Пародонтальный абсцесс — воспалительный процесс в десне, на фоне которого формируется образование с размерами от небольшой горошины до грецкого ореха, а внутри очага гнойная жидкость. Мужчины и женщины страдают от патологии в равной степени.
Онлайн консультация по заболеванию «Пародонтальный абсцесс». Задайте бесплатно вопрос специалистам: Стоматолог.
- Этиология
- Классификация
- Симптоматика
- Диагностика
- Лечение
- Профилактика и прогноз
Главными причинами возникновения абсцесса служат обострение воспалительно-деструктивного процесса в пародонте, наличие глубоких десневых карманов и твердых отложений, скапливающихся под десной.
Симптомы заболевания выделяют специфичные (патологическая подвижность зубных единиц) и общие (повышение температуры тела и ухудшение общего состояния).
Диагностика основывается на лабораторно-инструментальных обследованиях, которые в обязательном порядке дополняются манипуляциями, выполняемыми непосредственно стоматологом, в частности физикальным осмотром ротовой полости.
Лечить абсцесс десны принято только хирургическими методиками, которые направлены на предупреждение развития непоправимых осложнений и достижение стойкой ремиссии.
В международном классификаторе заболеваний десятого пересмотра абсцесс не обладает отдельным шифром, а относится к категории «Другие повреждения пародонта». Из этого следует, что код по МКБ-10 будет К05.2.
Пародонтальный абсцесс – причины образования гнойного очага в десне и способы его устранения
Под пародонтальным абсцессом понимают воспаление в десне, формирование которого обусловлено скоплением гнойного экссудата в толще мягких тканей и его постепенным выходом наружу в виде болезненной гнойной шишки. Патология не проходит сама собой и требует срочного стоматологического лечения. Если слишком долго оттягивать поход к специалисту, воспалительные процессы доберутся до костной ткани, что приведет к развитию еще более серьезных и опасных осложнений. Подробнее об истории болезни и методах ее лечения читайте далее в статье.
Что это за диагноз?
Пародонтальный или периодонтальный абсцесс – это гнойное новообразование, которое возникает на фоне развития деструктивных процессов в тканях десны.
Согласно международной классификации 10-го пересмотра (МКБ-10) болезнь проходит под кодом К05.2, который включен в группу «Острый пародонтит».
Заболевание различается по форме, степени тяжести и месту локализации.
Так оно выглядит на фото:
Чтобы определить развитие абсцесса в ротовой полости нужно знать его симптомы, иметь представление, что спровоцировало проблему и как это лечится.
Эффективность лечения напрямую зависит от стадии развития гнойного воспаления. Чем раньше вы отреагируете на его появление, тем легче и быстрее избавитесь от проблемы.
В чем суть патологии
В ходе развития патологии формируется полость в толще пародонтальной ткани, внутри которой начинает скапливаться гнойный экссудат. Очаг воспаления обычно локализуется в непосредственной близости от причинного зуба. По сути, это небольшое образование внутри десневых тканей, которое постепенно проступает в виде шишки на поверхности слизистой, нередко со свищем. Пациент сталкивается с явным дискомфортом и острой болью.
Пародонтальный абсцесс, как он проявляется?
Обычно предпосылкой проблемы становятся объемные пародонтальные карманы и твердые поддесневые отложения. Чаще всего диагностируют острую форму заболевания, в то время как хроническим пародонтальным абсцессом страдают всего 30% обратившихся за помощью пациентов1. Подобная неприятность может появляться как у взрослых, так и у детей, от нее не застрахованы в равной степени ни мужчины, ни женщины. Однако стоит заметить, что пиковая заболеваемость отмечается в осенне-весенний период, когда у большинства людей ослаблен иммунитет.
Полезные советы
Вот еще несколько способов того, как лечить нарыв на десне.
- Возьмем по две столовых ложки шалфея и обычного зеленого чая (только без добавок). Ингредиенты заварим в литре кипятка. Две чайные ложки пищевой соли вводим туда же. После остывания лекарственного средства, процеживаем его и применяем для полоскания. Шалфей заваривать, как чай и полоскать рот настоем как можно чаще.
- В аптечном пункте можно приобрести готовое дезинфицирующее средство, под названием «Хлорофиллипт». Для приготовления раствора необходимо всего лишь растворить ложку средства в стакане кипяченой воды.
- Когда нужно срочно обезболить пораженный участок, нам поможет свежий сок из репчатого лука. Смачиваем в нем небольшой тампон и прикладываем к больному месту.
- Обычная поваренная соль поможет вытянуть гной наружу. Необходимо всего лишь растворить чайную ложку кристалликов в стакане воды. Раствор необходимо набирать в рот и держать с той стороны, где возник нарыв. После сплюнуть и повторить с новой порцией средства. Такие манипуляции хорошо вытягивают гной из глубоких слоев мягких тканей.
- После того, как очаг воспаления прорвал, можно прополоскать рот раствором с добавлением марганца (перманганат калия).
Причины формирования абсцесса
Сперва стоит разобраться с тем, из-за чего можно столкнуться с подобной проблемой. По сути, это гнойный нарыв, основной причиной которого является проникновение инфекции в десневые карманы с последующим развитием воспаления. Рассмотрим самые частые провоцирующие факторы чуть подробнее.
Инфекционное заражение
Предпосылкой к развитию пародонтального абсцесса может стать заболевание полости рта или неудовлетворительный уход за зубами. Обильные скопления налета и отложений приводят к кариозным процессам, а те, в свою очередь, вызывают стремительное развитие воспаления. Если патология распространится на зубодесневой карман, тут же повысится риск развития пародонтального абсцесса.
На фото показан зубной камень
«Я бы на вашем месте точно не откладывала поход к стоматологу. У меня была очень неприятная история по этому поводу. Тоже долго оттягивала лечение кариеса, да и боль меня особо не беспокоила. А потом в одно прекрасное утро как раздуло десну и щеку, так я чуть в обморок не упала. Тут уж и острая боль появилась. Оказалось, абсцесс! Пришлось рассекать десну и удалять гной. Увы, но зуб спасти не удалось. Поэтому учитесь на чужих ошибках».
Вика В., г. Уфа, из переписки на форуме www.32top.ru
Врачебные ошибки
Зачастую причиной проблемы становится некачественное стоматологическое лечение. Такое происходит, когда врач травмирует десну во время проведения процедуры. Болезнетворные микроорганизмы начинают активно размножиться в ранке, что приводит к развитию инфекционного процесса. Если ко всему прочему у пациента ослабленный иммунитет, патологический процесс будет развиваться вдвое быстрее, что в результате приведет к образованию гнойных масс в толще мягких тканей.
Чужеродное тело в слизистой полости рта
Еще одной частой предпосылкой абсцесса является проникновение инородного тела в слизистую или борозду десны. Это может быть щетинка от зубной щетки, остатки продуктов питания, рыбная косточка, осколок стекла или зуба. Важно понимать, что только своевременное обращение за врачебной помощью позволит решить проблему быстро и без последствий. В противном случае за короткий период времени небольшая шишка на десне трансформируется в полноценный волдырь, что самым негативным образом отразиться на состоянии соседних зубов, а также может привести к деформации овала лица.
Симптомы
Выявить и диагностировать подобную проблему достаточно легко, ведь она проявляется видимыми признаками:
- на первых стадиях легкое нажатие в пораженной области вызывает сильную боль, которая через некоторое время усиливается и причиняет страдания даже при жевании;
- любые перепады температур, прием горячей или холодной пищи также заканчиваются дискомфортными ощущениями;
- со временем на этом участке появляется припухлость, сначала небольшого размера, которая постепенно увеличивается;
- от прикосновения и надавливания могут начать расшатываться здоровые единицы;
- из появившихся щелей между пораженной десной и зубом выделяется гной;
- также человек испытывает общие признаки интоксикации организма – головные боли, повышенная температура, слабость, тошнота, потеря аппетита, бессонница.
