неприятного высыпания на лице, ввиду чего сама терапия упростится и станет боле эффективной.
Целесообразно проконсультироваться с высококвалифицированным специалистом, чем противодействовать патологии самому.
Вызвать появление болезненных прыщей способны такие причины:
- механический травматизм кожного покрова (особенно, в области носа либо подбородке, где воспалительный процесс проявляется крайне часто);
- перегрев либо переохлаждение;
- ненадлежащее соблюдение гигиенических правил;
- пагубные привычки (табакокурение, злоупотребление алкогольными напитками);
- несбалансированный рацион питания;
- нарушения в функционировании эндокринной системы и ЦНС;
- гормональный дисбаланс, который сопряжен с возрастными изменениями;
- аллергия;
- генетический фактор.
Вышеуказанные факторы служат сопутствующими обстоятельствами формирования воспаления в сальных железах. Тем не менее прыщи во всех случаях созревают из-за патогенных микроорганизмов.
Они живут на кожном покрове у каждого, но при наличии «благоприятной» среды проникают внутрь и провоцируют воспалительный процесс, терапия которого занимает длительное время.
Разновидностей сыпи – большое количество, как и причин. Это требуется учесть при выборе способов терапии. С другой стороны, установление провоцирующего фактора дает возможность предотвратить возникновение болезненной сыпи в дальнейшем.
Подкожные
Подкожная сыпь на лице возникает поэтапно: сначала появляется незначительно уплотнение под кожным покровом. Оно отличается болезненностью и быстрым ростом.
Далее добавляется воспалительный процесс и припухлость. Такие прыщи крайне долго зреют, причиняя болевые ощущения и дискомфорт. Иногда процесс созревания тянется 1-2 месяца. Высыпание сложно лечится, а после нередко остаются шрамы.
Красные
Папулы – красная сыпь на поверхности лица является одной из наиболее популярных форм угревого высыпания. Незначительные, в некоторых случаях болезненные, поражают примерно половину кожи лица и причиняют существенный дискомфорт.
Почему возникает проблема?
Отек лица и иных областей, где образовались прыщи, часто припухают, что связано с несколькими факторами. Если отекла щека или нос, то это может свидетельствовать о том, что прыщик лопнул и содержащаяся в нем жидкость распространилась на здоровые ткани эпидермиса. А также пациенты могут заметить, что болит и опухло вокруг фурункула в том случае, если он выдавился при помощи пинцета, рук и других средств, не успев полностью созреть. Повлиять на припухлость после прыща способны следующие причины:
- Попадание инфекции. При повреждении целостности образования на кожном покрове остается открытая ранка, в которую нередко проникают патогенные микроорганизмы, что становится источником воспалительной реакции. Для предупреждения подобного процесса все манипуляции по удалению прыщей выполняются чистыми руками и инструментами.
- Распространение гнойной жидкости во внутренние ткани. Чаще угорь прорывается наружу, но бывают случаи, при которых прыщ лопается внутрь. Если вовремя не провести лечение и не убрать припухлость, то возможен абсцесс, устранить который удается лишь оперативным путем.
- Нарушенная работа внутренних органов. Высыпания на руках, ногах и других частях тела, на фоне которых возникает отек, бывают связаны с неправильным функционированием кишечника, печени, почек и эндокринной системы.
Если образовался прыщ над глазом, то ни в коем случае не стоит его выдавливать и сильно давить на кожный покров. В таком случае вероятность появления припухлости в разы возрастает.
Как избавиться
Для устранения подобной трудности следует провести комплексную терапию. Прежде всего необходимо купировать воспаление.
На 2 этапе требуется привести в норму функционирование самих сальных желез. Нужно предупредить появление вероятных неблагоприятных последствий.
Медикаментозное лечение
Лекарственная терапия общими системными препаратами осуществляется в той ситуации, когда провоцирующим фактором появления болезненной сыпи на лице станет вирусное поражение либо сбой в функционировании внутренних органов.
С учетом этого специалист подберет действенные медикаментозные препараты. Когда сыпь вызвана попаданием вредоносных бактерий, необходимо принимать антибиотики.
Самыми эффективными считаются:
Видео: Отзывы врача о препарате Доксициклин
Угри на щеках, причины и лечение. Подробнее тут.
Косметические процедуры
В определенных ситуациях больному необходима помощь профильного специалиста. Подобное предполагается, когда очаг поражения достаточно большой и сыпь распространена по всему лицу.
Косметолог выбирает процедуру с учетом типа кожного покрова. Необходимо во время ее проведения привести в норму функционирование сальных желез.
При незначительном воспалении проводят мезотерапию. Она предполагает введение под кожу антивоспалительных средств. Кроме того действенным являются уколы кислорода и озона.
Созревшие прыщи нуждаются в удалении. Врач помогает сделать это без ущерба для кожного покрова.
Устранить новообразования возможно в процессе осуществления:
- дезинкрустации;
- механического очищения;
- ручной чистки.
Предотвратить вероятность образования воспаления возможно посредством лазерной шлифовки либо жесткого пилинга.
Лечебная косметика
Ускорить созревание, а следовательно и терапию данной сыпи, вполне возможно.
Наиболее простым методом сделать это – нанести на болезненные угри следующие препараты:
- клиндовит, далацин (антибиотики бактериостатического и бактерицидного воздействия);
- левомеколь (противомикробный препарат, заживляющего и антивоспалительного действия);
- мазь цинковая, ихтиоловая, Вишневского (дезинфицирующие, антивоспалительные средства, которые снимают дискомфорт и вытягивают гной).
Данные медикаменты достаточно эффективны и обеспечивают проблемному кожному покрову соответствующий уход.
Народные методы
Народная терапия предлагает различные рецепты устранения болезненного высыпания на лице:
- В кратчайшие сроки вытягивает гной из прыща сок алоэ. Используется в качестве компресса к поврежденному участку.
- Регулярные паровые ванночки с лекарственными растениями (к примеру, ромашка). Сыпь будет созревать и заживать намного быстрее.
- Умывание водой с соком лимона в одинаковом количестве.
Домашние рецепты
В бытовых условиях возможно провести большое количество полезных процедур:
- Настой из соли. Берутся 2 ст. л. поваренной соли. В стакане горячей воды данная соль растворяется. Масса кипятится, а после делаются примочки на пораженные участки. Они держатся примерно 5 минут.
- Морская соль. Ежедневные ванны с морской солью благотворно влияют на состояние кожного покрова.
- Йод. Болезненные прыщи возможно прижечь йодом (запрещается для сыпи на слизистых).
Терапия высыпания на лице может быть ускорена антивоспалительными масками и лосьонами, которые готовятся собственноручно:
- Аспирин и вода. Размельчается таблетка лекарства и растворяется в небольшом количестве воды до кашеобразной массы. Смесь наносится непосредственно на прыщ. Держится 10 минут, затем смывается.
- Синтомициновая мазь. Смешивается с теплой водой и каждый день протирается лицо, в том числе воспаленные участки. Средство помогает быстро восстановить пораженную кожу.
- Чеснок. Обработав лицо при помощи оливкового либо растительного масла, на поврежденные участки наносят размельченный чеснок. Прикрывается марлей. Компресс держат 20 минут, после марля убирается, а лицо промывается настоем ромашки.
- Алоэ. Заливается стаканом холодной либо минеральной воды 4-5 листьев растения. Выдерживается в воде примерно 60 минут, потом кипятится. Настой остужается, из него листья достают и растираются в кашеобразное состояние. Масса накладывается на лицо. Держится примерно 15 минут.
Указанные рецепты способствуют скорейшему восстановлению поврежденных участков кожи лица.
Средства и методы лечения припухлости от прыща
Первые неприятные высыпания появляются в пубертатном периоде. Во время полового созревания происходят гормональные перестройки, обменные процессы дают сбой. Увеличивается выработка йода и наблюдается недостаток цинка, ретинола и витаминов группы В. Нарушается работа сальных желез, снижаются их бактерицидные свойства. Патогенные бактерии вызывают воспаление.
В последствии снижение защитных функции вызывают разные причины. Но независимо от триггеров, нарушение проявляется высыпаниями. При усилении воспаления прыщи увеличиваются в размерах, возникает покраснение и отек.
Для уменьшения раздражения используют разные средства:
- противовоспалительные препараты: мази, таблетки;
- средства с подсушивающим эффектом;
- настои и соки лекарственных растений.
Процедуры, помогающие убрать покраснение от прыща проводят ежедневно до полного устранения проблемы.
Использование аптечных препаратов
Специальные мази, крема от акне содержат компоненты, подавляющие размножение бактерий, уменьшающие воспалительный процесс. Эти вещества есть в каждой домашней аптечке. Их использование поможет избавиться от отечности.
Но специализированные препараты включают комплекс компонентов и действуют эффективнее.
