Причины появления осколков
- крошение коронки соседнего зуба в момент хирургической процедуры;
- раскалывание корня с последующим измельчением вследствие высокой степени разрушения удаляемого зуба;
- наличие осколков при удалении зубов мудрости, если происходит обламывание глубоко расположенных корней.
Оплошности при удалении зубов мудрости допускают даже опытные стоматологи. Это связано с тем, что эти зубы расположены далеко и в неудобном положении. Часто они имеют неправильную анатомическую форму либо некорректно прорастают.
Квалифицированный специалист всегда, чтобы убедиться в том, что зуб удален полностью, проверит наличие всех извлеченных фрагментов, а при малейшем сомнении отправит пациента на рентгеновское исследование.
Эти меры практически 100% гарантируют, что операция проведена качественно, а побочные эффекты сведены к минимуму.
Причин, по которым элементы разрушенного зуба в процессе ампутации могут остаться внутри лунки, несколько:
- раскалывание и измельчение корня – в процессе проведения операции корень может начать крошиться. Особенно часто это случается, когда удаляемый зуб очень поврежден или слишком разрушен;
- обламывание в момент ампутации – так происходит, когда элемент имеет крупную корневую систему и массивное костное тело. Еще одна причина обламывания – слишком глубокая посадка зуба.
В основе данной проблемы лежит две причины. Причем они обе в равной степени являются виновницами такого положения дел. Первая причина – пациенты обращаются к стоматологам в крайних случаях, когда зуб становится хрупким, и нет никакой возможности с легкостью его вытащить. Зуб в такой стадии раскалывается при малейшем надавливании на него. Вторая причина – врачебная халатность. Врач после извлечения зуба не удостоверился в полной мере, что все выполнил правильно.
Процесс удаления зуба мудрости вызывает наибольшие сложности, так как там имеется огромное количество корней, которые переплетены между собой. Именно после удаления этого зуба имеется наибольшая вероятность того, что в десне останется фрагмент. После удаления зуба мудрости могут остаться достаточно крупные фрагменты.
Зачастую крошатся зубы, которые находятся рядом друг с другом. Это серьезный звоночек человеку к тому, что посещение стоматологического кабинета может стать жизненно важным событием, ведь иначе могут возникнуть осложнения.
Почему в десне может остаться осколок после удаления больного зуба?
Если у вас остался осколок после удаления зуба, последствия могут быть самыми разнообразными. При отсутствии надлежащей терапии воспалительный процесс будет продолжать развиваться, в результате чего со временем начнется нагноение. Самое страшное при этом заключается в том, что патология будет постепенно распространяться на соседние зубы, в результате чего создается высокая вероятность их потери.
Помимо этого у человека может развиваться следующее:
- незначительные или обильные кровотечения из десны;
- сухая лунка;
- диффузное воспалительное поражение легочных пузырьков;
- некроз костных и мягких тканей ротовой полости;
- расстройство чувствительности, сопровождающееся возникновением непроизвольного жжения;
- образование альвеолярного отростка;
- повреждение соседних зубов и слизистой оболочки полости рта;
- вывих височно-нижнечелюстного сустава;
- перфорация дна верхних гайморовых пазух;
- развитие кисты.
Каждое осложнение, которое возникает в результате того, что после удаления корня зуба остался осколок, проявляется совершенно по-разному, что существенно усложняет процесс диагностирования. Поэтому если у вас более 24 часов после стоматологической операции держится повышенная температура, а также не дает покоя нестерпимая боль, то нужно сразу обратиться в клинику, поскольку многие патологии являются очень серьезными и требуют скорейшего начала комплексной терапии.
Такая ситуация, когда после удаления пораженного патологическим процессом зуба в десне остается его осколок (чаще всего это осколок корня зуба) может возникнуть в силу многих причин. Очень часто пациенты приходят к стоматологу в очень запущенных и трудно поддающихся лечению случаях, тогда врач может упустить небольшой осколок исключительно из-за сложностей при удалении.
