Появление белой язвочки во рту
– весьма распространенный случай, и, даже если это нельзя назвать столь критичным заболеванием, требующим немедленной помощи врача, данный недуг доставляет массу дискомфорта и хочется с ним покончить максимально быстро. Как же себя вести, в случае, если во рту появилась белая язвочка? Можно ли ограничиться лишь применением народных средств или следует максимально скоро обратиться к врачу? Чтобы не ошибиться с постановкой диагноза и точно установить причину заболевания следует сдать ряд анализов, самостоятельно производить лечение не рекомендуется.
Почему появляются белые пятна на слизистой во рту
Фибринозный налет
Если появилось белое пятно на десне после удаления зуба, то причиной может быть фибринозный налет. Но это почти единичный случай, когда такой симптом свидетельствует не о заболевании, а о заживлении послеоперационной раны.
Фибринозный налет представлен в виде отмерших клеток эпителия, который прикрывает новый нарастающий слой. Лечение не требуется, во время заживления он сам исчезает без последствий.
Комплекс провоцирующих факторов
На самом деле, болезней, которые могут спровоцировать образование белых пятен и пятнышек на деснах, языке или небе, существует довольно много, и даже опытный специалист не всегда может быстро определить, в чем кроется причина их появления.
Однако, чаще всего в основе подобной симптоматики лежат следующие заболевания:
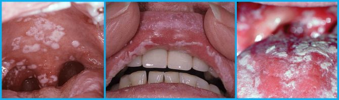
- Кандидозный стоматит или молочница ротовой полости — одно из основных заболеваний, при котором во рту появляются белые пятна и налет. Его появление чаще всего бывает связано с ослаблением иммунитета, благодаря чему его возбудитель — грибок Candida — начинает активно размножаться в полости рта. Белые пятна в этом случае напоминают творожистый налет, обильно покрывающий слизистую. При попытках его устранить обнажаются многочисленные очаги воспаления, а в последствии и эрозии.
- Афтозный стоматит. Может быть вызван вирусными или бактериальными инфекциями, аллергическими реакциями, болезнями ЖКТ или даже гормональным дисбалансом в организме. Сопровождается появлением во рту круглых белых бляшек с красными ободками, которые без надлежащего лечения могут превратиться в серьезные язвы.
- Герпес. Этот вирус может в течение длительного времени находиться в организме человека, активизируясь при благоприятных обстоятельствах, то есть во время снижения иммунитета. При этом слизистые оболочки поражаются многочисленными пузырьками, которые, лопаясь, соединяются в одну глубокую язву, плохо заживающая и слабо поддающуюся лечению.
- Лейкоплакия. Заболевание такого рода предполагает появление ороговевших участков на слизистой оболочке десен в виде твердых белых или серых бляшек. Подобная патология может быть связана с механическими или термическими повреждениями тканей (неправильно поставленная пломба, чрезмерно горячая пища и т. д.) или табакокурением.
- Инфекционные заболевания, в частности, дифтерия, ветрянка, сифилис или туберкулез ротовой полости.
- Болезни внутренних органов, в первую очередь, печени, почек, кишечника, желчного пузыря и легких.
- Рак полости рта. Это заболевание встречается довольно редко и относится к числу смертельно опасных. На ранней стадии оно имеет вид небольшой язвы, не приносящей практически никакого дискомфорта. Однако по мере ее увеличения в размерах человек начинает испытывать серьезные трудности во время жевания и глотания пищи.
Еще одной причиной появления белых точек и пятен во рту может быть дефицит витаминов и микроэлементов в организме, а также травмы слизистой ротовой полости, например, во время неосторожной чистки зубов, стоматологических процедур или вследствие ожогов.
Кроме того, белые точки и налет во рту довольно часто появляются у новорожденного ребенка, что может свидетельствовать о развитии у них молочницы. Ею малыши могут заразиться от матери, больной кандидозом, во время прохождения через родовые пути, а также недоношенные младенцы и дети с ослабленным иммунитетом, например, на фоне прорезывания зубов.
Основные типы пятен и их причины
Географический язык. Обесцвеченные поверхности различных размеров, неопределенной формы, располагающиеся в основном на спинке языка. Это десквамативный глоссит, очень редко встречающийся, возникающий в результате сшелушивания поверхностного слоя эпителия с расположенными сосочками. Данные места характеризуются потерей вкусовой чувствительности.
Происхождение до сих пор не установлено, но зачастую факторами предрасположенности являются гормональные колебания, болезни желудочно-кишечного тракта, кровеносной системы, а также химические повреждения поверхности.
Возможно самопроизвольное избавление от подобного глоссита, но чувствительность не восстанавливается никогда.
Красные пятна на языке у взрослых. Достаточно широко распространены. Являются проявлением серьезных тяжелых заболеваний.
- Красные пятна в сочетании с практически полным отсутствием слюны свидетельствуют о заболеваниях головного мозга.
