При возникновении пришеечного кариеса многие люди вместо того чтобы бежать в клинику как можно скорее лечить зуб, все оттягивают этот нежелательный момент. Отчасти это бывает связано с различной противоречивой информацией в сети о возможности лечения пришеечного кариеса даже в домашних условиях (при начальных его формах), о возможности применения реминерализующих зубных паст и других доступных средств, которые якобы помогут эффективно восстановить зубную эмаль и избавить тем самым человека от проблемы.
О том, где правда, а где миф, какие способы лечения пришеечного кариеса действительно эффективны и что можно сделать в домашних условиях мы дальше и поговорим. А также рассмотрим механизм развития патологии и особенности, связанные с локализацией кариеса в пришеечной зоне зуба.
Что такое пришеечный кариес
В анатомическом строении зуба выделяют 3 части: коронку, шейку и дентальный корень. В норме при осмотре полости рта виднеется верхняя коронковая часть, а шейка и корень должны находиться под десной. Когда возникает рецессия папиллярно-маргинального пародонта, пришейная область подвергается бактериальному поражению, вследствие чего образуется прикорневой кариес. Если разрушается зуб у десны, для предотвращения неприятных последствий следует обратиться к стоматологу.
Вопрос-ответ
Как лечить пришеечный кариес на передних зубах?
При лечении зубов в зоне улыбки необходимо добиться высокой эстетичности результата. Для реставрации используют специальные материалы (композиты, цементы), которые позволяют добиться точной идентичности природным зубам. Цена лечения кариеса зависит от уровня клиники, наличия современного оборудования и материалов.
Чтобы вылечить зуб при глобальном поражении необходимо: полностью устранить кариозные ткани, пролечить корневые каналы, восстановить зуб при помощи вкладки (или штифта) и пломбировочного материала, покрыть защитной коронкой.
Как избежать развития пришеечного кариеса?
Профилактика направлена на устранение причин заболевания. Необходимо соблюдать четкие гигиенические требования при чистке зубов (пользоваться зубной нитью с фтором, ополаскивателями, фторированными зубными пастами, ирригатором), отказаться от вредных привычек и продуктов питания, систематически проводить гигиеническую чистку полости рта у стоматолога.
С чем можно спутать пришеечный кариес?
Люди путают заболевание с клиновидным дефектом и твердым пигментированным зубным налетом. При обнаружении образований на поверхности зуба, в любом его участке, необходимо обратиться к стоматологу!
Какие зубы поражает пришеечный кариес?
Патология может развиться на резце, клыке, жевательном зубе. Иногда патология поражает одновременно несколько единиц. Наименее часто встречается пришеечный кариес на зубах мудрости.
Причины возникновения кариеса под десной
Перед выбором тактики лечения кариозного процесса в придесневой зоне, нужно определить истинную причину патологии. К причинам разрушения зуба у края десны относятся:
- плохая гигиена ротовой полости, возникшая из-за несоблюдения гигиенических правил;
- жизнедеятельность кариесогенных микроорганизмов;
- авитаминозы;
- недостаточное количество питательных веществ, поступающих вместе с пищей;
- низкое содержание фтора в питьевой воде;
- вредные привычки (курение табачных изделий, злоупотребление алкоголем);
- наследственная предрасположенность;
- изменения гормонального фона в организме (подростковый период, беременность, сахарный диабет);
- длительное употребление антибактериальных препаратов;
- химиотерапия;
- болезни органов ЖКТ;
- повышенная стираемость эмали;
- патологическая скученность зубов;
- уменьшение слюноотделения.
Для эффективности стоматологического лечения прикорневого повреждения зуба, прежде всего, нужно исключить факторы, влияющие на развитие кариеса. Если причина болезни не устранена, возможны рецидивы.
Причины
Придесневая область имеет свои особенности. С одной стороны, здесь довольно быстро собирается зубной налет, с другой – оперировать зубной щеткой на этом участке, без риска травмировать мягкие ткани, сложно.
Вот почему налет, содержащий кариесогенные микроорганизмы, в районе шейки зуба чаще всего остается, причем в большом количестве.