Доктору также может просто не хватать опыта проведения подобных вмешательств, при этом в сложных случаях шанс того, что в десне останется осколок увеличивается.
Однако есть специалисты, считающие, что ничего плохого в этом нет, и вполне сознательно оставляющие осколки. Пациентам такие стоматологи говорят, что осколок выйдет сам через определенное время. И он действительно может выйти сам.
После такого неполного удаления ранка полностью не затягивается, а осколок начинает продвигаться к выходу из лунки. Однако длится этот процесс достаточно долго, существует высокий риск присоединения осложнений, а сам пациент все это время испытывает дискомфорт от вялотекущего воспалительного процесса в ротовой полости.
Следовательно, все осколки при удалении зуба должны удаляться – это снижает шанс развития осложнений и ускоряет процесс восстановления после данного вмешательства. Но что же делать в том случае, если остался осколок после удаления зуба, ведь симптомы этой патологии будут чувствоваться достаточно отчетливо.
Болевые симптомы
Если после удаления зуба осталось чувство дискомфорта, то это первый звоночек к тому, что что-то не так. Имеется целый ряд симптомов, которые прямо говорят о том, что удаление зуба было выполнено некачественно. После неудачной операции зачастую имеет место воспалительный процесс, который развивается уже на следующее утро. Причем его эпицентр будет находится непосредственно в том месте, где был удален зуб.
Этот процесс может быть как умеренным, который будет протекать в течение длительного времени, так и стремительным, когда буквально за пару часов человек будет испытывать неимоверные страдания. В целом же симптомы наличия осколка после удаления зуба будут выглядеть следующим образом:
- слишком высокая температура;
- ноющая боль, которая имеет пульсирующий характер и стремительно распространяется в ротовой полости;
- признаки имеют нарастающий вид, каждая новая волна боли несет в себе большую боль;
- появляется вторичный флюс;
- в челюсти возникает чувство наличия инородного предмета;
- человек хочет постоянно спать, но не может этого сделать из-за болевых ощущений.
Важно! Если после удаления зуба остался осколок, то возникает сильная боль, высокая температура и отсутствие нормального сна.
Важно понимать, что даже если болевой синдром, непременно присутствующий при наличии осколков после удаления зуба, незначителен, игнорировать это обстоятельство ни в коем случае не следует.
Предлагаем ознакомиться: Мазать десны когда зубки лезут
Боль не пройдет самостоятельно, напротив, с течением времени она только усилится. Ее характер может быть либо острым, либо эпизодичным пульсирующим.
В любом случае купировать дискомфорт лекарственными препаратами вряд ли удастся. Как правило, облегчение бывает кратковременным, а затем боль возникает снова.
На ее фоне, спустя 2–3 суток начинается отечность мягких тканей щеки и челюсти в зоне поражения. Если ничего не предпринять, температура тела повышается до 37,5 – 38 градусов. Внутренне воспаление быстро прогрессирует и принимает гнойный характер.
Это сопровождается гнилостным, неприятным запахом из ротовой полости, а при незначительном надавливании на ранку гной выходит наружу.
При этом поражается лицевой нерв и шея, что и является причиной нарастающего болевого синдрома. Если он протекает не менее суток, это серьезный повод к обращению в клинику.
Наличие фрагментов удаленного органа внутри десны создает обманчивое впечатление, будто там начал расти молодой зуб.
Встречаются случаи, когда данное осложнение проходит практически бессимптомно, что вдвойне опасно. Скрытое течение воспалительного процесса на фоне отсутствия боли может спустя уже короткое время спровоцировать куда более серьезные патологические явления.
Болевые ощущения после удаления зуба при наличии мелких кусочков не проходят самостоятельно. Болевой синдром проявляется либо острым приступом, либо пульсацией. Возникает сильный отек челюсти и щеки, поднимается температура. Воспалительный процесс при неоказании помощи быстро переходит в гнойную форму.