- Красные вздутые пузырьки, наполненные жидкостью, распределенные по бокам и кончику языка. Пузырьки сильно чешутся, в дальнейшем могут распространяться по губам, лицу, груди. Причиной является вирус герпеса.
- Красные пятна, окруженные серо-желтыми пузырьками. Далее основное пятно преобразуется в пузырь, лопающийся вместе с остальными. На этих местах образуются болезненные язвы (подробнее про причины появления язв смотрите по ссылке). Это эритема, требующая длительного лечения. Причины ее до конца не установлены, но основополагающими считают инфекционное поражение либо повышенную реактивность организма в отношении лекарственных препаратов.
- Небольшие многочисленные красные точки, расположенные чаще в области спинки языка – петехии. Причина: вирусы (в частности, мононуклеоз), нарушения в работе органов кроветворения.
- Красные отметины различной формы при возможных повреждениях слизистой оболочки. Располагаются чаще на кончике и боках. Причины: травмы (прикусывание, травмирование протезами). При частом появлении и длительном сохранении могут создать предрасположенность к раку. Если красная отметина вдруг покрывается ороговевшими частицами – срочно посетите онколога.
Белые пятна на языке у взрослого – наиболее часто встречающиеся, но являющиеся следствием не самых серьезных проблем.
- Одиночное круглое белое образование свидетельствует о сдвиге кислотно-щелочного баланса желудка.
- Белый налет, распространенный по всей поверхности, свидетельствует о расстройствах в работе желудочно-кишечного тракта, обострениях язвы, гастрита.
- Молочница (кандидоз). Белые пятнышки локализуются на корне и его краях, в запущенных случаях могут полностью покрыть весь язык, а далее – всю полость рта. При попытке соскабливания такого налета под ним открывается яркая кровоточащая язва. Виновница – грибковая инфекция, возникающая при общем снижении иммунитета организма. Особенно подвержены кандидозу люди пожилого возраста и инфицированные ВИЧ.
- Белые образования под языком – очень серьезный признак. Причины: болезни сосудов головного мозга, недостаточное обеспечение мозга кислородом.
- Белые шелушащиеся области – плоский лишай. Причины: аллергия по фоне гепатита С, использование жевательного табака. Усугубление состояния развивается злоупотреблением курения, приема алкоголя, что при плоском лишае может привести к развитию рака. При этом пятна распространяются на десны (про кровоточивость десен смотрите тут) и горло.
Желтые пятна. Причины: заболевания слизистой оболочки желудка, нарушения теплообменных процессов в организме.
Темные пятна. Встречаются относительно редко, указывают на воспалительные (простуда с высокой температурой), дистрофические и некротические явления в ротовой полости. Могут быть отражением неправильного пищеварения или серьезного заболевания крови. Причины могут быть самыми разнообразными:
- частое, длительное курение (отметина образуется за счет окрашивания никотином);
- некроз как следствие нарушение питания участка языка, дальнейшего его почернения и омертвения. Процесс не обратим и требует ампутации языка.
- некоторые разновидности рака языка. Причины: наследственная склонность, злоупотребление никотином, частые травмы языка.
Для более точной диагностики внутреннего заболевания, сопровождаемого темным пятном, необходимо как можно тщательнее определить оттенок темного пятна.
Черный цвет пятна. Причины: болезнь поджелудочной железы, желчного пузыря. Черный налет на языке свидетельствует об ацидозе – повышении кислотности в организме либо о поражении хромогенный грибком. При дальнейшей активизации грибка пигментация зубов становится темно-зеленой.
Коричневое пятно. Причины: кровотечение в ротовой полости, тяжелые болезни всей кровеносной системы.
Фиолетовое пятно. Причина – застой крови.
Синие пятна. Встречаются редко. Причины:
- серьезные нарушения работы системы кровообращения, сопровождаемые застоем крови;
- гемангиома (часто встречающаяся доброкачественная опухоль);
- отравление солями тяжелых металлов.
- Красные пятна на фоне белого языка. Причина – тяжелый недуг двенадцатиперстной кишки.
- Белые пятна на фоне красного языка. Первопричина – обострение хронических заболеваний желудка.
- Комбинация красных и белых пятен на языке в сочетании с кашлем – скарлатина.
- Красные пятна на желтом языке указывают на застой желчи в желчном пузыре.
Основные факторы, провоцирующие появление пигментации:
- аллергия на средства гигиены ротовой полости;
- раздражающая пища;
- курение;
- алкоголь;
- прикус;
- ношение брекетов;
- обезвоживание.
Такие пятна на языке появляются и исчезают при отсутствии на слизистую негативного воздействия. Гораздо сложнее ситуация с пигментацией, возникшей как следствие развивающегося патологического процесса. В постановке диагноза помогает цвет, форма и расположение сыпи.
Имеет ли значение локализация пятен на слизистой?