Толщина эмали в этой области очень маленькая – 0,1 мм. Для сравнения отметим, что тот же параметр в районе бугров зуба составляет 1,7 мм, а фиссур – порядка 0,6 мм.
Очевидно, что чем тоньше слой эмали, тем легче его повредить жесткой щеткой или абразивными пастами, тем хуже эмаль защищает зуб от воздействия болезнетворных бактерий, обитающих в полости рта.
Отчасти этим объясняется также тот факт, что пришеечный кариес – преимущественно болезнь людей среднего и более старшего возраста.
Отметим еще несколько факторов, способствующих развитию кариозных процессов на пришеечном участке:
- остатки пищи, набившиеся в своеобразные карманчики, образующиеся между десной и зубом. При их разложении выделяется молочная кислота, которая деминерализирует зубную эмаль;
- пристрастие к кислым продуктам;
- злоупотребление пищей с содержанием легко ферментируемых углеводов, в частности, сахарозы. В процессе ферментации образуются органические кислоты, которые «разъедают» эмаль;
- недостаток некоторых витаминов, вызывающий авитаминоз, к примеру, витамина В1;
- лекарственные средства, увеличивающие пористость эмали;
- эндокринные дисфункции (пришеечный кариес при эндокринных заболеваниях одновременно поражает несколько зубов);
- беременность.
Симптомы
Кариес у десны отличается от других видов кариозного поражения лишь местом локализации. Разрушение зуба около десны имеет такие признаки, как:
- потемнение эмали зуба в месте поражения;
- образование выемки в пришеечной зоне зуба;
- повышенная чувствительность от холодного, горячего сладкого и кислого;
- дискомфорт во время пережевывания пищи;
- болезненные ощущения в утреннее и дневное время суток;
- появление головных болей;
- застревание пищи между зубом и десной;
- галитоз;
- воспаление десен.
Главные факторы появления
Главными факторами появления этой формы кариеса являются бактерии кариосогенного вида, которые находятся в составе зубного налета и в отложениях камней. Бактерии перерабатывают остатки еды, при этом они превращают эти компоненты в органические кислоты. Органические кислоты наносят сильный вред на структуру эмали зубов и вызывают повышенное вымывание из ее структуры кальция. По сути, у каждого из нас в ротовой полости имеется большое количество микроорганизмов, но они не наносят вред до момента создания определенных условий. Бактерии могут изменить свой состав и стать патогенными в результате не качественной гигиены полости рта. Также на этот процесс могут повлиять анатомические особенности эмали шейки зубов. Некоторые больные могут иметь предрасположенность к отслоению десны. При некачественной очистке ротовой полости и зубного ряда все остатки пищи могут попадать в карманы, которые образуются при отслоении десен у основания зубов. Далее в этих местах происходит повышенное скопление болезнетворных бактерий, которые и вызывают появление пришеечного кариозного поражения.
В итоге можно выделить две основные причины возникновения пришеечного кариеса:
- Некачественные гигиенические процедуры;
- Наличие анатомической предрасположенности.
Но помимо этих причин есть и другие сопутствующие факторы, которые также способствуют появлению пришеечного кариозного поражения:
- Различные механические повреждения структуры эмали. Данные повреждения могут возникнуть в результате применения зубных щеток с жесткой основой, а также абразивных паст и зубных порошков;
- Повышенное употребление кислых продуктов;
- Употребление большого количества продуктов с содержанием легко ферментируемых углеводов, а именно сахарозы. Во время процесса ферментации происходит образование органических кислот, которые вызывают разъедание эмали;
- Нехватка витаминов, которые вызывают процесс авитаминоза, а именно витаминов группы В;
- Лекарственные средства, которые повышают свойства пористости эмали;
- Наличие эндокринных дисфункций. Зачастую при различных эндокринных болезнях пришеечный кариес может поражать 2-3 зуба;
- Период беременности.
Стадии придесневого кариеса
Кариес любой локализации развивается в 4 этапа:
- Стадия пятна.