- Ацетилсалициловая кислота или Аспирин обладают противовоспалительным действием. Уменьшают гиперемию (покраснение), расширяют сосуды, поры, обеспечивая нормальную циркуляцию крови. Таблетку растирают и смешивают с водой, чтобы получилась кашица. Ватной палочкой смесь наносят на пораженную область. После высыхания смеси лицо умывают теплой водой.
- Перекись водорода оказывает антисептическое действие. При контакте с дермой высвобождается активный кислород, происходит инактивация (потеря биовеществом активности) крови, гноя, замедляется рост патогенов. Ватную палочку или диск смачивают жидкостью и обрабатывают воспаленную область.
- Препараты на основе азелоиновой кислоты (Скинорен, Азелик). Вещество подавляет рост пропионовокислых бактерий, вызывающих прыщи (Propionibacterium acnes). Крема и гели применяют согласно инструкции.
Во избежание раздражение применение начинают с маленьких доз.
Народные средства
Альтернативная медицина имеет в своем арсенале немало способов, направленных на устранение прыщей, покраснения от прыща и припухлости. В народных рецептах используются продукты, которые есть в каждом доме.
Зубная паста содержит дезинфицирующие вещества: перекись водорода и пероксид мочевины. Химические соединения уменьшают число вредных бактерий, подсушивают дерму.
Пасты с содержанием ментола оказывают успокаивающее действие на область, с которой они соприкасаются. Пасту, как крем наносят на угри перед сном, утром смывают.
Сок алоэ предотвращает инфекцию, снимает воспаление. Из свежесрезанного листа выдавливают сок, которым обрабатывают места высыпаний. Маслянистая жидкость создает тонкую пленку, предотвращая на время нанесения попадания микробов.
Растение используют для приготовления многокомпонентных рецептов.
- Сок алоэ и лимона смешивают в соотношении 8:1. Наносят на лицо на 10 минут, избегая попадания области вокруг глаз, смывают.
- Смешивают 2 ст. л. меда, по одной чайной алоэ и корицы. Полученную массу наносят на 5-10 мин., смывают теплой водой.
Календула или цветки ноготком обладает антибактериальными свойствами. Настой из растения используют для умывания. Для его приготовления 100 г сухого сырья заливают 300 мл кипятка, настаивают до охлаждения.
Меры профилактики
Консультация у врача даст возможность установить, что стало первоначальной причиной появления болезненной сыпи на лице. Важное значение имеют меры профилактики неприятного явления.
Для предотвращения патологии необходимо:
- пересмотреть образ жизни;
- скорректировать рацион питания, избавиться от пагубных привычек;
- следовать правилам гигиены;
- при необходимости провести лечение посредством озонотерапии;
- пользоваться косметикой соответствующего качества.
Соблюдая вышеуказанные предписания, возможно предупредить появление болезненных прыщей на поверхности лица.
Акне или угри – это распространенное заболевание кожи рецидивирующего характера. В подростковом возрасте высыпания считаются физиологической нормой, но у части больных угревая болезнь может проявляться и в детском, и во взрослом возрасте болезненными кожными новообразованиями. Чаще всего появляются болючие прыщи на лице, но могут быть задействованы и другие участки тела. Такие угри образуются под кожей. По мере созревания они или выходят на поверхность, или воспалительный процесс проникает в глубокие слои дермы. В любом случае человек испытывает болезненные ощущения.
Как навсегда избавиться от опухлости от акне
Регулярно возникающие прыщи раздражают не только кожу, они доставляют психологический дискомфорт. Применение традиционных и альтернативных методов дает временный эффект.
Чтобы избавиться от патологических высыпаний следует подойти к решению проблемы комплексно:
- пересматривают рацион, дисбаланс питательных веществ нарушает функции сальных желез;
- увеличивают (только без фанатизма) потребление витаминов группы А, В, цинка;
- избегают стрессовых ситуаций;
- следят за гигиеной;
- высыпаются, полноценный отдых составляет 6-8 часов.
Правильное питание и режим улучшают здоровье в целом и кожи в частности.
Устранение причины
Воспалительные процессы вызывают патогенные бактерии. Чтобы избавится от опухлости от прыщей необходимо устранить причину их возникновения. Дерму после умывания обрабатывают антисептиками: Мирамистин, Хлоргексидин. Спиртосодержащие препараты устраняют вредные бактерии полностью.
Развитие акне нередко обусловлено гормональными сбоями. Необходимо пройти обследование, по результатам которого врач назначит адекватную терапию. Самостоятельно применение стероидов может ухудшить ситуацию.
Косметологические методы
Избавление от высыпаний и чистку эпидермиса выполняют в салонах косметической медицины. Дерматокосметологи подбирают процедуры индивидуально, результат виден сразу.
Рекомендованные процедуры:
- Химический пилинг – очищение дермы с помощью кислотных средств. Наносимые вещества устраняют загрязнения, подавляют рост патогенов, вызывающих воспаление. Происходит регенерация, обновление дермы.
- Массаж по Жаке. Процедура улучшает кровообращение, обменные процессы. Восстанавливается барьерная функция, повышается переносимость негативного воздействия внешних факторов.
- Elos – омоложение дермы с помощью импульсного оптического прибора. Во время сеанса прогреваются глубокие слои дермы, уменьшается воспаление. Сужаются поры, что препятствует росту патогенной флоры.
Альтернативные домашние методы и использование портативных препаратов, также дает положительный эффект.
Почему появляются болезненные угри
По мнению большинства медиков есть 2 основные причины, почему появляются прыщи на лице — избыточная секреция мужских половых гормонов (андрогенов) или их чрезмерное воздействие на организм и уровень секреции сальных желез, зависящий от генетической предрасположенности. Дерматологи выделяют целый ряд факторов, способствующих и выработке андрогенов, и запуску генетического механизма:
- заболевания эндокринной системы, ожирение;
- гормональный дисбаланс связанный с менструальным циклом у женщин и беременностью;
- прием гормональных препаратов (в том числе контрацептивов), противотуберкулезных медикаментов;
- у женщин, занимающихся силовыми видами спорта, при появлении болючих прыщей на лице причина может крыться в использовании анаболиков в сочетании с витаминами группы В для наращивания мышечной массы;
- неправильный уход за кожей, использование комедогенной косметики, чрезмерная чистоплотность и злоупотребление спиртовыми лосьонами;
- особенности питания, в котором большую часть рациона составляет пища с высоким уровнем углеводов;
- недостаток микроэлементов и витаминов, в первую очередь цинка и витамина А;
- механические повреждения кожи (микроранки, расчесы), облегчающие бактериям проникновение к сальным протокам;
- переохлаждение и перегрев в равной степени.
Это не полный перечень причин и часть из них ещё до конца не установлена.
Прыщи на лице: причины, лечение, инфекция
Прыщи и комедоны беспокоят многих людей. Наиболее часто они появляются у обладателей жирной кожи. Поры ее обычно расширены, а железы, вырабатывающие кожное сало работают очень активно. При этом вырабатывается повышенное количество жира, который смешивается в течение дня с уличной грязью, пылью. Микробы, содержащиеся в них, проникают глубоко в эпидермис, закупоривая поры и вызывая воспаление. Сегодня мы с вами более подробно поговорим про прыщи на лице, причины, лечение, какая инфекция их вызывает — обо всем этом узнаем и все это обсудим: Основные причины прыщей на лице На самом деле, причин этого неприятного явления довольно много. Например, очень часто высыпания на коже возникают из-за дисбаланса полезных веществ в организме. В частности, дефицит витаминов А, Е, группы В вызывает нарушение в работе сальных желез и они не могут вырабатывать достаточного количества жира. А вот переизбыток такого микроэлемента, как магний, приводит к расширению пор и избыточному накоплению подкожного жира. Другой очень важной причиной появления прыщей на лице, являются различные инфекции, заболевания внутренних органов, систем организма. Ведь известно, что у здорового человека прыщи на коже лица не возникают. Если же прыщи становятся постоянными вашими спутниками, нужно обратиться к врачу и пройти обследование. После проведения диагностики, доктор назначит комплексное лечение, которое избавит навсегда от кожных высыпаний. Когда прыщи на лице дает инфекция Специалисты в этой области знают, что местный кожный иммунитет обеспечивается и усиливается иммунным клетками, в частности, клетками Лангерганса. Именно они препятствуют развитию различных инфекций, так как управляют, воздействуют на специфические клетки кожи — эпидермальные макрофаги и эпителиоциты. Если нарушается биохимический состав кожного жира, увеличивается его выработка, бактерицидные свойства иммунных клеток понижается. В результате поры забитые жиром, становятся прекрасным местом для развития, размножения болезнетворных бактерий, например, стафилококка. Микробы вызывают воспаление, провоцирующее часто инфекционное заболевание. Вот и появляются в таких условиях те самые ненавистные прыщи на лице, инфекция вокруг которых «просто пирует»… Лечение инфекции При назначении терапии, доктор обязательно проведет диагностику, для выявления причины их появления. Ведь прыщи на лице, лечение которых неадекватно, никуда не денутся и при этом такая терапия может нанести еще больший вред коже. После выявления бактерии — возбудителя, доктор назначит комплексное лечение с использованием антибактериальных мазей, лекарственных препаратов для внутреннего и наружного применения. Выбор таких препаратов довольно широк. Начинают лечение, как правило, с приема антибиотиков. Назначает нужный препарат врач в индивидуальном порядке. Также препараты с антибиотиками используют и наружно. Также в комплекс лечения обязательно включают витаминные препараты А и В6. Дополнительно назначают различные физиопроцедуры. Наиболее эффективны электрокоагуляция и УВЧ.