По тому, где именно в ротовой полости расположены белые точки и пятна, можно сделать предварительный вывод о том, какое заболевание послужило причиной их появления, например, при кандидозном стоматите они покрывают щеки, язык и небо, при лейкоплакии — десны, а у больных тонзиллитом сосредоточены преимущественно на миндалинах.
Также определенная локализация высыпаний во рту может указывать на те или нарушения в работе внутренних органов.
Например, при некоторых заболеваниях печени или желчного пузыря они могут появиться на боковых сторонах языка, при неполадках в работе кишечника — на его корне, а при больных почках — по центру. Кроме этого, локализация белых пятен ближе к кончику языка в подавляющем большинстве случаев говорит о проблемах с легкими, а белый налет непосредственно на его кончике — о нарушениях в работе сердечно-сосудистой системы.
Язык — «зеркало» здоровья организма
Симптоматика кандидоза
Белый налет может возникнуть на любом участке рта. Высыпания имеют творожистую структуру. При развитии заболевания у взрослого появляются плохие ощущения. Клинические признаки патологии зависят от индивидуальных особенностей организма, а также от характера течения болезни. Большинство пациентов жалуются на сухость во рту, проблемы с глотанием, чувство зуда и жжения. Токсические вещества, выделяемые в результате активности грибковых бактерий, ухудшают общее самочувствие больного.
Молочница в ряде случаев сопровождается воспалительным процессом каймы губ. Степень развития воспаления определяется состоянием иммунной системы. Главный клинический признак молочницы – образование белого налета во рту. При своевременном лечении удастся быстро избавиться от неприятной симптоматики и патогенных микроорганизмов.
В редких случаях белый налет на небе является клиническим признаком образования злокачественного характера. При анализе кровеносных телец обращается внимание на значения онкомаркеров, при необходимости пациента оправляют на консультацию к медицинскому специалисту – онкологу.
Сопутствующие симптомы
В подавляющем большинстве случаев появление белых точек на слизистой ротовой полости вызывает целый ряд неприятных и даже болезненных ощущений, которые приносят человеку постоянный дискомфорт.
В первую очередь они связаны с пережевыванием и глотанием пищи, но иногда трудности могут возникать даже просто во время разговора. Кроме этого, часто наблюдается изменение вкусовых ощущений, а также сложности с открыванием рта.
Однако неприятные симптомы, сопровождающие появление белых пятен во рту, на этом не заканчиваются. Довольно часто у человека может повышаться температура, например, как при афтозном или герпетическом стоматите, увеличиваться лимфоузлы, появляться чувство сухости вот рту или, наоборот, провоцируется усиленное слюноотделение. Кроме этого, для герпеса характерны боли в мышцах и суставах, а также общая слабость.
И, конечно, чем больше детальной информации о самочувствии пациента получит врач, тем точнее будет поставленный им диагноз, благодаря чему он сможет подобрать оптимальный вариант лечения и вовремя справиться с болезнью, избежав серьезных осложнений.
Как бороться с проблемой?
Постановка диагноза, при появлении белых высыпаний по рту, предполагает, в первую очередь, выяснение причины, которая спровоцировала их образование.
Читать также: Защитный гель асепта стоматологический
Помимо визуального осмотра пациенту могут быть назначены дополнительные анализы для выявления вирусных инфекций или болезней внутренних органов, способных дать подобную симптоматику.
И если корень проблемы действительно кроется гораздо глубже, то нормализовать состояние ротовой полости не удастся, не справившись сначала с основным заболеванием. Однако параллельно обязательно должно проводиться лечение и на местном уровне, призванное снять отеки и воспаление слизистой, а также очистить ее от белого налета и пятен.
В целом медикаментозная терапия в подобных случаях базируется на использовании целого ряда препаратов:
- антисептиков для полосканий (раствора Фурацилина, Мирамистина, Хлоргексидина и т. д.);
- противовоспалительных средств (Хлорофиллипта, Стоматофит, Тантум Верде);
- стоматологических гелей, ускоряющих заживление (Метрогил, Холисал, Солкосерил).
Для усиления эффекта дополнительно можно использовать для полосканий отвары и настои лекарственных растений, например, ромашки, дубовой коры, календулы или эвкалипта.
При обнаружении белых пятен во рту у ребенка назначаются гели и мази, снимающие воспаление и боль, например, Холисал или Бонафтон, а также препараты для укрепления иммунитета, чаще всего на основе интерферона.
Грудничкам рекомендуется протирать десны, губы и внутреннюю поверхность щек отваром ромашки или содовым раствором с помощью ватной палочки или кусочка марли, а детям постарше — полоскать рот отваром череды, шалфея или подорожника.
Также во время лечения следует внести изменения в привычный рацион питания, исключив из него любую пищу, раздражающую слизистую, то есть острое, соленое и кислое. Противопоказаны и твердые продукты, способные вызвать механические повреждения, тем самым лишь усугубив ситуацию, а также чрезмерно горячая или холодная пища.