Такая стадия характерна для начала кариозного процесса. Придесневые пятна бывают меловидными и пигментированными. Если пришеечное поражение коричневатого цвета, то можно говорить о приостановлении кариозного процесса. Как правило, пигментированные поражения возле десны могут не развиваться в следующую стадию многие годы.
Поддесневой кариес в стадии пятна свидетельствует о разрушении эмали. Блестящая поверхность зуба остается неизменной. Пациенты ощущают кратковременную боль от температурных раздражителей. В некоторых случаях болезнь обнаруживается лишь на профилактическом осмотре ротовой полости у стоматолога.
- Поверхностная стадия.
Пришеечный кариес эмали представляет собой нарушение эмалевых канальцев. Такой этап развития болезни считается промежуточным между начальным и средним стадиями. Так же как и при начальном поражении, поверхностный прикорневой кариес не вызывает значительного дискомфорта. Пациенты могут ощущать чувство оскомины от сладкой и кислой пищи. При зондировании пришеечной эмали отмечается шероховатость.
- Средний кариес.
При этой стадии придесневого кариеса поражается эмалево-дентинная связка. При визуальном осмотре выявляется полость в нижней области зуба, заполненная размягченным дентином. При зондировании инструмент застревает в кариесе. Пациенты указывают на то, что зуб потемнел в прикорневой области, появилась болезненность от термических и химических раздражителей, после чистки зубов галитоз (плохой запах изо рта) не исчезает.
- Глубокий кариес.
Механизм развития
В своем развитии пришеечное кариозное поражение проходит несколько этапов с характерной для каждого из них клинической картиной.
Стадия пятна или начальная
Протекает бессимптомно. Чувствительность зуба на внешние раздражители остается на том же уровне, хотя некоторые люди могут испытывать определенный дискомфорт, ощущения оскомины.
Эмаль истончается, становится матовой, но продолжает оставаться гладкой. На ней лишь появляется белое или пигментированное кариозное пятно без шероховатостей.
Поверхностный
В области образовавшегося пятна появляется зона шероховатости, эмаль начинает разрушаться. Возникает кратковременное ощущение боли от воздействия различных раздражителей: температуры, принятия сладкой, кислой или соленой пищи, напитков. На этом этапе болезнь прогрессирует достаточно быстро.
Средний
Процесс затрагивает зубные ткани, формируется кариозная полость и дефект уже трудно не заметить визуально. Болевой синдром усиливается.
Глубокий
Разрушения все глубже проникают в ткани и поражения могут приобрести критические масштабы, затронув каналы и пульпу. Боль становится невыносимой. На этой стадии ее может провоцировать помимо вышеуказанного, механическое воздействие, вдыхание холодного воздуха.
Клинические симптомы часто проявляются индивидуально, поэтому порой определиться до какой стадии дошло поражение кариесом, бывает непросто. Особенно если это касается поверхностной или начальной, средней или глубокой стадий, настолько плавно происходит переход.
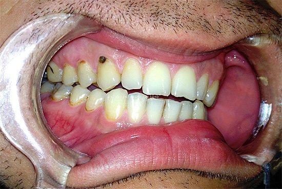
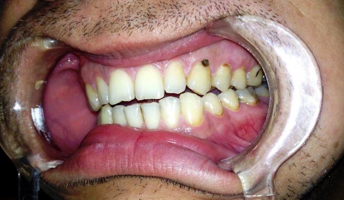
Фото: средняя и глубокая стадии
Циркулярный
Цервикальный кариес преимущественно поражает щечные (вестибулярные) и небные (язычные) поверхности придесневых участков передних или боковых зубов, в редких случаях — зуба мудрости.
С течением развития патологии границы поражения увеличиваются, захватив всю пришеечную область коронки по кругу. В этом случае мы уже имеем дело с циркулярным кариесом, который иногда условно называют «осложнением пришеечного».
Этот тип кариеса считается более агрессивным и, в отличие от пришеечного, имеет ярко выраженные клинические признаки. Он опасен еще тем, что может привести к частичному отлому или перелому всей коронки больного зуба.
Диагностика заболевания
Важным этапом стоматологического лечения является диагностика стоматологического заболевания. На основании полученных результатов лечащий врач сможет поставить точный диагноз и начать действенную терапию.