Присутствие обломков в челюсти создает чувство, будто в месте удаленного зуба прорастает новый. В редких случаях процесс регенерации лунки с осколком происходит безболезненно. Вокруг этого участка появляется воспалительный процесс, который провоцируют гранулемы либо кисты. Он может проходить бессимптомно на протяжении нескольких лет до определенного момента и выявиться в форме флюса, флегмоны либо абсцесса.
Выявить даже незначительные обломки можно с помощью рентгена. Срочный визит к стоматологу поможет избежать остеомиелита челюсти.
Профилактические мероприятия
Если вы чувствуете боль в области лунки, то это вовсе не значит, что у вас после удаления зуба остался осколок. Она может держаться на протяжении нескольких дней после хирургического вмешательства, особенно в случае когда экстракция прошла проблематично. Для снятия синдрома рекомендуется полоскать ротовую полость отварами шалфея или ромашки.
В случае когда боль настолько сильная, что не дает вам заснуть, то перед тем, как отправиться на отдых, можно принять какие-либо анальгезирующие препараты, например, такие хорошо зарекомендовали себя средства, как «Найз», «Кетанов» и «Аскофен». Однако стоит учитывать, что они не рекомендуются к приему во время беременности, поскольку оказывают сильное токсическое воздействие на организм. Будущим мамам лучше подойдет «Аскофен» или «Дротаверин». Детям подойдет «Холисал», выпускаемый в форме геля, или свечи «Цефекон Д».
Порядок извлечения
По факту обращения к стоматологу, специалист проведет тщательный визуальный осмотр проблемной зоны, пальпирует лунку, а при необходимости отправит пациента на рентген.
При наличии полной клинической картины течения воспалительного процесса во внутренних тканях десны, врач предпримет следующие действия:
- проведет местное обезболивание рабочей площади, сделав перед этим тест на переносимость препарата;
- если фрагменты органа находятся в поверхностной части, аккуратно удалит осколки с помощью специального инструмента;
- если осколки расположены глубоко, потребуется оперативное вмешательство. При этом мягкие ткани десны надрезаются, и частицы костной части извлекаются наружу;
После того, как доктор убедится в том, что все фрагменты удалены, полость обрабатывается антисептическими средствами.
Если при этом травмирована костная часть основания челюсти, и ее конец заострен, специалист осторожно сточит острый край, сделав ее рельеф плавным, после чего этот участок самопроизвольно затянется мягкими тканями десны.
В видео представлена схема извлечения осколков, оставшихся после удаления зуба мудрости.
Почему стоит обращаться в клинику, а не заниматься самолечением?
В тех случаях, когда есть осколок после удаления зуба что делать для пациента будет главным вопросом. Так как не всегда попадаются врачи, которые вводят в вас в курс дела и рассказывают о тонкостях процедуры. Да и в тех случаях, когда все сделано правильным образом, все же лучше знать, как быть, куда обратиться, как вытащить осколок зуба из десны и кто это может сделать.
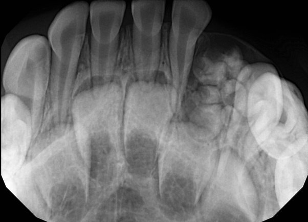
Если так случилось, что после извлечения корневой части, там осталась даже не значительная его часть, первым делом нужно сделать рентгеновский снимок.
На нем будет видно:
- размер;
- форма;
- и место проблемы.
Далее врач извлекает оставшиеся части с помощью инструментов, с последующей обработкой полости.
Ситуации, при которых произошла эта неприятность, могут длительное время существовать, не давая о себе никак знать, но это редко. Часто после того, как удалили зуб остался осколок бывает наоборот. Он все равно даст о себе знать рано или поздно.
Может появиться флюс, с полным развернутым воспалительным процессом. В связи с этим возникающий дискомфорт, это повод сделать рентген-исследование, чтобы исключить риск осложнений.