Нужно понимать, что если десна или зуб болит сутки и неприятные ощущения только нарастают, то следует незамедлительно обратиться к врачу. В редких случаях гнойные скопления сами по себе выходят и состояние больного приходит в норму. Но даже при этом нужно обратиться за квалифицированной помощью, так как оставшаяся инфекция вскоре спровоцирует повторное заражение.
Особо опасны подобные симптомы во время беременности или у детей, когда медлить с врачебным вмешательством нельзя. Ведь у таких групп пациентов даже легкое инфицирование быстро распространяется по организму и приводит к серьезным последствиям в самые короткие сроки.
Как классифицируют заболевание
В настоящее время в стоматологии выделяют две основные формы пародонтального абсцесса – острую и хроническую. Рассмотрим каждый из видов чуть подробнее.
Острый абсцесс
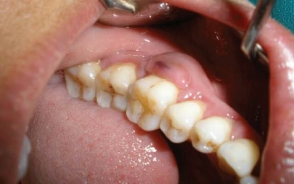
Данная форма характеризуется выраженной симптоматикой. К основным признакам патологического процесса эксперты относят резкие приступы острой боли, подвижность соседних зубов, формирование глубоких десневых карманов с гнойным содержимым, симптомы общей интоксикации организма. Буквально за несколько дней патология достигает пика своего развития, и пациент испытывает резкое ухудшение самочувствия.
На фото показан острый абсцесс
Хроническое течение патологии
Клинические проявления данного типа абсцесса не столь ярко выражены, как при остром течении патологии. Пациенты отмечают периодическую кровоточивость десен, умеренные болезненные ощущения, оголение корней зубов. Без должного лечения данная форма в любой момент может приобрести острый характер течения.
Кровоточивость может быть сопутствующим симптомом
Народное лечение: эффективные рецепты
Пародонтальный абсцесс (лечение медикаментозное является не единственным методом терапии), можно устранить при помощи нетрадиционных способов. Например, следует воспользоваться отварами трав или компрессами на их основе. Естественно, лучше прибегнуть к этому методу уже после того, как нарыв был вскрыт и вычищен стоматологом. Полезными будут такие рецепты:
- Припарка семян льна. Ее следует прикладывать к внешней стороне щеки в том случае, если нарыв стал очень большим. Использовать такой компресс необходимо до того времени, пока абсцесс не созреет.
- Цветки и листья донника. Это средство помогает устранить несозревшие абсцессы. При этом донник применяется в качестве компресса. Предварительно сырье нужно обработать кипятком.
- Листья алоэ. Представленное растение способно убивать вредоносные бактерии и устранять воспалительный процесс. Из него делаются примочки и прикладываются к пораженному месту.
- Кашица из листьев подорожника, а также конского щавеля. Обе травы необходимо измельчить и протереть. Далее кашица заворачивается в марлю и прикладывается к нарыву.
Эти народные рецепты помогут быстро и эффективно устранить нарыв на любой стадии развития. Однако предварительно стоит проконсультироваться с врачом.
Симптоматика пародонтального абсцесса
Патологический процесс чаще всего характеризуется достаточно яркими проявлениями симптомов. Среди характерных признаков проблемы эксперты в области стоматологии выделяют следующие моменты:
- механическое раздражение пораженной области провоцирует сильный болевой синдром, который, тем не менее, имеет краткосрочный характер. В результате пациент не может спокойно пережевывать пищу, испытывает постоянный дискомфорт, в том числе и во время разговора,
Возникает боль по время приема пищи
- появляются острые реакции на температурные контрасты в еде и напитках,
- через некоторое время десна в области поражения отекает, появляется гнойная шишка, которая постепенно увеличиваете в размерах,
- на более запущенной стадии отмечается подвижность соседних зубов,
- возможно появление щели между зубом и пораженной областью слизистой, откуда выделяется гнойный экссудат,
- симптомы интоксикации сводятся к повышению температуры, сильной головной боли, упадку сил, развитию тошноты, диареи, потери аппетита.
Важно! Особенно опасно данное заболевание для детей и женщин во время беременности – медлить с лечением нельзя ни в коем случае. У представителей данной категории пациентов даже незначительное инфицирование способно перерасти в серьезную проблему в самые сжатые сроки.