Диагностика пришеечного кариеса в соматологии включает в себя:
- Сбор анамнеза жизни пациента.
- Сбор анамнеза заболевания (жалобы).
- Внешний осмотр полости рта с использованием стоматологических инструментов (зеркало, зонд).
- Использование кариес – индикаторов (фуксин).
- Проведения электроодонтодиагностики (определение реакции пульпы).
- Рентгенография или радиофизиография.
Осложнения
Главные виновники появления кариеса – стрептококки. Патогенные микроорганизмы сначала окисляют, а потом и разрушают эмаль зуба, начинают просачиваться в твердые ткани через каналы дентина. Если инфекцию не лечить, она перейдет на коронковую часть мягких тканей пульпы, и разовьется острый пульпит.
Основные осложнения:
- Пульпит – развивается тогда, когда инфекция добирается до пульпы, и воспалительный процесс Начальная стадия формирования пульпита.
начинается в нервно-сосудистом пучке. Сначала больного беспокоит острая форма пульпита, которая за несколько суток, если не принимать меры, переходит в хроническую. Нервно-сосудистый пучок перерождается, разрушается, останавливаются процессы образования дентина.
- Периодонтит – развивается при достижении процессами гниения околоверхушечных тканей, связочного аппарата. При воспалении периодонта нарушается целостность зубных связок, повреждается и инфицируется кость.
- Гранулема – это запущенная форма хронического периодонтита. Под гранулемой подразумевается капсула, заполненная гноем (экссудатом) на верхушке корня. Больше деталей о видах и устранении кариозных осложнений читайте тут.
Осложнения пришеечного кариеса самостоятельно не проходят – обязательно принимайте меры.
Лечение пришеечного кариеса
Стоматологические пациенты задаются вопросом: «Как лечить пришеечный кариес?». Лечение зависит от стадии развития болезни. Так как дентальная шейка имеет очень тонкий эмалевый слой, любое агрессивное воздействие на прикорневой кариес вызывает сильную боль. Поэтому лечение поражения у десны проводится под проводниковой или инфильтрационной анестезией.
Стадия пятна
Кариес пришеечный в начальной стадии не нуждается в препарировании, так как отсутствует размягченная полость. Восстановить цвет эмали можно путем реминерализирующей терапии.
Ремотерапия включает в себя:
- Очищение всех поверхностей зубов от бактериального налета с помощью абразивных паст и щеток.
- Покрытие прикорневого поражения фторсодержащими или кальцийсодержащими.
Для устранения дальнейшего разрушения эмали зубов у десны прекрасно подойдут: «Нанофлюор», «Фторлак», «R.O.C.S. Medical Minerals», глюконат кальция. Некоторые препараты наносятся на очищенную поверхность зубов и высушиваются потоком воздуха, а восстанавливающие гели и средства с кальцием используются в форме аппликаций. Для эффективности терапии реминерализирующая терапия проводятся курсом в несколько дней.
Стадия поверхностного кариеса
Когда кариозное пятно стало шершавым и почернело, стоматологи проводят препарирование зуба. Разрушение эмали зубов у десны удаляется алмазным бором, после чего здоровый дентин обрабатывается антисептическим раствором. Последними этапами лечения являются пломбировка и полировка зуба.
Стадия среднего кариеса
Кариес под десной, поражающий дентин, лечится так же, как и поверхностная стадия болезни. Отличие лечения между двумя видами кариозного процесса заключается лишь в глубине препарируемого участка.
Лечение на стадии глубокого кариеса
Придесневой кариес глубокой формы сложен в лечении из-за возможности перехода болезни в пульпит. Также сложности в устранении проблемы могут заключаться в локализации места поражения. Пришеечный кариес передних зубов практически всегда приводит к воспалению пульпы. Из-за анатомических особенностей резцов на этом этапе кариеса врачи – стоматологи рекомендуют ортопедическое протезирование. Таким способом лечения можно сохранить зуб на долгие годы и обезопасить пациента от повторных рецидивов.