Немаловажным фактором успешного лечения и профилактики прыщей является правильный уход за кожей, соблюдение правил личной гигиены. Все очень просто: чаще мойте лицо, используя нежирные косметические средства, например, мыло. Протирайте кожу специальными лосьонами для жирной кожи. Не трогайте лицо грязными руками. Следите, чтобы не появлялись комедоны. Они представляют собой расширенные поры, в которых накопилось кожное сало, от которого не так просто избавиться. Комедоны — будущие потенциальные прыщи. Именно в них чаще проникает инфекция, туда проникают стафилококки, вызывая воспаление. Лечением комедонов занимаются профессиональные косметологи. Народные методы лечения прыщей Для лечения прыщей на лице можно использовать эффективное народное лечение. Существует очень много действенных рецептов, которые помогут избавиться от них надолго. Вот некоторые из них: — Избавиться от прыщей на лице, причиной которых стала инфекция, поможет сок растения чистотела. Мелко порежьте стебли, листья этого растения. Потом выжмите через марлечку сок. Смазывайте им тщательно очищенное лицо. Можно смазать все лицо, а можно нанести сок на прыщи. Смажьте их 2-3 раза. Подождите 15 мин, после чего умойтесь водой без мыла. Очищение кожи начнется через 3 процедуры. Будьте осторожны и не допускайте попадание сока на слизистую глаз. — Можно провести лечение с помощью настоя, приготовленного из череды. Для этого траву измельчите или используйте сушеную. Положите в посуду 1 ст. л., а затем налейте 1 стакан крутого кипятка. Посуду укутайте, ждите, пока настой остынет, станет теплым. Протирайте этим средством лицо. Желательно принимать его и внутрь. Выпивайте стакан настоя по глоточку, в течение дня. — Или вот еще одно очень эффективное лечение: Отрежьте от бруска темного хозяйственного мыла небольшой кусочек. Разомните его в пальцах. Потом слепите шарик, посыпьте негусто сахарным песком и сплющите в лепешечку. Прикрепите ее к прыщу, закрепите пластырем. — Черные точки, белые комедоны смазывайте перед сном таким средством: выжмите сок из 4 средних зубчиков чеснока с помощью кусочка марли. Выложите кашицу в небольшую посуду, добавьте такой же объем яблочного уксуса, капните 2-3 кап. меда. Все перемешайте и смазывайте поврежденные участки кожи. — Хорошо подсушивает прыщи, снимает воспаление крутой солевой раствор. Понадобится обогащенная кремнием или негазированная минеральная вода. Соль купите морскую. Приготовьте раствор: 2 ст. л. на 200 мл. воды. Ополаскивайте или протирайте раствором кожу лица утром и перед сном. — Устранить прыщи, возникшие вследствие негативного воздействия инфекции, можно таким составом: Смешайте вместе порошок стрептоцида (1 пакетик), 10 истолченных таблеток трихопола и 2 левомицетина. Добавьте содержимое бутылька настойки календулы. Все тщательно перемешайте. Полученную смесь наносите на прыщи, угри, кожные воспаления, высыпания на полчаса. После чего умойтесь. Будьте здоровы!
Как формируются прыщи
Процесс развития, который проходят болезненные прыщи на лице, объединяет в себе 4 взаимосвязанных звена:
- чрезмерное выделение сального секрета (себума) железами;
- избыточное ороговение и нарушение отслойки эпидермиса в области волосяных фолликулов;
- воспаление;
- рост бактерий acnes.
Формирование прыща начинается с того, что в области волосяного фолликула, куда выходят выводные протоки сальных желез начинается процесс гиперкератоза, при котором чешуйки верхнего слоя эпидермиса начинают быстро отслаиваться. Смешиваясь с сальным секретом они делают его гуще, и он не может выйти на поверхность. При этом сальные железы продолжают функционировать. Такая смесь из себума и отмерших кожных клеток образует пробку, которая расширяет выводное отверстие и забивает его – так появляются открытые и закрытые комедоны.
В таких образованиях бактерии акне, являющиеся постоянными жителями кожного покрова, находят для себя благоприятную питательную среду, начинают активно размножаться. В результате их жизнедеятельности выделяется много токсических веществ, повреждающих стенки протоков и желез. От чувствительности иммунных клеток организма к бактериям acnes зависит появятся ли воспалительные угри или комедоны.
Еще одним обитателем кожного покрова человека является золотистый стафилококк. Когда этот микроорганизм проникает в устье волосяного фолликула, то образуется болючий чирей – фурункул.
Основные причины появления уплотненных следов на месте высыпаний
Косметологи выделяют три основных фактора, из-за которых остаются уплотнения после гнойничков и фурункулов:
Прыщи и фурункулы – это воспаление протока сальной железы
- Воспалительный процесс в глубоких слоях кожи. Есть случаи, когда застой в сальной железе «дозрел», его содержимое вышло наружу, но в глубоких слоях эпидермиса инфекция все еще присутствует, о чем свидетельствует маленький бугорок. Воспалительный процесс приглушен, но при сниженном иммунитете на месте уплотнений могут снова появиться гнойнички.
- Рубцевание тканей. Около 25% людей генетически предрасположены к формированию фиброзной ткани во время заживания ран. Однако рубцы после прыщей остаются преимущественно по вине пациента. Один из провоцирующих факторов появления рубцевания – это попытки самостоятельно выдавить содержимое фурункула без соблюдения базовых правил гигиены, частое прикасание к открытой ранке после гнойничка.
- Уплотнение после прыща может появиться из-за патологий внутренних органов и неправильного питания. Жирная, жаренная, копченая пища, нерегулярное питание – все это пагубно влияет на микрофлору кишечника. На стенках ЖКТ начинают скапливаться шлаки. Организм старается очиститься всеми возможными способами, в том числе выводом токсинов через сальные железы кожи. Если поры сужены (у курильщиков, людей, часто пользующихся декоративной косметикой), подкожный жир скапливается в тканях эпидермиса, и появляются болезненные подкожные прыщи.
При неправильном механическом удалении прыщей инфекция попала в ранку, и зреет подкожное воспаление
Появление бугорков на месте высыпаний провоцируют патологии эндокринной системы, например, недостаток выработки гормонов щитовидной железы. А при гормональном дисбалансе у женщин подкожные дерматозы проявляются преимущественно на скулах и подбородке.
Виды воспалительных элементов
Прыщи на лице могут быть нескольких видов:
- Комедоны открытые и закрытые. Открытые комедоны – это известные всем черные точки, закрытые, их еще называют просянка – белые уплотнения круглой формы, расположенные под кожей.
- Папула. Этот элемент представляет собой плотный бесполостной бугорок красного цвета, возвышающийся над кожей. В нем не образуется гной, и он может пройти самостоятельно в течение нескольких недель или преобразоваться в пустулёзный элемент.
- Пустула. Воспалительный прыщ с полостью внутри, заполненной гноем. Бугорки. Такие элементы образуются на последних стадиях заболевания. Они залегают глубоко в дерме и по мере развития выходят на поверхность кожи, приобретая шаровидную форму. Наиболее тяжелой формой считаются шаровидные или конглобатные угри, которые поражают не только кожу, но и жировую клетчату.
- Кисты. Несмотря на пробки, сальные железы работают и выделяют секрет, который растягивает протоки и увеличивает сами железы в объеме и образуются кисты. Они очень часто воспаляются с образованием гноя и превращаются в синюшные глубокие узлы, получившие названия кистозные угри.
При эволюции любого элемента угревой сыпи как правило происходит вскрытие гнойника, отторжение гноя и образование рубца.
Сопутствующие причины появления уплотненных образований на коже
После естественного вскрытия прыщика, когда образование полностью созрело, уплотненные следы в виде бугорков остаются крайне редко. Ведь даже в воспаленном фурункуле гнойное содержимое находится в плотной оболочке и полностью выводится из папулы естественным путем после вскрытия головки.
- В 75% случаев уплотнения после высыпаний образуются из-за механического воздействия на прыщ – намеренного повреждения белой гнойной головки еще не полностью созревшего фурункула. В этом случае гнойное содержимое выходит из открытой папулы не полностью. Гной остается в глубоких тканях кожи, провоцируя новый воспалительный процесс. Если дерма во время выдавливания прыща сильно повреждена, вместо уплотнения образуется болезненная, долго не заживающая язвочка.
- Если человек пытается выдавить глубокие подкожные угри, которые не могут пройти через все кожные ткани, на этом месте появляется бугорок (иногда с покраснением). Подкожные прыщи и кисты нельзя удалять самостоятельно механическим воздействием. Такие действия только усугубляют ситуацию.
Чаще всего это случается после механического удаления больших гнойников
- Игнорирование появления подкожных высыпаний также может привести к появлению уплотнений. Особенно если появилось несколько прыщей в одном месте. Эти образования при замедленном созревании разрастаются под кожей, объединяясь между собой в крупные болезненные шишки. Локализация высыпаний, склонных к объединению, без своевременного лечения может перерасти в тяжелую форму дерматита.
Чтобы избежать развития повторного воспаления, язвочки от прыщей обязательно обрабатывают антисептическими средствами (йодом, перекисью водорода, настойкой прополиса).
О чем могут говорить болезненные угри на лице
Прыщи на лице – это сигнал того, что в организме произошел сбой. Восточная медицина связывает конкретную область на лице с состоянием внутренних органов:
- на нижней челюсти, под подбородком – сбой в работе желудочно-кишечного тракта, частые запоры болючие подкожные прыщи на лице в височной области – проблемы с печенью и желчными протоками;
- угри, идущие вертикальной полосой на щеках – вероятность патологий почек;
- прыщи под скулами у женщин сигнализируют о сбоях в работе молочных желез.
Естественно, это только предположение восточных медиков и совершенно не повод устанавливать по месту локализации прыщей заключение и приступать к лечению внутренних заболеваний.
Что делать и как избавиться от проблемы?
Когда прыщ прорвался внутрь и отекло место его нахождения, то не всегда удается быстро справиться с проблемой. Особенно тревожит подобное нарушение женщин при высыпаниях и припухлости на лице, что сказывается на их внешнем виде. Порой нарушение проходит через несколько дней самостоятельно и не требует никакого особого лечения. Для ускорения выздоровления и быстрейшего избавления от припухлостей после прыща можно воспользоваться лекарствами местного действия, народными компонентами и аппаратной терапией, если случай запущенный.
Результативные препараты
Когда опух глаз, подбородок и другие участки, где ранее выскакивали прыщи, то стоит обратиться к врачу, который проведет осмотр и пропишет необходимые медикаменты. В первые сутки появления припухлости требуется обработать проблемную зону раствором на спиртовой основе. Для лечения отека применяют такие мази с антибактериальными компонентами:
Классификация прыщей и симптомы
Болезненные угревые высыпания могут возникнуть в любом возрасте. Отдельно классифицируются угри новорожденных, подростков и взрослых. Разделяют акне еще и по степени тяжести заболевания, самыми болезненными из которых являются узловатые и конглобатные угри.
У новорожденных часто возникают мелкие прыщики, которые представляют собой закрытые и открытые комедоны. Они не представляют дискомфорта младенцам и самоликвидируются в течение двух недель не требуя лечения.
В детском возрасте угри появляются крайне редко и если они появляются, то, как правило, у детей с нарушением работы надпочечников, поэтому необходима консультация эндокринолога. Такие образования редко когда представляют комедоны. Чаще это воспалительные и болезненные элементы. Опасность таких акне в том, что они могут рецидивировать уже во взрослом возрасте и в гораздо более тяжелой форме.
Почему может образоваться опухоль или уплотнение после выдавливания прыща?
Образование опухоли под кожей после проведения процедуры выдавливания прыща чаще всего возникает по следующим причинам, а именно:
- Прорыв гнойника. Каждое воспалительное образование на теле имеет подкожную капсулу. В ней скапливается гнойное содержимое прыща и по мере его дозревания оно выходит наружу. Во время механического воздействия на угревую сыпь пустула может лопнуть и все наполнение прыща выйдет не на поверхность кожного покрова, а проникнет в более плотные слои эпидермальных тканей. Если иммунная система не отреагирует агрессивной реакцией отторжения посторонних веществ, то тогда биологическая жидкость гнойника застывает и формирует самостоятельно уплотнение. Такое образование может периодически воспаляться и болеть.
- Инфицирование. В случае отсутствия должной антисептической обработки прыща во время выдавливания его содержимого, во внутрь попадает инфекция и запускает процесс повторного воспаления. Из-за продолжительного патологического процесса в подкожном слое эпидермиса, гнойник уплотняется и его естественное удаление из кожи становится уже невозможным. Больной участок кожи приобретает синюшний оттенок и может периодически воспаляться. Инфекционное уплотнение требует хирургического удаления. Само по себе оно не рассосется.
- Сосудистый фактор. Слишком близкое расположение пустулы прыща к мельчайшим сосудам капиллярам чревато образованием опухолевых уплотнений. Причина заключается в том, что во время надавливания на поверхность прыща происходит травмирование кровеносных сосудов, они разрушаются и появляются кровоподтеки. В дальнейшем они формируются в плотные сгустки. Со временем подобные уплотнения имеют свойство рассасываться сами собой.
Для того, чтобы избежать появления опухолей после механического удаления угревой сыпи, следует воздержаться от проведения данных процедур. По крайней мере не выполнять их самостоятельно в домашних условиях, вооружившись подручными средствами. Если уже возникла такая необходимость извлечения гнойного содержимого прыща на поверхность кожного покрова.
Лучше обратиться к дерматологу, который в случае отсутствия медицинских противопоказаний проведет санацию угря и выполнит профессиональную чистку его пустулы, что исключит возможность попадания в кожу вторичной инфекции и развития прочих осложнений.
Общие принципы лечения
Угревая болезнь требует длительного и кропотливого лечения, которое должно решать сразу несколько задач:
- уход за кожей и укрепление иммунной системы для профилактики повторного появления прыщей;
- ликвидация уже имеющихся анке, рубцов, застойных пятен;
- устранение воспалительного процесса; нормализация секреции сальных желез.
Лечение угревой сыпи осуществляется с использованием местных и системных препаратов, при этом параллельно с терапией акне проводится лечение сопутствующих заболеваний. Если прыщи болят и воспалены, аппаратные методики не применяются. Они хорошо зарекомендовали себя на стадии комедонов.
Высока вероятность, того, что понадобится пройти обследование и других врачей: гинеколога, эндокринолога, гастроэнтеролога.
Метод лечения, препараты врач определяет индивидуально. Выбор зависит от степени тяжести заболевания, причины возникновения, возраста и пола больного.
Внутренние больные прыщи в среднем лечатся от 6 до 8 месяцев с применением комплексного подхода.
Как предупредить появление прыщей
Кожа представляет собой сложную структуру с множеством пор. Когда они забиваются бактериями, омертвевшими клетками, грязью, косметическими средствами возникает воспаление и появляется акне.
Профилактика высыпаний заключается в очищении и уходе за кожей:
- умывание теплой водой и использование мягкого антибактериального гипоаллергенного мыла;
- увлажнение средствами, не содержащими масел. Крема, лосьоны подбирают в соответствии с типом кожи;
- макияж перед сном удаляю полностью: тональные крема, пудра забивают поры, вызывая воспалительный процесс;
- нельзя выдавливать угри, при самостоятельном вскрытии угрей бактерии распространяются на соседние поры, что способствует появлению новых высыпаний. Особенно опасно выдавливание в области носогубного треугольника. Кровообращение в данном месте тесно связано с мозговым, в случае заражения высок риск попадания инфекции в головной мозг.
При отсутствии эффекта следует обратиться к врачу для выявления причины и принятия мер по ее устранению.
Лечение местными медикаментами
Если диагностирована угревая болезнь легкой и средней тяжести, то возможно лечение исключительно местными препаратами. Оно будет длительным (не менее 3 месяцев), но результативным.
Преимущественно применяются средства на основе азелаиновой кислоты (Скинорен), бензоил пероксида (Базирон АС) и ретиноидов (Роаккутан). Препараты снижают секрецию сальных желез, нормализуют процесс ороговения клеток эпидермиса и устраняют воспалительные процессы.
Совместно с ними назначаются местные антибиотики. Отдельно они не применяются так как эффективны только против одного звена в развитии акне – бактерий. Наиболее результативным считается эритромицин (Зинерит) и клиндамицин (Клиндамицин).
Из средств предотвращающих появление рубцов применяется Куриозин, основными действующими веществами которого являются гиалуроновая кислота и цинк.
Для того чтобы прыщи перестали сильно болеть, можно попробовать на ночь прикладывать Ихтиоловую мазь. Она обладает противовоспалительным, бактерицидным и обезболивающим действием. Отзывы пользователей подтверждают большую эффективность ихтиола от болючих прыщей.
Лечение уплотненных образований косметическими процедурами
Современные косметические салоны предлагают множество процедур для устранения уплотнений после прыщей и фурункулов. Самыми популярными из них являются:
Глубокие шрамы можно убрать с помощью лазерной дермабразии
- ультразвуковой микромассаж. Процедура способствует очищению пор и разглаживанию кожи. Этим методом рекомендуется лечить небольшие бугорки. Ультразвуковой микромассаж популярен среди женщин в возрасте после 30 лет, так как он преображает кожу, разглаживая мелкие морщинки;
- химический пилинг. Эту процедуру проводят после выяснения причины, по которой осталось уплотнение. Косметолог для каждого отдельного случая разрабатывает индивидуальную программу проведения химического пилинга;
- если осложнение после выдавливания угрей и фурункулов не проходит, а уплотнение вызвано гноем, скопившимся глубоко под кожей, применяется процедура лазерной обработки проблемного участка.
Косметологические услуги позволяют быстро избавиться от дерматологических проблем. Глубокая чистка кожи за 1–3 процедуры полностью убирает следы от прыщей. А если на месте высыпаний остались шрамы, правильно подобранный способ обработки дермы способен сделать их почти незаметными.
Помогут избавиться от следов дерматита косметические средства, предназначенные для ежедневного использования. Обработка кожи лосьонами и тониками не только способствует глубокому очищению пор, но и ускоряет процессы регенерации клеток, благодаря чему язвочки быстрее заживают. А для глубокого очищения дермы 1-2 раза в неделю рекомендуется использовать во время умывания скрабы. Эти действия помогут убрать небольшие уплотнения и предотвратить появление новых гнойничков.
Профессиональный пилинг хорошо убирает рубцы и шрамы на лице
Препараты для приема внутрь
При наличии тяжелых форм угрей (кистозное акне, конглобатные угри, папулопустулезные высыпания) применяются ретиноиды:
Активные вещества этих препаратов сокращают выработку кожного сала, снимают воспаление и влияет на процесс кератинизации в устьях волосяных фолликулов. Лечение ретиноидами длительное, и занимает период до 8 месяцев. Их прием обязательно проходит под постоянным контролем врача, что обусловлено большим количеством противопоказаний и побочных эффектов.
В некоторых случаях могут быть назначены антибиотики от прыщей. Из системных антибактериальных медикаментов чаще всего назначают эритромицин и тетрациклин в совокупности с пробиотиками для предотвращения дисбактериоза. Пробиотики также могут помочь в избавлении от болезненных прыщей, так как благотворно влияют на кишечник и способствуют повышению иммунитета.
Если появление болезненных прыщей у женщин связано с гормональными нарушениями, назначаются гормональные контрацептивы, такие как Диане 35. Активные вещества препарата снижают секрецию сальных желез за счет подавления активности андрогенов.
Как убрать припухлость от прыща быстро
Раздражение, отечность от угрей портят внешность и настроение. Применение мазей требует времени. Для быстрого избавления от некрасивых проявлений помогают ледяные компрессы.
Кусочки льда кладут в мягкую ткань или салфетки и прикладывают к воспаленной дерме. Для большего эффекта холодные примочки чередуют с теплыми. Под действием тепла расширяются поры, высвобождая скопление бактерий, грязи. Лед сужает отверстия выводных протоков, препятствуя попаданию в них болезнетворных микроорганизмов.
Еще одно доступное средство для быстрого устранения угревой отечности – зеленый чай. Он содержит антиоксиданты, кератиноиды, аскорбиновую кислоту, селен, отвечающие за здоровье кожи. Его применение предотвращает окислительные повреждения, способствует уменьшению выработки кожного сала. Пакетики заливают небольшим количеством теплой воды, отжимаю, так, чтобы жидкость не стекала и прикладывают к дерме.
Народные методы лечения
В качестве дополнительной терапии болезненных высыпаний могут применяться средства народной медицины. Если болит прыщ и наблюдается сильное покраснение, к воспаленному месту рекомендуется на ночь приложить лист алоэ. К утру боль утихнет, а покраснение станет заметно меньше.
В качестве вспомогательной терапии приветствуется протирание воспаленных высыпаний отварами из трав. Хорошим успокаивающим, антисептическим и противовоспалительным действием обладает ромашка. Также растение может использоваться и в качестве примочек.
Лечение народными средствами
Альтернативой медикаментозной терапии являются рецепты нетрадиционной медицины. Наибольшей популярностью лечения уплотнений на коже, появившихся после выдавливания прыща, пользуются следующие народные средства:
- Компресс из алоэ. Для приготовления домашнего лекарства потребуется взять 1 листочек этого комнатного растения, тщательно вымыть его и пропустить через мясорубку. Полученная кашица станет целебной основой для вытяжки подкожного уплотнения. Измельченный лист алоэ аккуратно выкладывается на плотную марлевую ткань, а затем прикладывают к месту локализации шишки. Алоэ снимает воспаление под кожей и вытягивает наружу все вещества, которые ранее были содержимым угревой сыпи. В большинстве случаев достаточно 3-4 раза провести подобную процедуру, чтобы от шишки не осталось и следа.
- Ромашковые ванны. Чтобы избавиться от уплотнения под кожей, следует приготовить отвар из аптечной ромашки, а затем использовать его для омывания больного участка кожи. Нужно взять 25-30 грамм сухой ромашки, залить ее 2 литрами холодной воды и кипятить на слабом огне в течение последующих 20 минут. По завершению процесса приготовления емкость с отваром снимают с плиты и дают ему возможность остыть до оптимальной температуры. После этого теплую ромашковую воду используют для отпаривания подкожной опухоли. Часть тела, где находится шишка помещают в отвар и держат в нем 10-15 минут. Эту процедуру нужно выполнять утром и вечером на протяжении 10 дней.
- Настойка прополиса. Данный продукт пчеловодства обладает массой положительных терапевтических свойств. Прополис настоянный на спирту снимает воспаление в подкожной опухоли, разжижает ее структуру, подавляет инфекцию и вытягивает гнойное уплотнение на поверхность эпителиальных тканей. Наносится лекарство на вату и фиксируется на кожу с помощью пластыря. Лечение длится от 5 до 10 дней. Положительный терапевтический эффект может наступить гораздо раньше указанных сроков. Приобрести настойку прополиса можно в розничных аптечных сетях, либо же приготовить ее самому. Для этого потребуется взять 50 грамм пчелиного прополиса, залить его 0,5 литра этилового спирта или водки, а затем настаивать в темном месте на протяжении 15 дней.
Средства народной медицины могут использоваться в лечении шишки, образовавшейся после выдавливания прыща, как самостоятельные лекарственные средства нетрадиционной медицины, либо входить в состав комплексной медикаментозной терапии.
Прогнозы
Лечение угревой болезни – длительный процесс и его необходимо довести до конца, не делая перерывов. Заметное улучшение состояния в начале терапии не может служить поводом к завершению курса. Опасность акне в том, что в любой момент заболевание может возникнуть в более обостренной форме чем было.
Так как акне – хроническое заболевание, то важно знать причины, вызывающие обострение и научиться вовремя их купировать. Это поможет избежать формирования косметических дефектов кожи (красные грубые рубцы и застойные пятна). К сожалению, если подкожные прыщи уже возникли, то в эпидермисе и дерме начинаются необратимые процессы и вернуть коже прежнее идеальное состояние не получится.
Тем не менее существующие сегодня препараты и методики в состоянии значительно облегчать течение угревой болезни, предотвращать рецидивы и значительно уменьшать периоды ремиссии.
Нужно ли обращаться к врачу и к какому?
К врачу обращаться конечно же нужно и желательно в первые дни после обнаружения у себя уплотнения под кожей. Опасность такого рода образований заключается в том, что внутри их все время происходит вялотекущее воспаление. Они подсаживают местный иммунитет, являются источником хронической инфекции, которая вместе с кровью мигрирует по всему организму и может провоцировать воспаление в любом органе человека. Первый специалист, который должен увидеть шишку после выдавливания прыща — это врач дерматолог.
Он проведет первичный осмотр новообразования и в случае необходимости выпишет направление к хирургу. Также может быть подобран консервативный метод терапии. Все зависит от того, насколько глубоко в эпидермальных тканях расположилась опухоль и возможно ли ее удаление без механического воздействия на кожу. Разрабатывается индивидуальный курс лечения. Плотные образования данной категории крайне редко становятся причиной формирования злокачественных раковых опухолей, но все же риск развития этого заболевания всегда существует. Поэтому лечить шишку необходимо, как можно раньше.
Почему они появляются?
Как избавиться от подкожных прыщей на лице? Это не единственная проблема, нужно также знать, почему они появились.
Причины появления подкожных прыщей различны – они могут появиться как у подростков (что бывает чаще), так и у взрослых людей.
Самой неприятной причиной, вызывающей такие прыщи, является гормональный сбой. Гормональная перестройка возникает в подростковом возрасте.
Это нормальный процесс, но в некоторых случаях она вызывает тяжелую угревую сыпь, которая требует обязательного лечения у врача.
Гормональный сбой может возникнуть и в более старшем возрасте – в этом случае угрей, в том числе и подкожных, образуется очень много, они болезненны и редко сходят самостоятельно.
Как правило, воспаления локализуются не только на лице, но и на теле, причиняют заметный дискомфорт.
Очень часто причиной, почему появляются подкожные воспаления, является сбой в работе эндокринной системы, воспаления яичников, дисфункции щитовидной железы и работы гипофиза у обоих полов.
Видео:
Все это приводит к гормональному дисбалансу в организме, что и проявляется возникновением прыщей на коже. В некоторых случаях появление воспалений связано с приемом гормональных средств.
Если прыщей не так много, а появляются они лишь периодически, причины их возникновения, скорее всего, менее серьезные, но также требуют лечения.
Очень часто воспаления на коже возникают в период снижения иммунитета, при простудных заболеваниях.
Кроме того, приводит к их появлению неправильный уход за кожей лица и самостоятельное занесение инфекции.
Сделать это очень просто – очень часто прыщи и другие проблемы с кожей возникают у тех, кто очень часто прикасаются к ней грязными руками, выдавливают и ковыряют уже имеющиеся воспаления и т. д. Вызвать их может также повышенная потливость.
Проблемы в работе желудочно-кишечного тракта также могут повлечь за собой возникновение подкожных прыщей как на лице, так и на теле.
Усугубить положение может нехватка полезных веществ в организме, курение, злоупотребление алкоголем и сильный стресс – все эти факторы часто вызывают проблемы с кожей, которые могут проявляться и в виде подкожных прыщей.
Народные средства лечения
При начальной стадии формирования уплотнения вылечить его можно, используя рецепты народной медицины. Чем только не лечат целители следы от гнойников. Самыми популярными рецептами являются:
- Компресс из настойки календулы. Ватный тампон, смоченный в средстве, накладывается на проблемное место и фиксируется пластырем. Лучше делать такой компресс на ночь. Настойка календулы обладает мощными противовоспалительными и бактерицидными свойствами. А действующие вещества средства быстро вытягивают остатки гноя наружу, ускоряя процесс регенерации тканей.
- Похожее действие на бугорок после гнойника оказывает свежий лист алое. Его прикладывают к коже, фиксируя пластырем, на 4–5 часов. Этого времени достаточно, чтобы остатки гнойной капсулы вышли наружу. После того как гной остался на листке алое, очищенную ранку обрабатывают дезинфицирующими средствами.
- Морская вода или концентрированный солевой раствор, приготовленный самостоятельно. Такой компресс, оставленный на ночь, способствует быстрому извлечению содержимого уплотнения. Соль дезинфицирует ранку, предотвращая развитие повторного воспалительного процесса.
Ответ на вопрос, чем убрать уплотнение после прыща, могут дать и рецепты народных целителей
- Рассасывающая мазь от отеков и уплотнений, приобретенная в аптеке, способствует выведению застойных явлений тканей. Среди самых популярных аптечных средств выделяют крем «Бодяга 911+» и «Гепариновую мазь». Оба средства обладают широким спектром воздействия – рассасывают отёки и застойные явления, обезболивают, улучают регенерацию тканей.
Рецепты альтернативной медицины помогают избавиться от следов после гнойничков только на начальном этапе их формирования. При больших и запущенных уплотнениях необходимо обратиться к врачу или косметологу.
Как снять опухоль от прыща
Прыщи часто доставляют массу неприятных ощущений, иногда они появляются даже после пилинга, но когда они воспаляются и становятся ужасно болезненными, первым делом возникает вопрос – как снять опухоль от прыща и хоть немного уменьшить болевые ощущения. Обычно на коже сначала появляется небольшое покраснение, которое через некоторое время превращается в красный очень болезненный прыщ, а вокруг него еще и опухает кожа. Что делать в такой ситуации? В первую очередь следует снять воспаление и отечность, так как именно такие прыщи очень долго вызревают, заживают, и зачастую после них образуются рубцы и шрамы. Что нужно сделать в первую очередь, чтоб снять опухоль от прыща Как только вы заметите небольшое болезненное покраснение на коже, не ждите, пока оно увеличится в размерах, и воспалительный процесс распространится по коже, немедленно приступайте к действиям. Для снятия отечности нужно не попить что-нибудь от прыщей, а использовать спиртовой компресс. Ватный диск смочите медицинским спиртом или тройным одеколоном, и приложите компресс к месту покраснения. Спиртовой компресс нужно держать на коже не менее 10 минут. Вначале процедура может доставить неприятные ощущения, но не стоит переживать, через некоторое время они пройдут. Эта процедура, сделанная вовремя, наверняка поможет быстро снять опухоль с прыща. Как действовать далее, чтоб снять опухоль от прыща Очень эффективным средством для снятия отечности является йод. Вечером, перед сном, на месте покраснения сделайте йодную сетку. Благодаря антибактериальным свойствам, йод, проникая в ткани кожи, устранит воспаление, и к утру болевые ощущения и отечность уменьшатся в разы. Делайте йодную сетку на ночь, пока отек не исчезнет. Чтоб снять опухоль и отек с прыща, прогревайте место поражения раскаленной солью, завернутой в полотняный мешочек. Прогревание нужно делать несколько раз в день по 15-20 минут. Обязательно следует учесть, что прогревание должно быть сухим. При прогревании и использовании йодной сетки, опухоль сойдет уже через 2-3 дня. Прыщ, если он гнойный, тоже можно быстро удалить. Но только не путем выдавливания! Отрежьте небольшой кусочек листа алоэ, снимите жесткую кожицу и приложите мякоть алоэ к прыщу, затем все зафиксируйте лейкопластырем. Буквально через 2-3 дня гной выйдет, и опухоль сойдет полностью.
Структура фурункула
Из чего состоит воспалённый болезненный прыщ:
- В ранку или открытую пору попадает грязь, пыль и смешивается с кожным салом.
- Под кожей образуется внутренний гнойник.
- При активном размножении бактерий воспаление увеличивается.
- Это происходит для того, чтобы защитить организм от проникновения этих микроорганизмов внутрь.
- Прыщ полностью созревает через 2-3 недели, он готов к вскрытию.
Причины подкожного образования
Уплотнение на щеке, носу или подбородке возникает, если защитные силы организма ослаблены. Иммунитет снижается в результате:
-
инфекционных и вирусных болезней (ангина, ОРВИ, бронхит);
- патологий ЖКТ ;
- заболеваний эндокринной системы;
- инфекционных очагов в горле;
- психических расстройств и постоянных стрессов;
- гормональных нарушений;
- патологий мочеполовой системы;
- авитаминоза.
Простудные прыщи на теле появляются реже, в основном они локализуются на лице. Месторасположение подкожного шарика указывает на те или иные расстройства:
- если он появился на губах, значит, обостряются инфекционные болезни или пациент часто облизывает губы.
- если прыщ образуется на лбу, то имеются проблемы с органами ЖКТ, организм необходимо очистить.
- при обнаружении мелкой шишки на лбу стоит обратиться к врачу, так как она может указывать на болезни желчного пузыря.
- подкожные образования на подбородке могут быть признаком болезней ЖКТ .
- крупные прыщи на голове — симптом инфекционной болезни или гормонального сбоя.
- В некоторых случаях подкожные уплотнения указывают на серьезные проблемы со здоровьем. Рекомендуется лечить новообразования после выяснения причины. Если подкожные шарики появляются постоянно, нужно комплексно обследовать организм.
Профессиональное лечение
Быстро бороться с подкожными прыщами не всегда удается, ведь в первую очередь нужно устранить причины, по которым они появились.
Различают несколько степеней подкожной угревой сыпи в зависимости от интенсивности высыпаний. Легкой степенью считается, если на лице и теле не более 10 подкожных воспалений.
В этом случае лечение может проводиться с помощью специальных мазей и гелей, которые нормализуют выработку кожного сала, устраняют микробы и ускоряют заживление кожи после вскрытия прыща, минимизируя повреждения кожи.
Фото:
Очень эффективное средство против подкожных прыщей – гель Дифферин. Среди других часто используемых средств: гель Клиндовит, мазь Далацин и другие медикаменты, имеющие бактерицидное и бактериостатическое действие.
В качестве антибактериального средства можно применять Левомеколь, а для устранения болей и ускорения созревания прыща подходят ихтиоловая или цинковая мази. Препараты можно сочетать между собой, однако выбирать какое средство использовать, лучше всего по совету врача.
Если угревая сыпь прогрессирует и занимает все большие участки лица и тела, то можно говорить о переходе на вторую стадию болезни.
Считается, что если подкожных прыщей от 10 и больше, то лечить необходимо медикаментами не только наружного, но и внутреннего применения.