При этом важно понимать, что без своевременного лечения последствия появившихся во рту белых пятен могут быть довольно серьезными, ведь на их месте чаще всего образуются язвочки и эрозии, делающие поврежденную слизистую еще более уязвимой к разного рода инфекциям.
И, конечно, огромное значение в этом плане имеют меры профилактики, способные снизить риск возникновения подобной проблемы до минимума. Речь идет о тщательном соблюдении всех правил гигиены, касающихся ротовой полости (чистка зубов, использование зубной нити, ополаскивателя для рта и т. д.), сбалансированном питании, благодаря которому организм будет надежно защищен от авитаминоза, укреплении иммунитета и отказе от вредных привычек, ежедневно подрывающих здоровье человека.
Профилактические мероприятия
Проще заниматься профилактикой заболевания, чем бороться с ним. Существует ряд мероприятий, снижающих риск возникновения налета:
- Требуется придерживаться правил личной гигиены. Приобрести зубную щетку, при её отсутствии. Рекомендуется паста для чувствительных зубов. Требуется пользоваться дентальной нитью, а также очищать неба и десна с языком.
- Дробная разновидность рациона питания предполагает небольшие порции от 6 до 8 раз в день. Это снизит риск развития молочницы и других патологий, провоцирующих образование белого налета.
- В весенние и осенние месяцы врачи рекомендуют пропивать комплекс витаминов для поддержания иммунной системы.
- Требуется проходить лечение кариеса, а также любых инфекционных заболеваний хронического характера.
При соблюдении профилактических мер риск образования белого налета отсутствует. В случае обнаружения синдрома следует обратиться в медицинское учреждение для прохождения диагностики.
Если рот пациента здоров, значит, органы и системы его организма работают правильно. Ведь ротовая полость и язык являются индикатором общего состояния. Слизистая поражается, когда то или иное заболевание прогрессирует. Болезни могут быть инфекционными, хроническими, острыми, специфическими. Белый налет на небе у взрослого распространен не так часто, как у детей. Он зачастую указывает на наличие хронических недугов.
Небо выполняет весьма важную функцию. Свод отделяет носоглотку от полости рта. По строению выделяется мягкая и твердая часть. Этот орган предотвращает попадание пищевых продуктов в носоглотку. Его рецепторы связаны с гортанью. Они участвуют в артикуляции, влияют на высоту звуков, тембр голоса. Дефекты слизистой нарушают указанные функции, поэтому их следует устранить. Кроме того, пациент испытывает дискомфорт, болезненные ощущения.
Почему возникает проблема
Далее рассмотрены основные патологические состояния полости рта, которые сопровождаются появлением болячек.
Системные патологии
Язвенные поражения слизистой рта у взрослых и детей могут являться симптомами различных болезней. Так, одним из «виновников» таких образований является туберкулез – мягкие ткани покрываются множественными холмиками, которые со временем увеличиваются в размерах, превращаются в язвы (болят, пекут, реагируют на горячую и холодную пищу). Дополнительные признаки:
- потеря аппетита, снижение массы тела;
- желтовато-белый налет на деснах, языке;
- гипертермия (до 39 градусов);
- гипергидроз.
Сифилис ротовой слизистой «заявляет о себе» безболезненными изъязвлениями красного цвета округлой формы сероватым налетом на поверхности. Острый некротический гингивостоматит – вирусное заболевание, язвы образуются не только на деснах, но и гландах, щеках, языке. Рак – наиболее серьезная причина появления многочисленных язвочек во рту. При надавливании такие образования не болят, имеют нечеткие толстые края, долго не заживают.
Примечательно, что гнойники и язвы могут быть следствием банального авитаминоза. Так, для нормализации состояния слизистой необходимо добавить в ежедневный рацион продукты с высоким содержанием витамина Р (сливы и яблоки, орехи, печень), группы В (горох, кукуруза, говядина, яйца, петрушка овсянка), С (смородина, виноград, шиповник), А (морковь, лук, абрикосы, персики).
Стоматологические болезни
Белые болячки во рту, как правило, симптом стоматита – инфекционного недуга, атакующего организм со сниженным иммунитетом. То, какие появятся пятна на небе во рту, обуславливается видом и формой (острой, хронической) заболевания.
Так, стоматит может быть:
- афтозным (множественные белые болячки на ротовой слизистой, болезненные язвы с четко очерченными границами);
- афтозным рецидивирующим (появляются белые пятна во рту у взрослого и ребенка, при даже незначительном механическом травмировании таких образований появляются язвы – афты);
- герпетиформным (слизистая обильно усыпана болезненными зудящими пятнышками, которые визуально похожи на герпес, чаще всего болезнь поражает представительниц слабого пола в возрасте до 30 лет);
- грибковым (на мягких тканях присутствует белый налет, возбудитель, как правило, грибок Кандида);
- язвенным (во рту появляется одна или несколько болячек, язвы на языке, губах, щеках – результат своевременно непролеченного катарального стоматита).
Если язвочками покрыты десны в межзубном пространстве, ведут речь о язвенном гингивите (воспалительном процессе). Ротовая полость и горло могут также изъязвляться после лучевой или химиотерапии. Существует и такое заболевание, как рецидивирующий некротический периаденит (афты Сеттона) – в полости рта формируются характерные уплотнения, они болезненны при надавливании, далее образуются открытые язвы, из которых вытекает инфильтрат.
Важно! Причины появления белых пятен на губе, щеке и языке – травмы слизистой грубой пищей, прикусыванием мягких тканей при жевании, чрезмерно интенсивной чистке зубов. Нередко возникновение таких образований влечет за собой проведенное стоматологическое лечение. У ребенка могут выскакивать язвочки во рту из-за пагубной привычки сосать большой палец (так называемые афты Беднара). При такой аномалии на слизистой появляются желтоватые точки, расположенные на небе.
Читать также: Распухла десна что делать
Разновидности грибкового заболевания
Для поражения организма и ротовой полости грибком, требуется воздействие провоцирующих факторов. У кандидоза полости рта в медицинской практике выделяют 3 вариации протекания заболевания.
Патология развивается у детей или пожилых на фоне ослабленной иммунной системы. У взрослого грибковое соединение Кандида обусловливается простудными заболеваниями, патологиями хронического характера. При невозможности иммунной системе противостоять возбудителю болезни – появляется грибок Кандида в полости рта.
Молочница ротоглоточного типа
Развивается от употребления лекарственных препаратов антибактериального характера. В случае нарушения дозировки медикаментозным средством микрофлора ротовой полости, увеличивается риск проникновения и активизации инфекционных заболеваний рта. Агрессивные терапевтические методики повышают вероятность развития молочницы.
На начальных этапах развития заболевание с трудом поддается диагностике. Выраженные клинические признаки патологии отсутствуют. Налет в размерах не превышает 3 миллиметров.
Микоз
В основном развивается у новорожденных. Молодые матери путают клинический признак развивающейся патологии на остатки свернутого молока в области десен. Возникновение болезни объясняется заражением организма матери в процессе вынашивания ребенка, инфицирования во время родов.
Во взрослый период жизни заболевание развивается от несоблюдения правил гигиены ротовой полости, при курении. Контрацептивы орального типа также увеличивают риск возникновения микоза десен.
Поражение уголков ротовой полости
Молочница также развивается в уголках рта. На первоначальных этапах развития заболевания образуются трещина. С течением времени поражение начинает увеличиваться в размерах и покрываться налетом. По мере развития патологии трещины начинают кровоточить, развиваются болезненные, дискомфортные ощущения.
Симптомы и диагностика
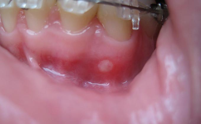
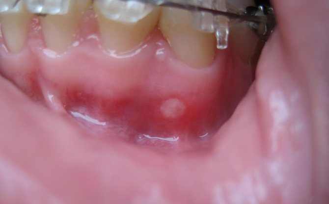
Афтозный стоматит локализуется под нижней губой, на языке и щеках, у основания десен (как на фото). Язвы – небольшие по размеру красные опухоли, которые припухают и «спадают» в течение дня. Когда такие образования саморазрешаются, их поверхность покрывается желтой или белой коркой, края язв четко очерченные, воспаленные. Изъявления при данной форме стоматита затягиваются в течение 2 недель, шрамов и рубцов на слизистой после них не остается. Общие симптомы беспокоят редко, за один раз на слизистой может появиться одна или несколько язв.
Герпетиморфный стоматит обуславливает возникновение множества мелких зудящих язвочек на слизистой рта, языке, щеках, которые не имеют четко очерченных границ и покрыты сероватым налетом. Заживать такие болячки начинают не раньше, чем на 7–10 сутки с момента появления. Определить то, почему возникли те или иные болячки во рту, может только врач-стоматолог при визуальном осмотре пациента и после оценки результатов лабораторных, инструментальных исследований.
Решение проблемы
Как можно вылечить болячки во рту дома? Народная медицина предлагает массу полезных рецептов, которые можно использовать для самостоятельной борьбы с симптомами местных болезней. Важно понимать, что такие меры не продемонстрируют никакого эффекта, если болезненные образования вторичны (следствие системных патологий).
Так, помазать язвочку во рту можно кашицей из пищевой соды (небольшое количество порошка смешивают с несколькими каплями воды). Содовый раствор пригоден и для полосканий – их делают в течение дня (каждые 2–3 часа и сразу после еды) до тех пор, пока язвы не затянутся. Избавиться от болезненных язв при стоматите поможет экстракт алоэ вера – его наносят на образования 2–5 раз в день.
Взятую 1 ст. л. сухих цветков календулы запаривают 250 мл крутого кипятка, держат полученную смесь на небольшом огне еще 10 минут. Остуженный отвар применяют для лечебных полосканий (обладает противовоспалительными, успокаивающими, ранозаживляющими свойствами).