Этапы лечения разрушения зуба у десны включает несколько этапов:
- проведение анестезии;
- профессиональная чистка зубов;
- изоляция больного зуба;
- оттеснение края десны;
- препарирование;
- обработка полости хлоргексидином;
- обезжиривание дна полости стоматологическим зондом;
- наложение адгезива;
- пломбирование очищенной полости;
- очищение и полировка вылеченного зуба.
Если у пациента кариес сбоку зуба, для создания межзубного пространства используют матрицы из металла, пластика или дерева. Выбор материала инструмента зависит от локализации разрушения.
Так как ошибки в препарировании могут привести к серьезным осложнениям (пульпит, периодонтит), перед лечением и после него проводят рентген больного зуба. По снимку можно определить стадию заболевания и на его основании составить план терапии.
В случае технических ошибок в лечении или полном игнорировании болезни, зуб может крошиться. Если разрушился зуб до десны, и при этом откололась дентальная стенка, дальнейшая пломбировка зуба не будет долговечной. При этом прибегают к ортопедической терапии.
Методика icon
Больно ли лечить зубы в прикорневой зоне без препарирования? Специалисты отвечают на этот вопрос отрицательно. С течением времени медицинские технологии движутся вперед. Использование методики icon в лечении пришеечного кариеса имеет ряд преимуществ, что дает на данный вид терапии огромный спрос:
- отсутствие болезненных ощущений;
- использование анестезирующих препаратов не требуется;
- риск повреждения здоровых тканей минимален;
- процедура длится не более 20 минут;
- риск развития осложнения после лечения отсутствует.
Методика icon включает в себя несколько этапов:
- Очищение поврежденного зуба край десны от налета.
- Специальным гелем icon обрабатывается кариозная поверхность.
- Спустя 2–3 минуты гель смывается с поверхности зуба водой.
- Зуб просушивается воздухом.
- На просушенную поверхность наносится противомикробный материал, выделяемый через шприц Icon-Dry.
- Спустя 30 секунд полость пломбируется средством, входящим в комплект icon.
- После пломбировки материал полимеризуется под голубым свечением.
- Пришеечная пломба очищается от пыли и загрязнений.
Главным недостатком этого метода является использование лишь при поверхностном кариесе. При поражении пришеечного дентина методика icon не эффективна.
Лечение народными средствами
Народные методы могут помочь и при пришеечном кариесе. Вот несколько полезных рецептов:
- Настойка шалфея. 1 ст. л. шалфея заливают стаканом кипятка и настаивают в течение 60 минут. Используют для полоскания или для примочек на зуб, пораженный кариесом.
- Раствор из шелухи лука. 3 ч. л. шелухи заливают поллитром воды и кипятят. Отвар процеживают через марлю и дают ему настояться. Через 7– 8 часов отваром можно полоскать рот, желательно после еды.
- Примочка из пихтового масла. Ватный тампон, смоченный в масле, прикладывают на несколько минут к пораженному участку, затем к боковым стенкам зуба.
- Настойка аира. Полстакана измельченных корневищ аира заливают водкой (примерно 0,5 л.) и настаивают в течение минимум одной недели. Рот полоскают перед сном в течение нескольких минут, затем настойку выплевывают.
Можно также хорошо разжевать маленький кусочек корня аира или дудника обыкновенного, продержать во рту минут 20 и выплюнуть.
Эффект от использования народных средств только поверхностный, и только на начальной стадии заболевания. Они помогают снизить болевые ощущения лишь на время.
Будьте осторожны, так можно замаскировать серьезные изменения и не заметить, что кариозный процесс из стадии пятна уже перешел в более сложную. Важно понимать, что квалифицированную помощь может оказать только стоматолог, и чем раньше провести лечение, тем эффективнее и безболезненнее оно будет.
В чем причины повышенного слюноотделения у мужчин и как решить проблему.
Средняя цена коронки из металлокерамики, находится в обозначенных здесь пределах.
Эта статья https://zubovv.ru/lechenie/bolezni-polosti-rta/stomatit-bpr/stomatofit-podrobnaya-instruktsiya-po-primeneniyu.html будет интересна будущим мамам, мы расскажем, можно ли применять Стоматофит при беременности. Инструкция прилагается.