Удаление мелких обломков
При подозрении на присутствие осколков в десне имейте в виду, что обломков может быть несколько. Стоматолог после антисептической обработки назначит рентген патологического участка, чтобы определить количество кусочков, местоположение и глубину расположения. Фрагменты, расположенные на поверхности десны, удаляются хирургическим инструментом без осложнений.
Глубоко осевшие фрагменты нуждаются в оперативном вмешательстве под местным обезболиванием. Стоматолог удаляет их после надреза десны. При необходимости проводят повторный рентген, но обычно профессиональное удаление выполняется быстро и без осложнений. Особо сложные хирургические операции выполняют под общим наркозом.
Иногда под обломком зуба пациенты подразумевают ложное чувство торчащего кусочка. Такое ощущение появляется, если проводилось удаление крупных зубов, например, маляров, и была задета челюстная кость. Именно ее фрагмент ощущается как кусочек отломавшегося зуба. Чтобы острый фрагмент кости не приносил неприятных ощущений, его немного подтачивают. Со временем это патологическое место покрывается тканями десны.
Обычно кусочки зубов либо корней обнаруживаются перед установкой нового имплантата. Стоматолог обязан провести контрольный рентген перед его внедрением. Обнаруженные обломки извлекаются под местной анестезией. Протез можно устанавливать, если все части удалились полностью. В противном случае имплантат начнет давить на не удаленный фрагмент, провоцируя острый воспалительный процесс в тканях десны.
Предлагаем ознакомиться: Исправление прикуса у детей с какого возраста
Иногда обломки обнаруживаются непосредственно под имплантатом. В этом случае нет необходимости снимать протез. Обнаруженные фрагменты извлекаются посредством выполнения надрезов в десне с последующим наложением швов после удаления. Следует учитывать, что это травматическая процедура. Надрезанные участки заживают длительное время, потребуется антисептическая обработка медицинскими препаратами для улучшения регенерации.
Возможные осложнения
Если вовремя не удалить осколок, могут развиться серьезные осложнения, которые потребуют более длительного и дорогостоящего лечения:
- Боли в шее сопровождаются воспалением лимфоузлов, температурой, слабостью. При извлечении осколков и восстанавливающей медикаментозной терапией лимфатическая система самопроизвольно приходит в норму, и отечность спадает.
Несвоевременное удаление фрагментов зубов и корней влечет возникновение острого воспаления, распространяющегося не только на соседние зубы, но и на весь зубной ряд. При этом патологический процесс задевает надкостницу и челюстную кость. Такое состояние называется абсцессом. Проявляется оно сильной болью.
Если осколки удалены частично, возникает прикорневая киста, которая проявляется разрастанием окружающих корень тканей с появлением полостей, заполненных патологической жидкостью. Часто появляются свищи. Опасным осложнением является остеомиелит челюсти. Он сопровождается сильной отечностью, высокой температурой и острой болью. Заболевание лечится тяжело курсом антибиотиков и физиопроцедурами.
Послеоперационный период
Это важнейший промежуток времени на пути организма к полному восстановлению после процедуры извлечения осколков зуба из челюстной лунки.
От проведенных в этот период мероприятий зависит, насколько этот срок будет длительным и болезненным. Итак, после операции следует придерживаться следующих правил:
- если по факту извлечения осколков наблюдается выраженный отек, следует приложить к проблемному месту холодный компресс;
- несколько часов после операции ничего не кушать и не пить;
- первые сутки полость рта не полоскать;
- максимально ограничить физические нагрузки на организм, отказаться от занятий спортом на весь период восстановления, иначе присутствует риск самопроизвольного скачка артериального давления, что вызовет спонтанное кровотечение и вымоет кровяной сгусток раньше положенного времени;
- не оказывать механического давления на пораженную область – языком, пальцем, зубной щеткой – это может дополнительно травмировать и без того поврежденные ткани и инфицировать внутреннюю часть десны в месте проведения операции;
- не допускать воздействия высоких температур, отказаться от посещения саун, бань и бассейнов;
- при наличии интенсивного болевого синдрома, который может иметь место первые сутки, принять обезболивающий препарат;
- через 1,5–2 суток можно приступать к полосканиям ротовой полости обеззараживающими составами, лекарственными травами, снимающими воспаление и отек;
- тщательно следить за рационом питания, употреблять продукты мягкой и пюреобразной консистенции. Это снизит риск механической травмы десны в проблемном месте;
- не курить и не употреблять алкоголь до полного заживления ранки.
Что делать?
Обращаться к врачу! Это единственный способ избавиться от осколка и не нанести вред своему здоровью. Пациентов часто мучает интенсивная боль. До посещения к специалисту её можно уменьшить в домашних условиях.
Существует несколько методов:
Проводятся специализированными препаратами или самостоятельно приготовленными растворами. Обрабатывать ротовую полость таким образом нужно крайне осторожно! Движение жидкости не должно повлиять на местоположение осколка. Временной интервал – не менее 1 минуты.
Что можно использовать:
- Мирамистин;
- 0,05% раствор Хлоргексидина;
- травяные настои (ромашка, шалфей, кора дуба);
Обезболивающие препараты
Возможно применение разных групп лекарственных средств. Очень важно внимательно изучить инструкцию и ни в коем случае не превышать максимальную дозу.
Читать также: Пульпит что это такое
Рекомендовано для снятия данного вида боли:
- таблетированные препараты на основе ибупрофена (к примеру, Нурафен);
- Кетанов или Кетарол (в настоящее время отпускается только по рецепту врача);
- инъекция Мовалиса или Дексалгина (обладает противовоспалительным, купирующим и жаропонижающим эффектом);
Противоаллергические таблетки или инъекции
Применяются для уменьшения отёка десны. Например, Тавегил или Супрастин.
Как не допустить проблемы
Застрявшая в десне часть зуба – это практически всегда некорректные или недобросовестные действия доктора во время удаления органа.
Именно стоматолог, от начального этапа до окончания процедуры, контролирует ход действий. От него зависит результат операции.
Крайне важно доверять себя и свое здоровье проверенному, квалифицированному специалисту, отдавая предпочтение при выборе клиники не сомнительному, бюджетному учреждению, а клинике, которая дорожит своей репутацией и тщательно подбирает персонал, в ней работающий.
Предлагаем ознакомиться: Ухо стреляет и болит при глотании
Чтобы свести риск при удалении сложного зуба к минимуму, врач должен действовать по следующей схеме:
- перед удалением изучить состояние корневой системы и ее целостность на рентгеновском снимке;
- после процедуры ампутации важно восстановить наличие всех фрагментов удаленного органа, выложив их на салфетке. Так можно понять, все ли части зуба или корня извлечены;
- после остановки кровотечения визуально осмотреть ранку – в большинстве случаев остаточные элементы находятся неглубоко, и их можно определить визуально;
- после удаления сложного зуба назначить пациенту дополнительное рентгеновское исследование. Так можно убедиться в качестве всех проведенных действий и понять, что внутри лунки осколков больше нет.
Почему нужно идти к врачу
И действительно, во врачебной практике известны даже случаи, когда обломок оставался и обнаруживался даже не при протезировании, а после того, как меняли коронку. Зубной врач иногда абсолютно серьезно говорит пациенту, что осколок сам выйдет через время, и он и вправду выходит, и лунка не воспаляется.
Обычно стоматолог при удалении зуба:
- производит сбор фрагментов от зуба на салфетку, чтобы удостовериться в правильности проведенной им процедуры;
- в случае неуверенности пациенту показано прохождение рентгеновского снимка.
Случаи остатка осколков в деснах не так уж и редки. Нахождение осколков в десне, как правило, относят к осложнениям местного характера.
Удаление зубов мудрости лучше доверить опытному профессионалу в области стоматологии. Но даже самый хороший специалист не может дать стопроцентной гарантии успешного проведения операции по удалению зуба мудрости.
Итог медицинского вмешательства находится в прямой зависимости от физиологических и анатомических особенностей пациента Как избавиться от мелких и крупных кусочков после удаления зубаПациенту не всегда понятно появление неприятных болезненных ощущений после удаления зуба.
Наличие осколка вызывает чувство того, что на месте вырванного зуба растет новый. Это доставляет массу неудобств, но принимать какие либо меры самостоятельно строго не рекомендуется.
Множество людей придерживаются мнения, что в этом случае как нельзя лучше действует полоскание ротовой полости настойкой календулы или же шалфея. Но это глубокое заблуждение.
Помимо этого стоит учесть, что предполагаемый осколок может быть не один. Только после прохождения профессиональной диагностики у врача возможно удаление всех остаточных фрагментов и обрабатывание десны посредством антисептических средств.
Стоматолог внимательно осмотрит образовавшуюся ранку и примет соответствующие меры.
Стоматологи уверены, что ходить годами с остатками корня, которые постепенно начинают гнить, нельзя. От них необходимо избавляться в обязательном порядке, и чем быстрее, тем лучше. Причина проста: остатки разлагающихся корней – это сосредоточение инфекции, и чем её больше, тем хуже ситуация для всей полости.
Независимо от профессионализма хирургического стоматолога может остаться после извлечения корневой части любого зуба осколок в десне. Сама процедура состоит из меры, помогающей определить, как удалили внутреннюю часть.
Ее проведение обязательно, только так можно быть уверенным в том, что удалось вытащить всю внутреннюю часть.
Исключающая мера или подтверждение того, что остался осколок после удаления
- Врач берет салфетку или стерильный лоток и выкладывает туда извлеченные части.
- Если жевательный элемент был раздроблен во время процедуры или распиливался для извлечения, это помогает установить остался кусок зуба после удаления или нет в десне.
- Собрав части извлеченного элемента, становится видна его форма. Неправильно расположенные корни, являющиеся показанием для операции по их извлечению
Появление недостающих частей для восстановления формы корня, является положительным тестом, а, значит, в десне остался осколок зуба.
Это обычная мера, входящая в план операции, ее проводит каждый врач.
Когда это происходит
- если при удалении зуба остался осколок, скорее всего, была сложная процедура;
- или оставался сильно разрушенный жевательный элемент;
- неправильное приложение силы на инструмент (грубое действие).
Такие случаи если после удаления зуба остался осколок имеют место. А если собранные части не имеют повреждений поверхности, значит, осколок зуба не откалывался, и все прошло нормально.
С точки зрения врача-стоматолога ситуация, когда пациент годами ходит с разрушенным до основания гнилым зубом, выглядит следующим образом: данному человеку себя не жалко. Дело в том, что в таких случаях корни зубов нужно удалять в срочном порядке (см. пример на нижеприведенном фото).
Послеоперационный период
У пациентов появляется не только боль, как основной симптом, а локальная реакция в виде отечности, покраснения десны.
- в виде увеличения показателя температуры тела, слабости;
- головной боли с той стороны, не только из-за того что вырвали зуб остался осколок, а еще и осталась рана.
Если остался осколок после удаления зуба фото ниже показывает, как увеличивается в объеме часть щеки. Отек может разливаться по лицу, переходить под глаз и в подчелюстную область. В процессе затрагиваются лимфоузлы, увеличиваясь, они вызывают болезненные ощущения во время пальпации.
Отек щеки после сложного извлечения восьмерки
Обычно после процедуры удаления зуба ещё какое-то время ощущаются болевые ощущения. Боль можно снять ванночками, приготовленными на основе лекарственных трав, к примеру шалфея либо ромашки. Также можно просто принять болеутоляющие средства. Если же болезненные ощущения продолжаются более суток, следует обратиться к стоматологу, чтобы тот выяснил причины. Скорее всего, боль вызывает осколок, который до сих пор находится в десне.
Если вы сами заметили наличие осколка зуба в десне, не следует его вытаскивать самостоятельно, нужно обратиться к стоматологу. Если осколок засел глубоко, то стоматолог сделает на десне надрез, после чего удалит его. В данном случае будет применена анестезия. Если осколки находятся на поверхности десны, они убираются специальными инструментами без повреждения целостности десны.
Может случиться так, что в десне останется не один, а несколько осколков. Специалист должен будет назначить специальную диагностическую процедуру, затем удалить все осколки, обработать поверхность дёсен, чтобы внутрь не попала инфекция и не возникло осложнений.
Расколотые остатки зубов — серьезное осложнение, сопровождающееся множеством патологических симптомов. Поэтому гигиена рта и выполнение предписаний стоматолога являются обязательными. Для устранения патогенной инфекции назначаются антибиотики широкого спектра действия. Санация рта выполняется стоматологическими антимикробными средствами. В первые три дня вместо полосканий используют ванночки: препарат держат во рту некоторое время.
Небольшие ноющие болевые ощущения, незначительная отечность и температура в пределах 37° — нормальное состояние после удаления осколков. Если неприятные ощущения постепенно нарастают и сопровождаются явным патологическим процессом, необходима неотложная помощь. Если к стоматологу в первый день после появления неприятных ощущений попасть невозможно, проводят ряд неотложных профилактических мероприятий:
- несколько раз в течение дня обрабатывать рот антисептическим препаратом, удерживая во рту 3-5 минут;
- принять любой жаропонижающий препарат либо противовоспалительное лекарственное средство.
Нельзя прикладывать горячие компрессы и интенсивно полоскать патологическую зону. На следующий день обязательно экстренно посещают стоматолога для выявления причин патологии и устранения последствий.
Какие факторы усложняют процесс обнаружения остаточных костных фрагментов?
Многие люди пребывают в полнейшем недоумении, почему у них после удаления зуба остался осколок в десне. Ведь, казалось бы, что может быть сложного в том, чтобы обнаружить обломки? Однако на деле не все так просто. Ротовая полость предоставляет стоматологу ограниченный обзор, поэтому осуществлять ее лечение представляет собой весьма сложную задачу. Помимо этого присутствуют определенные факторы, которые еще больше усложняет осмотр пациентов после хирургической операции.
Основными среди них являются следующие:
- Сильное кровотечение, возникающее в результате разрыва десны.
- Болевые ощущения, как правило, распространяются не только по всему рту, но также могут отдавать в голову.
- Отечность мягких тканей, из-за которой обломки могут быть закрыты ими.
- Покраснение места удаления.
- Временное нарушение подвижности челюсти и затрудненное глотание.
Для устранения кровотечения врач закрывает альвеолу ватным тампоном со специальным лекарственным препаратом. По правилам он обязан достать его после того, как кровь перестанет течь, и выполнить полный осмотр зубной лунки. Но как показывает практика, они этого не делают, а просто отпускают пациента домой. Именно в результате всех этих факторов многие люди обнаруживают, что после удаления зуба остался осколок в десне.
Цена
Во многих лечебных учреждениях процедура по удалению фрагментов зуба, случайно оставшихся внутри зубного ложа, проводится бесплатно, поскольку основная причина такого явления – врачебная ошибка.
Иногда пациенту все же приходится самостоятельно оплачивать недоработки специалиста из своего кармана.
Сумма за проведенную манипуляцию определяется сложностью клинической ситуации, тем, насколько глубоко находятся фрагменты, каково их количество. Не последнюю роль играет и степень запущенности – насколько воспалительный процесс успел поразить соседние ткани и органы.
https://www.youtube.com/watch?v=7kBo6ECde4c
В среднем, цена на оказание услуги извлечения осколка зуба варьирует от 250 рублей до 2 500 (если проводятся хирургические манипуляции и применяется наркоз).
