Заболевания зубов и дёсен у человека — очень распространенная проблема, которая приносит немало проблем. Дискомфорт, частые болевые ощущения, кровоточивость, неприятный запах изо рта — всё это следствие их болезни. Согласно статистическим данным, болезням дёсен чаще всего подвержены люди возрастом от тридцати лет.

В возрасте от сорока пяти лет болезни дёсен нередко становятся причиной выпадения зубов. Предлагаю более детально рассмотреть наиболее распространенные болезни дёсен, такие как гингивит, пародонтоз и пародонтит, их симптомы и методы лечения.
Что такое гингивит
Гингивит – это самая начальная стадия воспалительного процесса. Для заболевания характерна следующая симптоматика: покраснение (иногда – посинение) и незначительная отечность десен, временная кровоточивость (в основном при механическом повреждении), образование незначительного зубного налета и камня, в том числе под деснами.
Пример заболевания гингивитом
Причины болезни дёсен
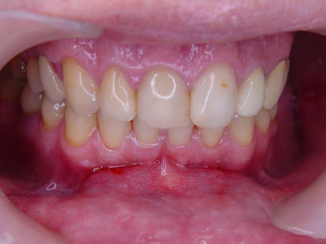
Причинами болезни дёсен чаще всего становятся неправильный уход, и нерегулярные посещения стоматолога. Болезнетворные бактерии быстро осваиваются в полости рта, проявляя себя в виде мягкого налёта, который при неправильном уходе становится желтовато-коричневого цвета и, уплотняясь, образует камень. Дёсны при этом ослабевают, начинают кровоточить и воспаляться, образуя тем самым гингивит. Нарушение обмена веществ и гормональные сбои способствуют распространению болезни гингивит. Кроме того, причиной появления гингивита нередко становятся плохо установленные протезы, механические повреждения, а также неровные пломбы. Бактерии размножаются и распространяются на другие места ротовой полости, и как следствие — образуется пародонтит. Кроме того, пародонтит появляется из-за отсутствия лечения гингивита или лечения народными средствами.
Боль при болезнях десен
Неправильный прикус у людей способствует развитию данной болезни. Нехватка витаминов группы «В» также плохо отражается на дёснах.
Что такое пародонтит
Пародонтит – это стадия, которая следует за гингивитом. Характеризуется распространением воспаления на ткани вокруг зуба. Наблюдается отек, покраснение и кровоточивость десен, причем постоянная. Образуются десневые карманы – мягкая слизистая отслаивается от поверхности зуба и в образовавшейся полости скапливаются остатки пищи, микробы. При пародонтите наблюдается очень неприятный запах изо рта.
Пример заболевания пародонтитом
Лечение
Обращаться к стоматологу следует даже при появлении кровоточивости или небольшого дискомфорта. Врач сможет выявить заболевание в начальной стадии и предотвратить его дальнейшее развитие.
Стоматолог назначит подходящее лечение в зависимости от степени патологии и состояния здоровья пациента в целом. Следуя предписаниям специалиста, можно качественно избавиться от недуга и вернуться к прежней жизни.
Важно! После проведённого лечения врач даст рекомендации по уходу за ротовой полостью, чтобы предотвратить рецидив.
Что такое пародонтоз
Если гингивит и пародонтит похожи по симптоматике, то пародонтоз протекает совершенно по-иному. Это заболевание может возникать как самостоятельно, так и являться завершающей стадией гингивита или пародонтита, когда в десневых тканях нарушаются обменные процессы и слизистая попросту атрофируется, то есть уменьшается в объемах. Пародонтит очень часто встречается у пожилых людей, у которых в силу возраста ухудшается кровоснабжение тканей.
Пример заболевания пародонтозом
При пародонтозе нет отечности, покраснения и кровоточивости десен. Напротив, мягкие слизистые становятся белесыми, заметно сокращаются в объеме, из-за чего оголяются шейки и даже корни зубов. Заболевание «пародонтоз» в действительности встречается крайне редко, однако даже стоматологи путаются в названиях и нередко выдают «пародонтит» за «пародонтоз», чем окончательно запутывают пациентов.
Гингивит, пародонтит и пародонтоз: отличия
Характер воспаления
При гингивите воспаление локализуется исключительно на деснах, причем в области десневых сосочков. При пародонтите наблюдается разрушение всех тканей пародонта (это комплекс тканей, удерживающих зуб в лунке). При пародонтозе воспаление десен отсутствует вовсе.
Образование пародонтальных карманов
Пародонтальные карманы – это характерный признак пародонтита, при гингивите и пародонтозе они отсутствуют. Внутри своеобразных кармашков скапливается налет, камень, остатки пищи – все они гниют и провоцируют воспалительные процессы.
Подвижность зубов
Наравне с образованием пародонтальных карманов подвижность зубов – это еще один специфический признак пародонтита. При разрушении связок, которые отвечают за фиксацию зуба в лунке, происходит расшатывание зубов – в большинстве случаев их приходится удалять.
Оголение шейки и корня зубов
Данный симптом характерен в большей степени для пародонтоза, однако и пародонтите могут обнажаться корни зубов – в случае, если образуются слишком глубокие десневые карманы.
Последствия заболевания
Гингивит практически не имеет неприятных последствий (но только лишь развитие пародонтита), тогда как сам пародонтит приводит к потере зубов. Пародонтоз также может стать причиной раннего выпадения зубов (из-за разрушения корней, которые оказываются оголенными и подверженными повышенной атаке бактерий), однако в большей степени заболевание влияет на ухудшение эстетики улыбки. Поэтому если воспаления десен расположить по степени опасности, то список будет выглядеть следующим образом (по возрастанию): гингивит, пародонтоз и пародонтит.
Виды заболевания десен
В каких случаях возможно воспаление пародонта
Пародонтоз – это не воспалительное заболевание зубов, в отличие от пародонтита, с которым его часто
путают. Начинается он неожиданно и не приносит никаких неудобств, поэтому пациент долгое время может вообще не замечать у себя наличие пародонтоза, особенно, в том случае, если у пациента имеется зубной камень и налет. Данное заболевание может возникнуть у любого человека, но подвергаются ему не более 10% земного населения. Пародонтоз возникает не за одну неделю, месяц или даже год. Заметить его можно лишь на тяжелой стадии заболевания, там уже будут ярко выражены многие симптомы. Больше информации о том, в чем отличие пародонтита от пародонтоза смотрите здесь. Воспаление возможно на средней стадии развития болезни. Средняя стадия считается уже полностью развитым процессом, поэтому заметить пародонтоз уже не составляет труда: зубы оголяются примерно на 50% от нормальной длины зуба, зубы становятся подвижными, десна начинают отделяться.
Видео какие болезни десен бывают
Оцените статью:
(1 оценок, среднее: 5,00 из 5)
болезни десен
Консультирующий специалист
Малышева Лариса Андреевна
Рейтинг врача: 9.3 из 10 (3) Специализация: Терапевт, ортопед Стаж: 25 лет
Профилактика заболеваний десен
Профилактика всех рассмотренных заболеваний десен сводится к следующим несложным правилам:
• Регулярное посещение врача-стоматолога с целью профилактического осмотра или санации полости рта. Запомните – только врач сможет увидеть и правильно поставить диагноз в даже самом начале заболевания. • Ежедневный и правильный уход за полостью рта с помощью подобранных врачом зубной щетки, зубной пасты, щетки для языка, зубной нити (флосса) и ополаскивателя. Также стоматолог может порекомендовать вам использование дополнительных средств гигиены (например, специальных ершиков для брекетов или ирригатора – «водного» массажера и т.д.). • Здоровый образ жизни, включающий и изменение привычек питания (уменьшение количества сладкой и мягкой пищи, которая, «прилипая» к зубам, является также и любимой пищей микробов, и увеличение твердой пищи, при жевании которой происходит механическое очищение зубов, а также улучшается кровообращение в деснах) и отказ от вредных привычек.