Отличия от лечения обычного кариеса
Отличительные свойства методики icon от обычного препарирования придесневой поверхности заключаются в технике проведения лечения. В первом случае осуществляется химическое воздействие на зуб, в другом – механическое. Использование icon не требует проведения местной анестезии, что нельзя сказать про стандартный метод терапии. Реабилитационный период при химическом лечении прикорневого кариеса проходит намного быстрее, нежели при стандартном сверлении дентина. Несмотря на это, препарирование кариозной полости эффективно при всех разновидностях кариеса, а использование современной методики возможно лишь при начальном этапе заболевания.
Лечение пришеечного кариеса в домашних условиях
Что делать, если появилось пришеечное пятно, а визит к стоматологу приходится отложить? Как вылечить разрушение зуба дома? Нужно помнить, что избавление от стоматологической проблемы возможно лишь в условиях поликлиники. Отпрепарировать больной зуб сможет специалист, используя при этом необходимые стоматологические материалы и стерильные инструменты. Несмотря на это, лечить пришеечный кариес в домашних условиях можно.
Прикорневое пятно около десны устраняется препаратами, находящимися в легком доступе в любом аптечном пункте. К примерам таких средств можно отнести: глюконат кальция, гель «Tooth mousse». Средства наносятся на очищенные зубы в виде аппликационных примочек. Для удобства в применении рекомендуется изготовить индивидуальную каппу, обеспечивающую плотное прилегание лекарств к пришеечным поверхностям.
Чтобы предотвратить дальнейшее развитие болезни, лечение прикорневого поражения в домашних условиях должно обговариваться с лечащим врачом. Для этого существуют дистанционные online-консультации со специалистами.
Народные методы
Самостоятельный выбор лечения дентальной области нежелателен. Таким образом можно усугубить течение прикорневой болезни, и тем самым вызвать развитие осложнений в виде воспаления десен и пульповой камеры.
Как известно, народная медицина включает использование растительных средств. Многие растения для десен обладают противомикробными, регенерирующими и противовоспалительными свойствами. К таким средствам относятся:
- аптечная ромашка;
- кора дуба;
- календула.
Профилактика
Соблюдение правил профилактики пришеечного кариеса обезопасит полость рта от развития кариеса. Профилактические мероприятия придесневого поражения включают в себя следующие этапы:
- Ежедневная чистка зубов зубными пастами, содержащими кальций, фтор и натрий.
- Использование зубной нити.
- Так как зубы портятся от сладких и мучных изделий, рекомендовано исключение из питательного рациона высокоуглеводных продуктов.
- Принятие витаминных и минеральных комплексов.
- Проведение профессиональной чистки полости рта 1 раз в 3 –6 месяцев.
- Ежегодное посещение стоматолога для профилактики кариозных болезней.
Если зуб крошится у десны, темнеет и чернеет, нужно в скорые сроки обратиться к врачу. Соблюдение правил профилактики пришеечного кариеса, и своевременная диагностика болезни гарантирует сохранение здорового зуба на долгие годы.
Список литературы
- Боровский Е.В.– Терапевтическая стоматология. Учебник, МИА 2003.
- Максимовский Ю.М., Митронин А.В. — Терапевтическая стоматология — М.: Гэотар—Медиа, 2012.
- Major M. Ash, Stanley J. Nelson — Wheeler’s Dental Anatomy, Physiology and Occlusion — Saunders — 2002.
- В. Н. Трезубов — Предварительное лечение больных перед зубным протезированием, М. : Медицинское информационное агентство, 2009.
- Иванов В.С., Урбанович Л.И., Бережной В.П. — Воспаление пульпы зуба, М., Медицина, 1990.
- Боровский Е.В., Леус П.А. — Кариес зубов, М., Медицина, 1979.
- Боровский Е.В. — Клиническая эндодонтия, М.: АО Стоматология, 2003.
- Kenneth M. Hargreaves, Louis H. Berman — Cohen’s Pathways of the Pulp — 2020.
Читайте связанные публикации:




