Многие слышали о келоидных рубцах, видели их фото в интернете, но немногие знают, что такое коллоидный рубец и отчего он появляется. Ниже мы расскажем об этом явлении, вы увидите фото рубцов и узнаете причины и разновидности появления коллоидных рубцов, а также как лечить такие образования на теле.
- 2 Классификация коллоидных рубцов
- 3 Почему появляются коллоидные рубцы?
- 4 Симптомы келоидных рубцов
- 5 Возможные последствия такого явления
- 6 Диагностика и клиническое лечение
6.1 Физические меры воздействия
7 Народная медицина против коллоидных рубцов
8 Профилактические мероприятия
Классификация
Коллоидные рубцы делятся на две основные группы: истинные и вторичные или ложные.
Первые формируются без какого-либо механического воздействия на кожу. В большинстве случаев они по не установленным причинам располагаются на спине, в области грудной клетки, на мочках ушей и шее. Рубцы на 5-7 мм возвышаются над поверхностью эпидермиса.
Они доброкачественные, гладкие, безболезненные и малочувствительные. При лабораторных исследованиях истинных келоидов в забранном материале специалисты обнаруживают множество коллагеновых волокон.
Вторичные рубцы образуются в результате травм и термических или химических ожогов кожи и подкожной клетчатки. В некоторых случаях келоид формируется на месте фурункула, трофической язвы или стомы.
Также келоиды классифицируют по возрасту. Различают недавно сформировавшиеся и застарелые рубцы. Молодые рубцы имеют яркий цвет, гладкую глянцевую поверхность. Старые келоиды отличаются обилием соединительнотканных узлов, шероховатостью и бледной окраской. Через 5-6 лет после появления рубцы перестают увеличиваться в размерах.
Внимание! Следует отличать келоид от иных кожных новообразований. Если формирующийся нарост мягкий, быстро увеличивается и сопровождается отеком близлежащих тканей, то есть основания подозревать развитие опухолевых процессов.
Возможные заболевания
Шрамы могут иметь травматическую природу, то есть возникают после порезов и глубоких ранений, а также неудачно проведенных операций. Однако иногда они возникают без видимых причин и повреждений. В этом случае предпосылками для их появления могут быть:
- гормональные нарушения;
- беременность;
- инфекционные патологии различной природы;
- наследственность;
- камедоны, прыщи (вторичные шрамы).
В отсутствии лечения могут возникать новые образования. Поэтому необходимо проводить комплексную терапию, устраняющую и причину их формирования.
Причины появления
На сегодняшний день не удалось выявить точные причины, вызывающие появления коллоидных рубцов. Удалось установить, что при нарушении нормального процесса регенерации начинается патологическое сращивание поврежденных тканей.
Заживление поверхностей раны – это длительный и сложный процесс, в котором, помимо кожи, задействованы иммунная, кровеносная и лимфатическая системы, поэтому очень важно подобрать такую мазь, которая поможет быстро заживить раны.
У здорового человека восстановление после мелкой травмы занимает около 7 дней, крупный ожог или рваная рана могут заживать около года. В ходе регенерации на коже образуется плоский рубец, который в последствии исчезает. Если на каком-либо этапе процесс восстановления тканей нарушен, то поврежденную поверхность начинает покрывать не новый слой эпидермиса, а соединительная ткань с высоким содержанием коллагена. Образуется коллоидный рубец. Он может продолжать разрастаться, выходя за пределы раны, даже через несколько месяцев или лет после заживления раны.
Характерной особенностью келоида является минимальная взаимосвязь между размерами шрама и тяжестью полученной изначально травмы. Зачастую рубцы образуются на месте мелких царапин или ссадин, уколов, угрей, укусов насекомых. У небольшого процента людей по неустановленным причинам келоиды формируются на здоровой коже.
При этом наиболее часто рубцы образуются на малоактивных участках тела:
- В области пупка;
- На груди и в районе ключиц;
- За ушами и на мочках ушей;
- У основания шеи;
- На плечах и в области лопаток.