После консультации со стоматологом, чтобы справиться с неприятными симптомами, можно принимать системные противоаллергические препараты (Тавегил, Лоратадин, Супрастин). Кроме этого, язвы обрабатывают гелем с Лидокаином и Дексаметазоном, рот полощут аптечными антисептическими растворами. При герпетическом стоматите высыпания смазывают Ацикловиром и другими противовирусными составами.
Что еще делать для борьбы со стоматитом самостоятельно:
- наносить на пораженные очаги облепиховое масло, смесь сметаны с измельченным чесноком, луком;
- заварить пакетик чая, поместить его в холодильник, через полчаса приложить к изъязвленным участкам слизистой»
- соединяют содержимое двух ампул витамина В12 и одной ампулы Дексаметазона, добавляют к ним 2 перетертые до порошкообразного состояния таблетки Нистатина. В готовом лекарстве смачивают ватные тампоны, прикладывают к болезненным очагам во рту.
Профилактика
Чтобы избежать гнойных и язвенных образований на ротовой слизистой, рекомендуется своевременно посещать стоматолога, соблюдать элементарные правила ухода за зубами и деснами в домашних условиях, отказаться от чрезмерно горячих и холодных напитков (пищи). Укрепление иммунитета, здоровый рацион и регулярные физические нагрузки в совокупности с психоэмоциональной стабильностью также помогут предотвратить появление данной проблемы.
Итак, появление различных образований на ротовой слизистой может быть вызвано не только инфекционно-воспалительными стоматологическими заболеваниями, но и проблемами внутри организма. Главным «виновником» белых болячек во рту считается стоматит, «атакующий» слизистую при сниженном иммунитете. Авитаминоз, сифилис, туберкулез, рак – системные патологические причины возникновения высыпаний. Лечение зависит от того, почему появились изъязвленные участки или гнойники. Подбирать медикаменты и процедуры должен врач-стоматолог.
Профилактические мероприятия
Важную роль играет профессиональная гигиена полости рта. Процедура проводится в условиях стоматологического кабинета не реже, чем 1 раз в полгода. Следует больше времени проводить на свежем воздухе, правильно питаться, вести здоровый образ жизни, чередовать отдых с умеренными физическими нагрузками. Положительно на организм влияет закаливание. Главное, чтобы пациент соблюдал ряд несложных правил:
- Жевательные органы нужно чистить утром и вечером;
- Ополаскиватели следует применять после еды каждый раз;
- Слишком горячую пищу употреблять нельзя;
- Обогатить свой рацион полезными микроэлементами и витаминами для повышения иммунитета;
Нужно избегать стрессовых ситуаций, отказаться от вредных привычек, регулярно диагностировать организм. Такие действия предотвращают развитие воспалений и болезней полости рта.
+7 Санкт-Петербург, Малый проспект В.О., дом 4
Задать интересующие вопросы и у узнать доступное время для записи можно у администраторов клиники «ARTES»! Звоните и приходите на прием!
Во рту появилась белая язвочка: как ее правильно лечить
Белые язвочки во рту доставляют много хлопот, ведь они мешают нормально пережевывать пищу, улыбаться, чистить зубы и так далее.
Такие образования на слизистой возникают не просто так, для этого есть причины.
Что представляют собой белые язвочки, почему они возникают во рту, как их устранить и не допустить появления снова?
Причины возникновения
Перед тем, как выяснять, почему во рту появилась белая язвочка, нужно отметить, что такое явление довольно распространено, возникает у 20% людей всей планеты в разные периоды их жизни.
Язвенные кратеры небольших размеров сопровождаются болевыми ощущениями. Конечно, при их возникновении первое желание человека – срочно вылечить эту болячку. Но лечение зависит от причины появления этого заболевания ротовой полости.
К причинам их появления относят:
- Афтозный стоматит – воспалительный процесс, который сопровождается появлением на слизистых оболочках ротовой полости белых язвочек. Возникает из-за колитов, стрессов, при механическом повреждении слизистой оболочки, менструации. Заживают такие кратеры в течение 10 дней.
- Стоматит герпетиформный – возникают язвочки по диаметру меньше, чем в предыдущем случае, но их много. Такому заболеванию подвержены преимущественно женщины до 30 лет. Для этого вида стоматита характерны язвы с тоненькой пленкой белого или сероватого цвета.
- Афты Сеттона или некротический периаденит это заболевание слизистой оболочки ротовой полости. Сначала человек чувствует уплотнение во рту, затем на его месте появляется язва. От стоматита она отличается приподнятыми краями, выделяется сукровица. Человек ощущает сильные боли.
- Афты Беднара – это болезнь детей, возникающая из-за плохой гигиены ротовой полости или ее травмировании. Язвы локализуются на небе, имеют желто-белую окраску.
- Травматическая язвочка – появляется из-за повреждения слизистой оболочки зубной щеткой, стоматологическими манипуляциями. Такие язвы не сопровождаются сильной болью, они небольшие по размеру.
- Язвочки могут появляться по причине снижения иммунитета, действия на слизистую кислот или щелочных веществ, приводят к этому явлению также некоторые лекарства.
- Вторичное проявление туберкулеза легких, называемое туберкулезом слизистой ротовой полости. Причиной язвочек в этом случае является проникновение туберкулезной палочки в слизистую рта, такие кратеры появляются на языке, щеках, дне ротовой полости. Состояние человека при этом заболевании резко ухудшается.
- Сифилис также сопровождается наличием язв во рту. Сначала они не сопровождаются болью, имеют не белый, а синюшно-красны й цвет.
- Язвенные кратеры могут свидетельствовать о наличии острого некротического гингивостоматита, локализуются на деснах, внутренней стороны щек, миндалинах, нёбе. Возникает при нехватке витаминов и понижении иммунитета. Переутомление и переохлаждение, вирусные инфекции также могут стать причиной возникновения белых язвочек.
Читать также: Внутри щеки болячка
Киста
Данное явление не всегда заметно на поверхности, но иногда можно заметить белые пятна на зубах у десен. Кистой называют образование в мягких тканях. Это полость внутри десны, в стенках которой есть видоизмененные клетки.
Обычно в этой полости находится гной. Киста зубов возникает из-за инфицирования мягких тканей, а также по причине их патологических разрастаний.
Какими симптомами сопровождаются язвочки во рту
Такое явление в ротовой полости не может проходить незаметно для человека. В зависимости от того, какое заболевание привело к появлению язвочек, будут проявляться определенные симптомы.
Но есть общие характерные симптомы белых кратеров, которые ощущает человек:
- дискомфорт во рту, неприятные ощущения;
- трудности во время пережевывания пищи, зубы или твердая пища может задевать места, где расположены язвочки, что приводит к болезненным ощущениям;
- сложности во время разговора – человеку не хочется лишний раз открывать рот, чтобы не задеть язвочки;
- возникновение афт (белых язвочек) влечет за собой отек слизистых тканей вокруг них, что также доставляет неудобства при движении челюсти.
Признаки кандидоза
Развивается молочница ротовой полости у взрослого стремительно. Первый признак воспаления – это грибковый стоматит, который сопровождается жжением, зудом, отеком неба и языка, творожистым налетом во рту. Часто возникает такой симптом, как потеря вкуса. Признаки кандидоза у ребенка немного отличаются. При возникновении заболевания у малыша возникают следующие симптомы:
- творожистые крупные пятна в ротовой полости, напоминающие остатки пищи;
- белая пленка, покрывающая небо, губы, десна, щеки;
- температура тела поднимается до 39°C;
- на слизистой рта образуются эрозии, кровоточащие язвочки, которые дают привкус крови;
- боль и жжение во рту у ребенка заставляют его отказаться от еды, нарушается сон.
Как лечить заболевание у детей
К таким поражениям слизистой присоединяются микробы, которые продолжают поступать с грязными руками и предметами в рот. Несбалансированное питание и пониженный иммунитет приводит к возникновению афт у детей.
Как же от них избавляться?
- Грудному ребенку десна и горло можно обрабатывать ваткой, смоченной в отваре лечебной ромашки.
- Когда ребенок старше, эффективным в борьбе с язвочками будет полоскание ротовой полости отварами таких трав, как череда, шалфей, подорожник.
- Из лекарственных средств для детей активно применяются мази, снимающие воспаление, «Бонафтон», «Ацикловир», «Оксолин».
- Врачи рекомендуют активно поднимать иммунитет с помощью препаратов «Иммунофлазид», «Иммунал», препаратов с интерфероном.
В среднем лечение длится от 10 дней до 1,5 месяца, в зависимости от причины появления белых язвочек.
Лечение белых язвочек у взрослых
Часто взрослые люди страдают от афт также на фоне пониженного иммунитета. Для лечения необходимо принимать меры для его повышения. Лечение взрослых существенно не отличается от детской терапии, но рекомендуется применять:
- Полоскание «Фурацилином». Для этого в стакан кипятка добавляется 4 таблетки «Фурацилина», половина чайной ложки соли и столько же соды. После полоскания нужно промыть рот обычной водой.
- Промывание полости рта травяными растворами, состоящими из ромашки, коры дуба для затягивания ранки, эвкалипта, календулы. Раствор также необходимо сплевывать. После него ополаскивать рот водой необязательно.
- Прижигание проводится «Хлоргексидином» или «Фурацилином». Для этого нужно покрошить препарат, завернуть в бинт, приложить к афте. Держать лекарство нужно 5-10 минут. Процедуру можно повторять несколько раз. Прижигание можно проводить йодом или зеленкой, но такая манипуляция будет болезненной.
К препаратам можно добавить рецепты народной медицины, чтобы афты быстрее исчезли.