В отличие от первой стадии, на второй обращение к врачу является обязательным, т. к. бороться с воспалениями мазями и народными средствами будет бесполезно.
Как правило, терапия проводится с помощью гормональных препаратов и антибиотиков. После удаления прыщей с кожи лица пациенту может понадобиться также дополнительная помощь по избавлению от следов, которые нередко остаются уже на второй стадии.
На третьей стадии угревая сыпь поражает практически все открытые кожные покровы, воспаления имеют большой размер и причиняют болезненные ощущения.
Видео:
Терапия в этом случае заключается в использовании препаратов с ретиноевой кислотой. Наружное лечение не проводится, т.к. на этой стадии уже не дает никакого эффекта.
Лечение подкожных прыщей может проводиться косметическими процедурами.
К ним относятся:
- микродермабразия, ускоряющая восстановление кожи;
- пилинг кислотами – он удаляет ороговевший слой кожи и ускоряет ее регенерацию;
- шлифовка лазером – позволяет удалить омертвевшие клетки кожи и ускорить процесс ее восстановления;
- фототерапия – улучшает регенерацию клеток;
- озонотерапия – снимает кожные отеки и воспаления, убивает микробы и снимает болезненные ощущения;
- мезотерапия – ускоряет восстановление кожи, снимает воспаление
Сравнение простудного прыща с угрями
Простудные прыщи образуются под кожей. Они выглядят как уплотнения размером с горошину. Чтобы избавиться от новообразования, стоит прибегнуть к традиционным методам лечения. С разрешения врача пациент может использовать народные средства, но стоит убедиться, что они не вызовут аллергию.
Через несколько дней после появления прыщик воспаляется. Кожа лица краснеет и отекает. Особенность новообразования в том, что на его поверхности нет гноя. Прыщик плотный на ощупь. Он постепенно копит гной, затем — созревает. Кожа лица восстанавливается через 15 дней. В отличие от угрей прыщи, вызванные простудой, крупные и выпуклые. Замаскировать их невозможно.
Если пациент попытается выдавить новообразование, воспаление станет обширным, более того, возникнет риск инфицирования. Гнойные массы не должны проникать в кровеносное русло, иначе возникнет обширное заражение, т. е. гной распространится по всему организму. При обнаружении мелкой шишки на лице рекомендуется обратиться к врачу. Некоторым пациентам новообразования доставляют серьезный психологический дискомфорт. Запрещается давить простуду на лице, лечение должно быть грамотным.
Важные рекомендации для пациентов
Чтобы ускорить процесс выздоровления, нужно соблюдать простые правила. На время лечения запрещается:
- давить новообразование, в противном случае возникнет риск инфицирования (редким и весьма тяжелым осложнением является поражение оболочек мозга);
- применять теплые компрессы;
- наносить на кожу лица любые косметические средства;
- делать пилинг, массаж лица;
- посещать салоны красоты.
Перед тем, как обрабатывать лицо, надо тщательно вымыть руки. Для умывания следует использовать прохладную воду. Полотенце всегда должно быть чистым.
Факторы риска
Прежде чем начинать лечение, необходимо определить, что могло спровоцировать болезненные воспаления:
- неправильное питание;
- аллергические реакции;
- наличие вредных привычек;
- воздействие холода (мороз, ветер, сквозняк);
- частое употребление жирной, жареной, острой еды, сладостей, молочных продуктов;
- наследственность;
- побочные действия некоторых лекарств;
- изменения в гормональном фоне;
- ослабление иммунитета.
Народные методы терапии
Домашние лекарства помогают вылечить гнойник, так как ускоряют его созревание. Если нет противопоказаний, рекомендуется делать примочки травяных настоев. Эффективны лекарства на основе ромашки и чистотела.
Настои оказывают антисептическое воздействие. Также можно сделать травяной сбор:
- Для приготовления лекарства надо взять 15 г смеси ромашки и чистотела, залить 250 мл кипятка. Настой становится готовым через 15 минут. Для усиления лечебного эффекта добавляют 6 капель лимонного сока.
- Чтобы убрать прыщ и уменьшить воспаление, нужно сделать компресс из овощей. Картофель оказывает антисептическое воздействие, он слегка подсушивает кожу. Чтобы приготовить лечебное средство, нужно измельчить картофелину и смешать с 0,5 ч. л. меда. Полученную смесь выкладывают на бинт и оборачивают лицо. Вместо картофелины можно использовать морковь, огурец.
- Средство на основе валерианы успокаивает кожу. Его необходимо принимать по 100 мл в день или использовать для обработки пораженных участков. Пятнадцать граммов корня валерианы измельчают, смешивают с таким же количеством мяты, заливают 250 мл кипятка. Лекарство готово через 30 минут. Перед употреблением необходимо отфильтровать.
- Чтобы устранить воспаление, следует использовать маску с белой глиной. Порошок глины разводят теплой водой. Должна получиться однородная масса. Ее аккуратно выкладывают на кожу. Выдерживают 20 минут, после чего смывают.
Методы профилактики появления осложнений
Чтобы избежать образования болезненных уплотнений на месте выдавленных прыщей, рекомендуется удалять угри и гнойнички только в косметическом кабинете. Косметологи удаляют дерматозы в стерильных условиях, подбирая для каждого клиента индивидуальную процедуру пилинга. Если нет времени на посещение салона, выдавливать прыщи самостоятельно необходимо правильно:
- самостоятельно удаляются только дозревшие гнойнички с характерной белой головкой и отсутствием красного ореола на коже;
- перед процедурой лицо и руки тщательно моют с мылом. А кончики пальцев и фурункул дополнительно обрабатывают антисептиком;
- если гнойничок маленький, пальцами надо нажать на кожу возле его основания. Так весь гнойный стержень полностью выйдет наружу;
- если прыщ большой или есть подозрения, что он еще не созрел, перед выдавливанием головку прокалывают стерильной иглой и через полученное отверстие выдавливают содержимое пустулы;
- необходимо сделать несколько надавливаний, чтобы убедиться, что весь гной вышел наружу. О полном очищении ранки свидетельствует капелька крови без примесей, появившейся сразу после полного выхода белого (зеленоватого) содержимого фурункула.
Чтобы избежать инфицирования открытой язвочки, необходимо обработать ее антисептиком. Прыщи, которые дозрели и очистились сами, без механического воздействия, не оставляют следов на коже. Поэтому не стоит выдавливать угри самостоятельно. Лучше ускорить процесс дозревания высыпания, используя мазь Вишневского или настойку календулы.
Болючие прыщи на лице: причины и средства против болезненных акне
Подкожные болезненные прыщи образуются в результате воспаления протоков сальных желез. Особенностью при этом является появление плотных гнойных узлов, представляющих собой кистозные образования. Глубокие болючие прыщи не поддаются выдавливанию и чаще всего вскакивают под кожей на лбу, подбородке, щеках и носу. Предлагаем разобраться в причинах, симптомах и эффективных способах их лечения.
Размножение бактерий и чрезмерно активное функционирование сальных желез в коже выступают основными факторами, приводящими к образованию болезненных прыщей под кожей. Почему это происходит? Продуцируемое сало не успевает выделяться и, накапливаясь в протоках, начинает воспаляться под воздействием инфекции.
Усугубляют ситуацию такие причины, как:
- простуда;
- перегрев организма;
- несоблюдение личной гигиены;
- аллергия;
- повреждения на коже, из-за которых у бактерий больше шансов попасть в глубокие слои;
- питание, в котором присутствует много углеводов и транс-жиров;
- наследственный фактор;
- курение и частое употребление спиртного.
Однако основным виновником остается размножение патогенной микрофлоры на коже лица.
Причины развития на лице болючих подкожных прыщей на лице могут быть разными, но клиническая картина воспаления под кожей практически всегда одинакова:
- покраснение;
- болезненность;
- образование уплотнений и бугорков;
- появление гнойника.
Развитие воспалительного процесса обычно занимает 1-2 недели, однако существуют методы лечения, позволяющие его ускорить.
Выдавливать несозревшие болезненные и глубокие прыщи нельзя, поскольку это может привести к еще большему распространению инфекции, а в худшем случае – к заражению крови.
Основная цель лечения больных глубоких угрей на лице заключается в ускорении их созревания или в подавлении активности бактерий и их уничтожении. Второго варианта бывает достаточно, если воспаление появилось недавно и оно несильное. Если же прошло несколько дней, то гной, находящийся глубоко под кожей, нужно вытянуть на поверхность, очистив тем самым сальную железу.
Из антибактериальных препаратов врач может назначить крем Далацин, гель Клиндовит, мазь Базирон AC и другие. При необходимости антибиотики показаны и для приема внутрь, при этом конкретный медикамент и схему его приема подбирает только доктор.
Из доступных и давно зарекомендовавших свою эффективность наружных средств необходимо упомянуть такие мази, как:
Эти препараты оказывают противовоспалительное действие, уменьшают болезненные ощущения, помогают быстрее вытянуть гной. Мазь Левомеколь хорошо заживляет поврежденные ткани, поэтому ее также можно использовать после выдавливания созревшего прыща.