Запомните – заболевание всегда легче и дешевле предотвратить, чем лечить! Соблюдение этих простых правил поможет вам долго оставаться здоровыми и чаще улыбаться!
Наиболее часто задаваемые вопросы врачу – пародонтологу по теме заболевания десен:
Зубы все здоровые, была на приеме в местной клинике неделю назад. Но при чистке десны кровоточат немного. С чем может быть связано? У нас врачи ничего не говорят, может Вы подскажете? Лиза, 25летСкорее всего, речь идет о гингивите. Если гигиена полости рта удовлетворительная, то разбираться надо глубже и помочь вам в этом сможет врач общей практики (исключить общее заболевание или беременность), если нет – то показана профессиональная гигиена полости рта.
Каким способом происходит снятие зубного камня? Болезненная ли сама эта процедура? Как долго происходит? Есть ли побочные отрицательные эффекты для зубов? Андрей, 28летВ большинстве случаев снятие камней не вызывает сильных болевых ощущений, но в ряде случаев, особенно если камни под десной, процедура может быть болезненной и её проводят с обезболиванием. Но, поверьте, польза от чистки перекрывает те неудобства, которые пациент может испытывать. Камни снимают ультразвуком и вручную специальными инструментами. Налёт можно снимать и аппаратами типа AirFlow струйкой из смеси воды, воздуха и соды. Это совершенно не больно и зубы становятся гораздо светлее.
Врач стоматолог Эльвира Князева
Комментарии
[…] зафиксированы в кости. А вот те, кто столкнулся с гингивитом, пародонтитом и пародонтозом нередко рискуют приобрести дефекты зубного ряда, так […]
Пародонт: секреты строения и 5 основных функций, которые он выполняет (28.08.2018 в 09:00) Ответить на комментарий
[…] формы заболеваний пародонта, при которых зубы могут приобретать подвижность. […]
5 частых ошибок при установке зубного моста, На что стоит обратить внимание (03.09.2018 в 09:02) Ответить на комментарий
Напишите свой комментарий Отменить ответ
Пародонтит и гингивит – применение Граммидин® нео в схеме терапии
Для устранения микроорганизмов субгингивальной бляшки чаще всего наряду с препаратами местного применения (антисептиками) или при их неэффективности применяют антибиотики. В полной мере сочетает в себе свойства и антисептиков, и антибиотиков новый препарат – Граммидин® нео, в состав которого входит полипептидный антибиотик местного действия Грамицидин С и антисептик цетилпиридиния хлорид.
Грамицидин С – полипептидный антибиотик, продуцируемый споровой палочкой Bacillus brevis. Эффективен в отношении стрептококков и стафилококков, а также возбудителей анаэробной инфекции и других микроорганизмов, преимущественно активен против грам-положительных бактерий.
Цетилпиридиния хлорид – антисептик из группы четвертичных аммониевых соединений, обладает противомикробным, противогрибковым и вирулицидным действием.
Цель исследования – изучить возможности использования нового антибактериального препарата Граммидин® нео в комплексном лечении заболеваний пародонта.
Было обследовано 45 пациентов в возрасте от 18 до 40 лет с заболеваниями пародонта (гингивитами, локализованным пародонтитом, начальной – І степенью генерализованного пародонтита).
В комплексной терапии этим пациентам был назначен Граммидин® Нео – по 1 таблетке (одна за другой на протяжении 20–30 мин) 4 раза в сутки после еды путем рассасывания в полости рта (не разжевывая). После применения препарата не следует принимать пищу или напитки на протяжении 1–2 ч. Курс лечения – 5–6 дней.
Одним из критериев эффективности терапии заболеваний пародонта является сокращение длительности лечения.
Установлено купирование воспалительного процесса в более короткие сроки. У большинства пациентов зафиксировано значительное уменьшение отека, экссудации, кровоточивости, чувства дискомфорта, тяжести и болезненности десны уже через 2 суток от начала медикаментозной терапии. Реабилитационный период протекал мягко и быстро.