Если вы испытываете очевидный дискомфорт или даже выраженную боль в десне, обязательно покажитесь стоматологу – сделать это нужно как можно раньше. В противном случае осложнений не избежать.
Какие осложнения могут возникнуть?
Запущенный периодонтальный абсцесс, самолечение или игнорирование проблемы может закончиться тяжелыми последствиями.
Таблица наиболее распространенных осложнений:
| Название | Основные симптомы | Прогноз врача |
| Свищевой ход | Отек, гиперемия, образование белого или красного пятна с четкими границами, выделение гноя | Удаление зуба в 50% |
| Утрата зуба | Расшатывание коронки 2-3 степени, обнажение корня на 1/3 | Протезирование |
| Абсцесс головного мозга | Устойчиво-высокая температура, сильная цефалгия, заложенность носа, спутанность сознания, раскоординация | Кома, инвалидизация, летальный исход |
| Синусит | Заложенность и гноетечение из носа, боли в области лица | Удаление зуба |
| Ангина Людвига | Инфицирование дыхательных путей, удушье, синюшность лица | При отсутствии лечения возможен летальный исход |
Особенности диагностики
Такое явление, как абсцесс на десне, обычно легко диагностируется по первичным признакам – отечность мягких тканей, острая болезненность, гнойная шишка на десне. Однако для получения максимально подробной и точной клинической картины, а также оценки степени распространения инфекции могут потребоваться дополнительные диагностические мероприятия:
- рентгенологическое обследование,
- анализ крови и ПЦР,
- цитологическое обследование.
Травяной сбор
Не секрет, что многие растения обладают целебными свойствами. Поэтому существует множество рецептов приготовления отваров. Они непременно помогут или хотя бы облегчат ситуацию, если у человека появился нарыв на десне. Лечение народными средствами иногда дает поразительный эффект.
Для приготовления отвара нам понадобится кора дуба, шалфей и зверобой. Эти растения славятся своими противовоспалительными свойствами. Кора дуба способна останавливать кровотечение, благодаря вяжущим веществам. Зверобой и шалфей имеют ярко выраженное регенерирующее действие.
Сначала нам необходимо приготовить смесь из вышеперечисленных растений. Для этого соедините их в равных пропорциях. Для приготовления отвара нам достаточно лишь столовой ложки готовой смеси. Зальем ее двумя стаканами кипятка. После того, как отвар настоится и остынет, его необходимо процедить. Этого лекарства хватит на пять процедур полосканий. Затем можно приготовить свежий отвар.
Вот еще один совет, позволяющий узнать, как лечить нарыв на десне самостоятельно. Сделаем это при помощи травяного сбора. В него войдет дудник лесной, мята перечная, березовые почки и барвинок. Смешайте по 6 ложек каждого растения и залейте литром водки. Через сутки средство будет готово для применения. Полощите настойкой ротовую полость через каждые несколько часов. В течение пару дней нарыв должен прорвать и отек уменьшиться.
Как сегодня лечат патологию
Пародонтальный абсцесс требует незамедлительного лечения. При обнаружении у себя характерных симптомов следует как можно скорее попасть на прием к стоматологу. Но для начала давайте выясним, как облегчить свое состояние до момента визита к врачу, и уже потом перейдем к рассмотрению методов лечения.
Как облегчить состояние до визита к стоматологу
Любые самостоятельные попытки вмешаться в гнойный процесс должны быть в обязательном порядке согласованы с врачом. В первую очередь нужно постараться как можно скорее попасть к специалисту. Но до этого момента можно предпринять некоторые меры для купирования острых симптомов, например, тщательно прополоскать полость рта антисептиком – «Фурицилином», «Хлоргексидином», аптечной ромашкой, шалфеем, зверобоем. Для снятия болезненности можно принять таблетку болеутоляющего, приложить кусочек льда или холодный компресс к щеке со стороны причинной области.
Отвар ромашки отлично подходит для полоскания
Ни в коем случае нельзя нагревать щеку и десну, прикладывать к ней теплый компресс. Также категорически запрещается пробовать самостоятельно выдавить нарыв или проколоть его. Прием любых медикаментов и особенно антибиотиков допускается только по назначению врача.