При наличии прыщей, в том числе и таких, которые болят и расположены глубоко, нельзя применять скраб для очищения кожи лица. Все средства для умывания должны быть мягкими и содержать антисептические добавки.
Очень болючие воспаления на лице можно вылечить, используя целебные травы. В первую очередь обратите внимание на растения, обладающие способностью уменьшать боль – это солодка, имбирь и куркума. Компрессы и маски с ними помогут, если прыщ под кожей сильно болит. Залейте 1 ст. л. корня солодки 200 мл воды, а через 20 минут смочите в настое мягкую ткань или марлю и приложите к воспаленному месту на лице.
Смешайте по ½ ч. л. порошка куркумы и картофельного крахмала, добавьте 2 ч. л. настоя ромашки, а также 1 каплю эфирного масла кедра атласского, лаванды, лимона, розмарина или чайного дерева на выбор. Накладывайте такую смесь на лицо на 15-20 минут и смывайте затем теплой водой.
Также ускорить процесс заживления помогают умывания теплой водой с соком лимона (на 1 л 2 ст. л.) и протирания кожи мякотью алоэ. Если отсутствуют глубокие проблемы организма, например, болезни внутренних органов, зашлакованность кишечника или гормональный сбой, то домашние методы лечения болючих прыщей могут быть достаточно эффективными.
Если проблема болючих прыщей на лице беспокоит часто, то имеет смысл пройти полное обследование. Начать можно с похода к дерматологу, который при необходимости назначит нужные анализы и направит к другим профильным врачам для выявления точной причины того, почему развиваются подкожные воспаления. Возможно, для того, чтобы кожа на лице снова стала чистой, нужно будет почистить кишечник или подкорректировать функции эндокринной системы.
Часто бывает так, что для избавления от акне достаточно пересмотреть свой образ жизни и рацион питания, отказаться от вредных привычек и выбрать более эффективную программу ухода за кожей лица. При этом важную роль играет регулярность очищения. Из косметологических процедур для оздоровления кожи полезна озонотерапия, с помощью которой можно уничтожить патогенную микрофлору.
Профилактика подкожных гнойников
Лекарства для укрепления иммунитета назначает врач. Чтобы избежать простудных болячек, необходимо:
- избегать переохлаждения;
- носить белье из натуральных материалов;
- соблюдать правила гигиены (повышенное потоотделение может стать причиной гнойников на теле)
- ежедневно очищать лицо;
- подбирать косметику, учитывая тип кожи;
- вести здоровый образ жизни;
Следует правильно питаться. Чтобы улучшить обмен веществ, нужно включить в рацион овощи и фрукты. Не рекомендованы фаст-фуд, соленые, острые, слишком жирные продукты. Важно своевременно диагностировать болезни и избегать стрессовых ситуаций.
Симптомы
Вне зависимости от причины появления воспалённых прыщей симптомы будут одинаковыми:
- болезненные ощущения;
- покраснение, воспаление;
- бугорки и уплотнения;
- через 1-2 недели появляется белый гной и боль уменьшается.
Прыщам на голове сопутствует зуд и раздражение.
Узнайте, как быстро избавиться от шрамов от прыщей. Как избавиться от черных прыщей на носу? Ответ здесь.
Особенности подкожных прыщей
По своей специфике подкожные прыщи на лице не отличаются от обычных – это такие же воспаления на коже, вызванные попаданием внутрь бактерий.
Но в отличие от красных угрей (пустул), подкожные угри находятся в более глубоких слоях эпидермиса, поэтому находятся на коже очень долго, при этом удалить их самостоятельно сложно, что неизбежно травмирует кожу.
Фото:
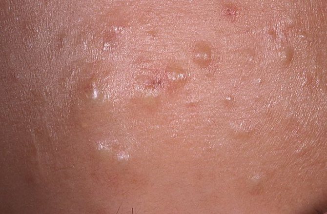
Внешне подкожные прыщи на лице или теле выглядят как бугорки различного размера красного или белого цвета.
Они могут быть как совсем небольшими и незаметными стороннему глазу, так и очень крупными и воспаленными – некоторые из них могут иметь размер более 1 см.
Очень часто подкожные гнойники располагаются группами – после появления одного воспаления на лице рядом очень быстро возникают другие.
Срок созревания таких прыщей может быть достаточно длительным, при этом их наличие доставляет определенный дискомфорт – они болят и зудят не только при нажатии, но и в обычное время.
Если причиной возникновения такого прыща является подкожный клещ, то клиническая картина может дополняться также шелушением кожи и очень сильным зудом.
Прыщи, вызванные клещом, обычно имеют ярко-красный цвет и отличаются большим размером.
Чаще всего очаги воспаления появляются на лице, но могут охватывать и другие области – грудь, спину, руки, плечи.
Красные подкожные воспаления, если они находятся на открытых частях тела, очень заметны и обычно доставляют человеку сильный дискомфорт.
Фото:
Но даже если они находятся под одеждой, лечение все равно необходимо, т. к. такие прыщи вызывают болезненные ощущения.
Еще одна особенность таких воспалений в том, что они сходят с кожи достаточно долго и очень часто оставляют следы, особенно если их выдавливать.
Это не только приводит к повреждению кожных покровов, но и к повторному попаданию внутрь инфекции и, как следствие, появлению новых прыщей.
Методы лечения недуга
На начальных стадиях эффективны антисептики. Они устраняют покраснение и уменьшают выраженность болевого синдрома. Лекарственные средства наносят ежедневно. Мазь от простуды на лице предотвращает распространение воспалительного процесса. К антисептикам относятся борная кислота и йод. Средства наносят точечно. Они уничтожают болезнетворных микробов, а также обеспечивают профилактику инфицирования.
Через три-четыре дня потребуется наносить мазь Вишневского. Она содержит березовый деготь и касторовое масло. Преимущество мази в том, что она имеет минимум противопоказаний. Однако если у пациента гиперчувствительность к ее компонентам, стоит отказаться от применения. Мазь Вишневского подсушивает прыщи и способствует удалению гноя. Ее применяют в виде компресса, наносят перед сном. Небольшое количество мази кладут на салфетку и прикладывают к пораженному участку.
Для закрепления используют лейкопластырь. Поутру повязку снимают, кожу обрабатывают антисептиком. Достаточно двух процедур для того, чтобы гной прорвался наружу. После этого используют антисептики и повторяют курс лечения мазью Вишневского. Частички гноя должны быть удалены полностью. В дальнейшем поврежденная кожа заживет. Мазь Вишневского — эффективный, безопасный препарат.
Для лечения гнойников используют ихтиоловую мазь. Ее действующие компоненты — ихтиол и вазелин. Средство оказывает бактерицидное воздействие. Оно помогает преодолеть воспалительный процесс. Благодаря ихтиоловой мази гнойник быстрее созревает и прорывается наружу. Лекарство наносят на созревшие прыщи по такому же принципу, что и мазь Вишневского.
О каких болезнях предупреждают
Высыпания могут появляться на разных частях тела. Определённый участок кожи с болючими прыщами сигнализирует о каком-либо заболевании.
На спине
Болезненные высыпания на этом участке кожи предупреждают о наличии проблем с гормонами. У женщин они могут возникать в связи с менструацией. У мужчин прыщи на спине появляются за счёт изменений в организме или долгого применения стероидов.
Другие заболевания, связанные с воспалениями на спине:
- расстройства ЖКТ;
- проблемы с мочеполовой системой;
- заболевания позвоночника.
На лице
В зависимости от части лица, покрытой акне, можно определить болезнь:
- Акне вокруг рта и по центру подбородка свидетельствуют о нарушениях в области желудка или тонкого кишечника.
- Высыпания по сторонам подбородка указывают на заболевания мочеполовой системы или гормональный сбой.
- Прыщи между бровей говорят о проблемах с печенью.
- Уши с воспалениями объясняются нарушением работы почек.
- Воспаления на щеках предупреждают о проблеме с лёгкими.
На голове
Прыщи, расположенные по линии роста волос, свидетельствуют о болезни мочевого пузыря.
Высыпания на волосистой части головы в большинстве случаев информируют о бактериальной инфекции.
Гормональные нарушения, дерматиты, слишком густые волосы (особенно если они быстро растут) тоже являются причиной болезненных прыщей на голове.
На лбу
На верхнем участке лба – проблема с мочевым пузырём или толстой кишкой. Токсины не успевают выводиться, отравляют организм.
Нижний участок лба показывает нарушения сна и работы нервной системы.
На носу
Прыщи на носу информируют о заболеваниях сердечно-сосудистой системы.
На попе
Причины появления прыщей на попе:
- сидячий образ жизни;
- нарушения гормонального фона;
- переохлаждение организма;
- аллергические реакции.