Как действуют противорубцовые средства
Подобные лекарственные препараты в своем составе содержат поверхностно-активные вещества, витамины, эфирные масла и минеральные составляющие. Во всех случая гели действуют только на поврежденный участок, не всасываются в кровь, и соответственно количество противопоказаний к их использованию минимально. Главная цель подобных средств – осветление и уменьшение размера и глубины шрамов. Это помогает устранить стянутость кожи, размягчить рубец и сделать его менее заметным.
Важно! Использовать препараты против шрамов можно только на полностью заживших участках. Эффективность метода зависит от возраста рубца. Гели почти полностью убирают следы от свежих повреждений, но не эффективны против многолетних и глубоких следов от ссадин.
Средства действуют следующим образом:
- улучшают кровообращение поврежденного участка кожи;
- ускоряют синтез коллагена;
- оказывают противомикробное действие;
- стабилизируют водный баланс кожи.
К выбору необходимого медикамента следует отнестись серьезно, можно обратиться за советом к косметологу. Препараты отличны по действующему веществу, и соответственно их действие отличается. Стоит обратить внимание, что избавиться от рубцов, расположенных на уровне кожи, несложно при помощи косметологических препаратов, но против атрофических, келоидных и гипертрофических рубцов эффективен комплексный подход в комбинации с методами в домашних условиях.
Побочные эффекты возникают редко, в большинстве случаев подобные проявления связаны с превышением доз препарата и индивидуальной непереносимостью компонентов у пациента. Аллергическая реакция проявляется зудом, жжением, раздражением и крапивницей. В подобной ситуации нужно прекратить использование средства. Применяя гель в области лица, следует помнить, что кожа данного участка достаточно нежная. Нужно проконсультироваться с дерматологом, а после – протестировать препарат на малом участке кожи.
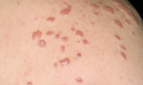
Симптомы и диагностика
Келоид представляет собой грубый нарост на коже. Его размеры могут варьироваться от нескольких миллиметров до 30-40 сантиметров и более. Из-за обилия кровеносных сосудов рубец отличается по цвету от окружающего его эпидермиса. Диагностировать келоид легко в связи с рядом характерных симптомов:
- Красный или бурый оттенок рубца. Кожа вокруг него может быть гиперемирована из-за обилия капилляров;
- В отличие от обычного шрама келоид не теряет чувствительности, надавливание на него может сопровождаться болевыми ощущениями;
- Зуд и пульсация в области крупных рубцов.
Симптомы, сопровождающиеся физическим дискомфортом, в большинстве случаев беспокоят пациента в течение первых 11-15 месяцев с момента появления келоида.
После окончания этого периода рубец, как правило, переходит в неактивную стадию. Он постепенно перестает увеличиваться в размерах, бледнеет и утрачивает болезненность. Через 1-2 года после формирования келоид приобретает вид грубого, неправильной формы шрама.
Стоимость
| Название медицинских препаратов от шрамов | Цена, руб. |
| «Мэлт» | 15 г – 800, 59 г – 2400 |
| «Контратубекс» | 20 г – 700 |
| «Зерадерм ультра» | 15 г – 3000-4000 |
| «Дерматикс» (Швейцария) | 15 г – 2000-2200 |
| «Солкосерил» | 20 г — 200 |
| «Боро плюс» или «Боро софт» (Индия) | 25 мл – 90-130 |
| «Лиотон 1000» (Италия) | 30 г – 500, 50 г – 700 |
Кто находится в группе риска?
Существует ряд факторов, которые являются предпосылками к развитию коллоидных рубцов:
- Нарушения работы половой и эндокринной систем, нарушения гормонального фона в организме;
- Подростковый или старческий возраст;
- Угнетение работы иммунной системы: состояние после трансплантации органов или тканей, перенесенные заболевания, наличие вируса иммунодефицита;
- Беременность и период лактации;
- Наследственная предрасположенность;
- Воспалительные процессы, нагноения раны;
- Нарушение кровоснабжения и иннервации тканей травмированной области, в том числе в результате язвенных процессов или ожогов.
Внимание! Часто коллоидные рубцы образуются на губе, мочке уха, пупке или крыльях носа в результате проколов. Келоид в этой области из-за попадания инфекции в рану и последующих воспалительных процессов. Если вы решили сделать пирсинг, обязательно соблюдайте правила ухода за ним: обрабатывайте антисептической и противовоспалительной мазью (цинковой или борной), разрабатывайте прокол, носите изделия из серебра или медицинской стали.
Диагностирование
Келоид начинает расти, обычно, через полгода после того как заживет рана. Рост рубца может идти на протяжении многих лет. Шрам болит, обладает повышенной чувствительностью к механическим воздействиям. В области рубца может быть жжение. Пациенты также жалуются на зуд в этой области. Шрам становится твердым, гладким, выпуклым. Он четко ограничен и возвышается над кожей. В самом начале своего развития келоид, как правило, бледный или чуть-чуть красноватый. Рубец по площади превышает повреждение кожи. С течением лет у шрама могут появиться когтеобразные отростки.
В своем росте любой рубец проходит 4 стадии: эпитализацию, набухание, уплотнение и размягчение. В случае келоидного рубца последняя стадия отсутствует. Остановимся на каждом из этапов развития рубца подробнее.
Во время эпитализации на поврежденной коже вырастает тонкая пленочка. Спустя неделю, эта пленка становится более грубой и плотной. Цвет поврежденной кожи бледнеет. Этап этот длится примерно 14 дней.
На стадии набухания рубец увеличивается, он очень чувствителен к любым механическим воздействиям. Он выше поверхности кожи. После четырех недель боль проходит, но краснота усиливается. У рубца появляется синеватый оттенок.
На этапе уплотнения шрам приобретает бугристость, местами становится очень плотным. Этот этап нормального развития рубца можно спутать с келоидным образованием, так как внешне они похожи.
На этапе размягчения рубец теряет яркую окраску и грубость. Он мягкий, задевать его не больно.
Таким образом, любой рубец проходит через стадию уплотнения, что затрудняет диагностирование патологии.
Лечение
Так как причины развития коллоидных рубцов не установлены, универсальной терапии также не существует. Методику лечения специалист подбирает индивидуально в зависимости от проявления патологии. Лечение включает консервативную, то есть медикаментозную, терапию и оперативные вмешательства.
Фармакологическое лечение применяется для устранения келоидов, которые образовались менее 12 месяцев назад. Используются следующие методы:
- Замораживание выпуклых рубцов и наростов жидким азотом – криотерапия (КриоФарма, Вартнер Крио). Азот воздействует на жидкость в тканях, которая в большом количестве содержится в келоидных образованиях. Недостаток данного метода в том, что криотерапия позволяет удалить лишь внешние проявления рубца. Этот способ нужно использовать в составе комплексной терапии;
- Инъекции кортикостероидов в пораженную область («Преднизолон», «Лоринден»). Этот гормон приводит к местному сокращению выработки коллагена, уменьшает воспалительный процесс;
- Иммуномодуляторы («Интерферон», «Ликопид») также вводятся внутрикожно, непосредственно в ткань рубца. Инъекции проводятся 1 раз в две недели в течение трех месяцев;
- Медикаменты для профилактики разрастания тканей («Ронидаза», «Лонгидаза», «Лидаза»). Это средства, которые вводятся в область рядом с рубцом и не позволяют келоиду поражать близлежащие ткани;
- Мази против рубцевания тканей. Используются в качестве профилактического или вспомогательного средства: «Контрактубекс», «Дерматикс», «Солкосерил».
Лечение коллоидных рубцов включает также применение физиотерапевтических процедур:
- Микроволновое электромагнитное воздействие на пораженную область. Используется для дестабилизации содержащейся в ткани келоида воды. Применять этот метод рекомендуется совместно с криотерапией;
- Электрофорез — введение кортикостероидов с помощью электрических импульсов;
- Магнитно-волновая терапия. Используется исключительно в качестве профилактической меры для стимуляции быстрого заживления раны. Применяется для лечения пациентов с наследственной предрасположенностью к образованию коллоидных рубцов, ослабленным иммунитетом и крупными ранами.