Лечение популярными народными средствами
Народные средства помогают быстрее избавиться от белых язвочек во рту, к тому же они общедоступны.
- Разбавить в стакане теплой воды 1 чайную ложку соды, полоскать ротовую полость.
- Добавить в половину стакана воды чайную ложку аптечной настойки календулы, можно прикладывать такой раствор к пораженной области.
- Выжать морковный сок и разбавить его 1:1 с водой, полоскать рот.
- Растереть 1 зубчик чеснока, размешать со сметаной (1 ч.л.), прикладывать к афте.
- Измельчить сырой картофель и делать из него примочки на язвочки.
- Измельчить семена лопуха, добавить в полученный сок немного соли, выпарить на огне, при этом добавив немного сливочного масла, чтобы получилась мазь. Этой мазью смазать все афты, появившиеся в ротовой полости.
Народная медицина — не есть истина последней инстанции, все описанные средства должны только сопровождать основное лечение, а не являться самостоятельными средствами от афт. Перед их применением важна консультация врача.
Внимание! Что такое пародонтозный зуб: симптомы, фото, способы лечения. Узнайте все об опасном заболевании.
Чувствуете боль в языке, будто он обожжен? Тогда вам сюда. Наши эксперты спешат вам помочь.
Подборка дешевых аналогов Холисал геля представлена в очередной статье. Берите на заметку!
Профилактика появления белых афт
Белые афты в ротовой полости могут периодически появляться и перейти в хроническую форму, чем доставляют немало дискомфорта человеку.
Для предотвращения их появления важно помнить о профилактических мероприятиях, которые позволят забыть об этом недуге надолго.
- Не допускайте травмирования слизистых оболочек ротовой полости.
- Посещение стоматолога должно стать вашей привычкой.
- Обязательно следите за гигиеной рта, старайтесь не допускать скопления налета на зубах.
- Сильно горячие продукты могут спровоцировать появление афт, поэтому нельзя их употреблять, подождите, пока они остынут.
- Стрессы способны оказать влияние на иммунитет человека, старайтесь выработать в себе стрессоустойчивость.
- Старайтесь повышать иммунитет любыми средствами, пейте витамины, употребляйте в пищу фрукты и овощи.
- Во время сезонных заболеваний старайтесь оградить себя от атаки вирусов, можно для профилактики принимать иммуностимулирующие препараты.
Профилактика возникновения афт не составляет особого труда. Важно систематически следить за состоянием своего здоровья, тогда и белые язвочки не будут часто или вообще никогда беспокоить.
Диагностика налета на небе
Чтобы установить причину возникновения клинического признака и составить эффективный курс лечения, требуется пройти ряд диагностических процедур. Проводится внешний осмотр ротовой полости на наличие белого налета, учитываются жалобы на болезненные ощущения в процессе потребления пищи. При возникновении описанной клинической картины требуется посещение стоматологического учреждения.
Собранный анализ позволяет установить провоцирующий фактор заболевания.
Для определения точного диагноза потребуется прохождение ряда диагностических процедур. Потребуется сдать кровеносные тельца, урины и каловые массы на анализ. Возможна сдача дополнительных тканей и биологических жидкостей по усмотрению лечащего врача.
- При наличии у медицинского специалиста подозрений на кандидоз. Кровеносный тельца исследуются на присутствие в них вирусных микроорганизмов, также проводится соскоб с пораженной слизистой оболочки полости рта. В случае обнаружения грибковых соединений диагноз подтверждается. Эти микроорганизмы питаются на основе углеводных соединений, повышенная концентрация глюкозы в крови является дополнительным признаком наличия грибков Кандида в организме больного.
- В случае наличии подозрений на лишай пациенту требуется пройти процедуру биопсии пораженной слизистой, затем используется гистологическая методика исследований тканей. В случае обнаружения повышенной степени ороговения и увеличенных размеров клеток наличие лишая подтверждается. Также с целью постановки диагноза пациенту назначается оценка состояния иммунитета, который при развитии лишая значительно ослабевает.
- Для подтверждения развивающейся ангины пациенту назначается забор материала из слизистой оболочки ротовой полости. На основе количества антигенов к возбудителю патологии подтверждают или опровергают диагноз. Также определяется чувствительность возбудителя на лекарственные препараты антибактериального характера, при его наличии.
- При наличии подозрений на Сифилис требуется обратить внимание на возможные клинические признаки заболевания в других частях тела. Для подтверждения диагноза используется реакция Вассермана. В случае прогресса сифилиса в результате её проведения обнаруживаются трепонемы.
- Для диагностирования лейкоплакии пациенту назначается гистологической исследование оболочки ротовой полости. При наличии структурных нарушений диагноз подтверждается.
- Глисты обнаруживаются при помощи диагностических методов анализа каловым масс. Лямблии диагностируются благодаря диагностическим процедурам инструментального характера органов желудочно-кишечного тракта.



