Вскрытие абсцесса и удаление гноя
Для устранения гнойного очага придется провести вскрытие новообразования и обеспечить отток экссудата. Это незначительное хирургическое вмешательство – процедура проводится под местной анестезией. Врач делает аккуратный небольшой надрез на слизистой в области поражения, очищает полость от гнойных скоплений, устанавливает дренаж при необходимости. После этого очищенные ткани обрабатывают антисептиками, назначают противовоспалительные средства и антибиотики.
Так выглядит дренаж в стоматологии
Рекомендации после операции
Уже после оперативного вмешательства наступает процесс реабилитации, и к нему также нужно подойти серьезно, чтобы избежать рецидива болезни. В домашних условиях можно облегчить и ускорить этот этап, и эксперты рекомендуют соблюдать следующие правила:
- в первое время после лечения лучше отказаться от слишком твердых продуктов питания,
- стоит воздержаться от спиртных напитков и сигарет,
- принимать нужно только те препараты, которые назначил специалист,
- как только боль ослабнет и станет терпимой, нужно прекратить принимать обезболивающие,
- если почувствовали ухудшение самочувствия, следует сразу ехать к врачу.
Реабилитационный период
Для стабилизации восстановительного процесса и регенерации тканей в послеоперационный период врачи назначают следующие препараты и процедуры:
- прием таблетированных или в виде инъекций антибиотиков (амоксиклав, сумамед, линкомицин, амоксициллин);
- наружные аппликации или втирания (метрогилдента, асепта, холисал);
- полоскания антисептическими препаратами;
- витаминотерапия (группы В, комплекс С, А, Е, РР), микроэлементы — магний, кальций, селен, железо;
- физиотерапия — ультра- и электрофорез, ультразвуковое и лазерное излучение, магнитотерапия;
- применение народных средств — лекарственные травы для приготовления рецептов для втираний и ротовых ванночек (алоэ, хлорофилл, кора дуба и т. д.);
- гомеопатическая терапия — в качестве противовоспалительной терапии применяют аконит, апис, меркуриус, нукс вомика.
READ Все что нужно знать о пародонтозе: признаки, причины и методы лечения
Несмотря на эффективность народных методов и гомеопатии все средства должны быть одобрены врачом.
Дополнительные рекомендации:
- воздержание от переедания, курения, алкоголя;
- не злоупотреблять седативными или успокоительными препаратами;
- сильнодействующие анальгетики принимать в крайнем случае;
- исключить из рациона твердое, кислое, острое, сладкое;
- с аккуратностью проводить полоскания и чистку зубов.
При первых признаках дискомфорта или ухудшения состояния (сильная боль, отек, температура) незамедлительно показаться лечащему врачу.
Правила профилактики
Во избежание столь неприятного патологического явления следует организовать грамотный уход за полостью рта. Эксперты в области стоматологии и пародонтологии приводят следующие рекомендации на этот счет:
- чистить зубы дважды в день, соблюдать правильную технику чистки, использовать подходящие средства и щетку с оптимальной жесткостью щетины,
- ополаскивать полость рта после каждого перекуса и полноценного приема пищи,
- своевременно лечить кариозные полости и любые другие патологические процессы во рту,
- дважды в год посещать кабинет стоматолога с целью прохождения профилактических осмотров,
- беречь зубы и слизистую от механических повреждений.
- По данным ВОЗ.
Рекомендации специалистов
Конечно, стоматологи не советуют самостоятельно пытаться нейтрализовать нарыв на десне. Рекомендации по лечению заключаются в том, что необходимо обязательно определить причину возникновения абсцесса. Если он появился из-за некачественной пломбировки каналов, то, соответственно их придется вскрыть. Иногда очаг удаляют через надрез в десне.
В случаях, когда причиной новообразования выступают болезни пародонта, необходимо срочно приступить к их лечению. Иногда не удается сохранить зуб и его приходится удалять. В любом случае современные технологии позволяют провести качественное лечение. Поход в больницу снизит риск возникновения осложнений.