Через 5-6 месяцев после формирования келоида можно проводить косметологические процедуры, направленные на устранение последствий рубцевания кожи:
- Лазерная терапия для удаления мелких соединительнотканных узлов;
- Пилинги и скрабирования для выравнивания кожи;
- Дарсонвализация.
Как удалить коллоидный рубец?
Избавиться от рубца можно с помощью криотерапии или оперативного вмешательства. В первом случае на нарост в течение длительного времени наносится препарат, после чего келоид удаляется послойно. Для полного его устранения требуется от 5 до 15 процедур.
Оперативное вмешательство заключается в полном иссечении разросшейся соединительной ткани. На рану накладываются швы. Если рубец был крупным, то рекомендуется пересадка кожи для профилактики повторного образования келоида.
Внимание! После хирургического удаления келоида велик риск рецидива рубца. Поэтому после операции необходимо проводить физиотерапевтическое и медикаментозное лечение.
Стоит учесть, что пациентам с истинными келоидами противопоказаны любые хирургические или инъекционные методики лечения, так как они могут привести к образованию новых шрамов.
О вреде агрессивных терапевтических методик для людей с первичными коллоидными рубцами рассказывает хирург Карпова Е.И.
Лечение народными способами
Наряду с косметологическими процедурами, лекарствами и физиотерапией для избавления от келоидов можно применять рецепты народной медицины.
Для лечения различных кожных патологий, в том числе коллоидных рубцов, используется лимонный сок. Им следует аккуратно намазать пораженный участок и оставить на 30 минут. После смойте сок теплой водой. Процедуру следует проводить каждый день в течение 1-2 месяцев.
Другим эффективным средством для улучшения циркуляции крови и лимфы в области келоида является сбор из ромашки, тысячелистника и крапивы.
Травы оказывают противовоспалительные и восстанавливающий эффект.
Нужно смешать по столовой ложке каждого растения и залить 0,5 литра кипятка. Спустя 1-2 часа обмакнуть в настой чистую марлевую повязку, приложить ее к келоиду и оставить на 1,5-2 часа. Проводить лечение следует в течение 60 дней.
Для увлажнения кожи и улучшения микроциркуляции крови в капиллярах рубца можно ежедневно наносить мед на пораженную область и массировать в течение 10-15 минут.
Внимание! Применение народных способов борьбы келоидами должно проходить в комплексе с использованием методов традиционной медицины.
Народная медицина против коллоидных рубцов
Конечно же, народные рецепты могут служить хорошим дополнением к лечению келоидных образований на теле. Они помогут замаскировать рубец, смягчить его и оказать рассасывающий эффект. Также народные методы хороши в качестве профилактики после физиотерапии или приема специальных медикаментов. Приводим лишь некоторые из них:
- против келоидных образований применяют аппликации, примочки и компрессы на основе ромашки, мокрицы, герани, зверобоя, фенхеля, мяты, тысячелистника, японской софоры. Например, для компресса на основе мокрицы нужно взять ее листья, утрамбовать в банку и залить их подсолнечным маслом. Затем банку ставят в темное место примерно на пару недель. Потом открывают, процеживают полученный настой и прикладывают его к рубцу под хлопковую прокладку на полчаса;
- облепиховое масло, а также смесь оливкового масла с медом отлично помогают улучить микроциркуляцию крови при келоидных рубцах;
- ткани рубца можно протирать эфирными маслами на основе чайного или розового дерева, ладана, розмарина или мяты;
- возьмите поровну дынных семечек и яичной скорлупы, все измельчите и перемешайте. Добавьте растительное масло, еще раз смешайте и полученную кашицу в течение 2 месяцев регулярно наносите на рубец;
- разведите гороховую муку молоком до тестообразной консистенции и положите на рубец, закрыв пленкой на час. Такие процедуры рекомендуется делать порядка 2 месяцев;
- капуста способна оказывать регенерирующий эффект на такие образования. Для этого нужно измельчить несколько листов и соединить с ложкой меда. Наносить на место поражения как маску на час времени;
- чтобы избавиться от мелких образований, возьмите в одинаковой мере тысячелистника, горца, ромашки, крапивы и зверобоя, соедините их и залейте стаканом кипятка. Настаиваем в течение 2 часов и прикладываем к пораженному месту посредством льняной салфетки;
- измельчите корень алтея, залейте его ложку стаканом воды и настаивайте в течение 9 часов. Затем используйте в виде примочек, такой настой оказывает рассасывающий эффект и помогает против отеков;
- масло камфары помогает лечить рецидивы и может быть применено для профилактики недуга. Намочите маслом бинт или салфетку и наложите на несколько часов как компресс на келоидный рубец;
- хорошо помойте корень живокоста, измельчите и залейте смесью спирта и воды в одинаковой пропорции. Настаиваем порядка недели или чуть больше, затем можно делать аппликации или просто смазывать пораженный участок.
Стадии формирования рубца
Формирование рубца может длиться от нескольких недель до 1-1,5 лет. Оно происходит в три основных этапа:
- Эпителизация – начальная стадия. В течение примерно двух недель участок кожи уплотняется, становится розоватым и слегка отекшим, приобретает бледно-розовый цвет;
- Увеличение – келоид начинает возвышаться над поверхностью эндометрия, приобретает буроватый или сизый оттенок. Этот период продолжается около месяца;
- Уплотнение – келоид становится грубым на ощупь, в нем могут образовываться плотные узлы соединительной ткани.
По мере разрастания рубца каждый новый пораженный участок кожи проходит эти фазы образования келоида.
Трейси
«Мне 45 лет, у меня двое детей. В 2012 году я заболела, и сначала меня пытались лечить от простуды, но диагноз был поставлен неверно. Когда я отключилась, дочь вызвала скорую, и меня увезли в больницу. Оказалось, у меня менингит двух видов. Меня ввели на месяц в искусственную кому. Еще два месяца я провела в интенсивной терапии, а потом у меня случился сердечный приступ. Выяснилось, что нужно делать операцию на сердце, менять клапан. Потом, еще через месяц, мне сделали трахеостомию, которая позволила мне говорить и общаться. И еще несколько месяцев я училась всему заново — говорить, считать, ходить, есть, пить, одеваться».
Чем опасен келоид?
Коллоидный рубец не опасен для жизни и здоровья человека, однако может доставить массу неприятных ощущений и значительно снизить качество жизни. В тяжелых случаях келоид разрастается быстро, занимая большие площади тела, и часто рецидивирует. При его повреждении развиваются кровотечения, так как в рубце множество кровеносных сосудов. У людей с ослабленным иммунитетом попавшая в ткани келоида инфекция может вызвать воспалительный процесс.
Особенный дискомфорт вызывает келоид, образовавшийся у женщин в результате разрезов и разрывов промежности в процессе родов. Такой нарост проявляется довольно сильным болевым синдромом и приводит к нарушению сексуальной жизни. Поэтому при склонности женщины к появлению рубцов во время беременности ей следует регулярно проводить массаж промежности, а после прибегать к процедурам магнитно-волновой терапии для профилактики келоидов.
Хирургические методы
- Криохирургия — воздействие на разросшийся рубец холодом. Например, жидким азотом. В результате клетки, формирующие патологический рубец, гибнут. Одна процедура длится от 10 до 30 секунд. Жидкий азот применяется также перед введением в рубец стероидов, чтобы ускорить разрушение коллагена в келоиде и сделать минимальным попадание гормонов в окружающие рубец ткани.
- Обработка келоида лазером. Более эффективна, если после операции пациенту вводятся стероиды.
- Иссечение. К сожалению, после него келоидный рубец возникает вновь в половине случаев, особенно если не проводить терапии против рецидивов после операции: облучение, инъекции интерферона или стероидов.
Профилактика
Профилактические мероприятия, позволяющие избежать появления коллоидного рубца:
- Не расчесывать и не травмировать рубец, образовавшийся на месте раны;
- Использовать специальные послеоперационные повязки из компрессионного трикотажа;
- Обрабатывать травмированную кожу средствами против рубцевания: «Следоцит», «Контрактубекс», «Спасатель».
- Если ранее у вас уже образовывались келоиды, то откажитесь от пирсинга, татуировок и инъекционных косметологических процедур.
Кратко о дальнейшем уходе за кожей
Важно вовремя омывать и увлажнять место дефекта. Благодаря этому обновление клеток кои будет проходить быстрее и регенерация ускорится. Каждый раз послед душа следует хорошенько увлажнить кожу, лучше ,если будут использованы органические средства: оливковые, кокосовые, облепиховые масла.
В современном мире келоидный рубец далеко не клеймо, которое человек, получив однажды, обязан нести через всю жизнь. Большое количество клиник и частных специалистов готовы помочь конкретным методом и избавить от неприятного дефекта. Главное, не запускать надолго процесс заживления келоида и вовремя обратиться к специалисту.
Лючия
«Я родилась с пятью отверстиями в сердце, и перенесла операцию в возрасте 2 недели. А затем еще операцию в два года, и третью операцию — в 26 лет (полгода назад). Потому что у меня открытое и большое сердце. Звучит иронично, не правда ли? Я горжусь своим шрамом-застежкой, с ним я выгляжу так абстрактно, что Пикассо наверняка захотел бы нарисовать мой портрет!»
Показания к применению
Препараты от рубцов имеют определенные показания и противопоказания к применению. По этой причине перед использованием рекомендуется проконсультироваться у врача-дерматолога. Неправильное использование кремов может негативно отразиться на состоянии эпидермиса.
Мази для заживления повреждений кожи показаны при:
- растяжках, которые возникли вследствие похудения или набора массы тела;
- посттравматическом суживании сухожилий;
- наличии послеоперационных швов;
- дефектах, при которых разрастается соединительная ткань, образуется выпуклый рубец (коллоидный);
- небольшом белом рубце аккуратной формы, который образовался после заживления послеоперационного шрама, ран, ожогов, других травм кожного покрова;
- следах после прыщей;
- гиперпигментации.
Противопоказания
Нельзя использовать подобные средства в следующих ситуациях:
- при индивидуальной непереносимости ингредиентов;
- для обработки частично заживших, воспаленных или загноившихся ран;
- в случае опухоли в месте воздействия препарата;
- при непосредственной близости рубца к слизистым оболочкам.
Препараты, рассасывающие рубцы, практически не оказывают отрицательного воздействия на организм, так как используются только наружно. В случае высокой чувствительности могут быть побочные реакции в виде кожных высыпаний, покраснения или зуда. Поэтому, перед тем как наносить крем на место шрама, рекомендуется сделать тест на чувствительность.
Что делать если разошелся шов
Проще всего выявить расхождение наружного шва, которое проявляется такими симптомами:
- Расхождение краев раны на одном или нескольких участках;
- Быстрое намокание повязки;
- Покраснение, появление кровянистых выделений;
- Усиление болезненных ощущений.
В таком случае шов нужно обработать антисептиком, наложить новую повязку, принять горизонтальное положение и вызвать врача. При минимальном расхождении рекомендуется носить бандаж, а при сильном – проводят повторное зашивание.
При появлении гнойных выделений проводится дренирование полости раны.
Наиболее опасным считается расхождение внутреннего шва, который рубцуется на протяжении 2 лет. О том, что он разошелся можно понять по таким признакам:
- Боль тянущего характера в нижней части живота;
- Повышение температуры тела;
- Появление кровянистых выделений из влагалища, которые возобновились или усилились через 7 дней после кесарева сечения.
В таком случае необходимо срочно посетить гинеколога, так как это состояние может угрожать жизни женщины.
Сэм
«Когда мне было 14 лет, я играла с пистолетом, и это привело к жизни в инвалидном кресле. Но, несмотря на то, что можете об этом подумать, я никогда не чувствовала себя жертвой. Мои физические и психологические шрамы сделали меня сильнее и энергичнее. Я хотела стать теннисисткой, и я стала. Я хотела быть моделью, и угадайте что произошло… Я модель. Я работаю в индустрии моды, представляя людей, у которых есть физические ограничения, но они, тем не менее, ничем не ограничены. Они любят, они сражаются, они выигрывают, они теряют. Они настоящие, и моя история помогает им понять свою ценность. Включая все шрамы».
Этиология
Причинными факторами образования первичных келоидных рубцов являются:
- свершившиеся травмы, не видные на поверхности кожи;
- гормональный дисбаланс;
- беременность;
- инфекционные болезни в хронической форме (туберкулез и т.д.);
- наследственная причина.
Причинными факторами образования вторичных келоидных рубцов являются:
- травмы разной интенсивности.
- некачественное удаление бородавок и родинок.
- камедоны.
Что такое косметический шов
Швы, которые накладывают на края раны очень тонкими нитями, называют косметическими. Для наложения подкожных швов применяют рассасывающиеся лигатуры. Очень аккуратными получаются внутрикожные швы, которые практически не нарушают кровообращение тканей.
Когда хирург соединяет края раны, он проводит нить внутри кожи параллельно ее поверхности. Чтобы протягивание был более свободным, используют одноволоконные (монофиламентные) нити, которые не рассасываются.
После заживления фрагменты материала легко удаляются между выколами. Косметический шов отличается от обычного тем, что рубцы после него получаются более аккуратными и выглядят, как тонкая еле заметная линия.
Примение послеродового бандажа
После хирургического вмешательства женщина должна носить послеродовой бандаж или корсет для людей, которые перенесли операцию на брюшном пространстве. Это ортопедическое приспособление предупреждает расхождение шва, способствует быстрому срастанию тканей за счет уменьшения их подвижности, тогда рубец после кесарева сечения получается более аккуратным.
При отсутствии осложнений бандаж можно использовать уже через 24 часа после операции.
Корсет используется для профилактики растяжек, болей в пояснице, стимулирует сокращение матки, помогает быстрее вернуть животу плоскую форму. При регулярном его ношении снижается вероятность появления грыж, варикоза и опущения тазовых органов.
Женщины могут приобрести универсальный бандаж или пояс с жесткой фиксацией. Также можно приобрести изделие в форме трусиков с завышенной талией и ребрами жесткости на животе. Важно правильно подобрать размер корсета, чтобы лечебный эффект проявился и не нарушалось кровообращение.
Медики рекомендуют надевать с утра, не вставая с постели, а снимать перед сном, а также во время водных процедур и воздушных ванн (по 20 минут с интервалом 4 часа).
Длительность ношения колеблется от 3 до 6 месяцев. Окончательный срок огласит врач. Бандаж запрещено носить при воспалении области шва, которое сопровождается покраснением, болью, выделениями, свищами. К противопоказаниям также относят сыпь на коже, отеки, сильную боль в области живота.
Сколько заживает шрам после кесарева
Срок заживления рубцов зависит от вида шва и качества ухода:
- Вертикальные разрезы полностью срастаются через 8 недель. Швы снимают через 5- 7 дней после кесарева сечения. Рубец остается твердым в течение 18 месяцев, самостоятельно уменьшиться он не может;
- Для соединения горизонтальных разрезов, как правило, применяют рассасывающийся материал, который не нужно удалять. Если по каким-то причинам применялись нерассасывающиеся нити, то снимать швы нужно через неделю. Заживает рана около 8 недель. Спустя год шрам становиться более мягким и малозаметным, внешне он напоминает тонкую нить;
- Длительность рубцевания внутренних швов – до 2 лет. Для сшивания используются только рассасывающиеся материалы, которые не нужно снимать.
Такие прогнозы реализуются у пациенток, которые правильно ухаживают за швами после кесарева и у них отсутствуют осложнения.
