Кистой называется чужеродное образование в организме, состоящее из плотных стенок и жидкого содержимого. Это своего рода пузырь с жидкостью внутри.
Заболевание возникает в разных органах человеческого тела, в том числе и в ротовой полости.
В этом случае потребуется лечение, желательно делать это своевременно, чтобы избежать осложнений и потери зубов. Современная медицина предлагает лояльные способы терапии, позволяющие сохранить зуб.
Odnoklassniki
Отчего возникает киста в десне?
На самом деле образование, именуемое в народе десневой кистой, является ни чем иным, как свищом, или фистулой. При развитии не леченого кариеса инфекция проникает через твердые ткани зуба в пульпу, разрушая и убивая ее, а далее в ткани, окружающие корень зуба. Иммунная система организма, реагируя на атаку патогенных микроорганизмов, мобилизует защитные кровяные клетки в участок хронической инфекции (причинный зуб). Таким образом, в корне зуба и вокруг него образуется гной, являющийся своеобразным полем боя между бактериями и защитными силами организма.
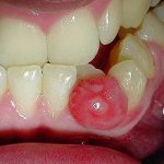
Киста во рту — фото
Впоследствии скопление гноя распространяется дальше, разрушая кость и образуя своеобразную полость, которую стоматолог видит на рентгене пораженного зуба. Образующийся гной постоянно стремится выйти наружу путем наименьшего сопротивления. При отсутствии лечения инфекция, постепенно рассасывая кость, сформирует ход от корня зуба в полость рта, проходя через кость и десну. На десне станет заметно выпуклое образование, часто заполненное красноватой или бело-желтой жидкостью. Затем стенка десны лопнет и гной изольется наружу.
Этапы формирования кисты зуба
В это время чаще всего болевые ощущения снижаются. Однако это далеко не является поводом успокоиться и отложить лечение на потом, так как болезнетворные бактерии по-прежнему находятся в инфицированном зубе и продолжают поражать окружающие ткани все сильнее. Впоследствии образуется новая порция гноя, которая снова будет истекать из образованного ранее свища.
Киста на десне
Настойка из спирта и хрена
Растение обладает противовоспалительными и антисептическими свойствами. Календула содержит вещества, которые помогают тканям восстановиться. Помимо этого, она хорошо устраняет болевые ощущения.
Для приготовления настойки понадобятся вода и столовая ложка сухих цветов. Воду необходимо вскипятить и залить соцветия. После дать настояться не менее 60 мин. Затем будущую настойку нужно процедить и остудить. Полученной жидкостью полощут рот до тех пор, пока боль не уменьшится.
Если одновременно использовать спирт и целебные травы, бактерии быстро погибнут. Чтобы приготовить средство, понадобится:
- 100 г спирта (70 %);
- 10 г сухих цветов;
- 100 г кипяченой воды.
Принцип приготовления выглядит следующим образом: спирт смешивают с календулой и настаивают несколько часов. После полученную смесь процеживают и добавляют воду. Процедуру полоскания нужно проводить каждые полчаса.
Если смешать эти компоненты, то из них получится надежное средство для уменьшения воспалительных процессов. Также настойка устранит все болезнетворные микробы.
Для приготовления понадобится корень хрена и спирт 70 %. Овощ необходимо измельчить и засыпать в стакан до половины, оставшуюся часть нужно заполнить спиртом. После стакан помещают в темное место на три дня. Затем смесь процеживают и перед применением разбавляют теплой водой в соотношении 50:50.
Какие бывают свищи (кисты) в десне?
Таблица. Киста в десне зуба — основные разновидности.
| Тип свища на десне | Причина образования | Как проявляется |
| Связанный с периодонтитом | Начало образования гноя происходит внутри корня зуба, переходит на ткани, соединяющие корень с костью, а затем на кость. В итоге гной проникает через кость в десну и опорожняется в полость рта. | Причиной может служить кариозный зуб или зуб, который уже лечили (ставили пломбу или удаляли нерв). В нем возникает боль при жевании пищи, надавливании и постукивании. После образования свища боль, как правило, на время стихает. |
| Связанный с заболеваниями пародонта | Изначально формируется карман в десне, в котором скапливается налет и бактерии, далее в глубине кармана образуется гной, который может формировать ход, выходя на поверхность десны в виде свища. | Основная масса симптомов будет затрагивать десны – воспаление, кровоточивость, отхождение десны от зуба, расшатывание зубов. Затем в области одного или нескольких зубов образуется свищ на десне. |
| Связанный с перикоронитом | Наиболее редкий из свищей. Формируется при неправильном прорезывании зуба мудрости и инфицировании слизистой оболочки над ним. | Боль, покраснение и припухание в дальних участках челюсти за жевательными зубами, сопровождающиеся свищом на десне в той же области. |
Перикоронит
Цистотомия
Внутрь пораженного участка добираются методом рассечения тканей. Затем используют лекарственные средства антибактериального и восстанавливающего свойств.
Показания к применению цистотомии:
- Для спасения зачатков постоянных зубов (например, когда меняются молочные).
- Когда гнойный мешок расположен слишком близко к корням здоровых зубов или кости челюсти.
- Наличие хронический болезней, которые делают невозможным использование остальных методов лечения.
Признаки свища (кисты) в десне
Признаки и внешние проявления будут по большей части зависеть от причины образования свища. Вот некоторые из симптомов:
- боль в зубе при кусании, жевании и постукивании;
- образование округлого элемента на десне, содержащего жидкость желтоватого или красного цвета;
- разбухание лица с одной стороны;
- припухание десны;
- боль в десне или в области, где образовался свищ;
- неприятный запах изо рта;
Неприятный запах изо рта — причина множества проблем
- раздраженность десны;
- чувствительность зубов к холодному или горячему;
- тошнота;
- жар;
- набухание гланд;
- появление болезненных округлых образований под челюстью (набухшие лимфоузлы);
- боль в ушах;
- плохое самочувствие.
Симптомы свища на десне
Настойка из спирта и хрена
Средства даже с минимальным содержанием этого растения оказывают противомикробное воздействие.
Чтобы приготовить чудо-средство, понадобится сушеный тимьян – ⅓ часть стакана и литр кипяченой воды. Жидкость надо поставить на огонь и прокипятить, а после ею залить тимьян, дав растению настояться в течении 60 мин. Далее процедить и применять отвар в теплом виде.
В случае ноющей боли, которая никак не исчезнет, можно попробовать этот метод. При совместном действии всех составляющих эффект проявляется значительно быстрее.
Чтобы его приготовить, понадобится стакан любого настоя из трав и чайная ложка соли. В готовой теплой жидкости нужно растворить соль, после чего применять обычным способом.
Диагностика кисты в десне
Для постановки точного диагноза врач-стоматолог уточнит порядок появления симптомов, проведет внимательное исследование полости рта, определит наличие кариеса, пломб, налета на зубах. Предположив причинный зуб, доктор проведет рентгенологическое обследование, при котором для проверки направления хода свища он может ввести в него тонкий и эластичный штифт из гуттаперчи (тот самый, которым пломбируют корни зубов). Таким образом, станет сразу ясно, который из рядом стоящих зубов вызвал появление гноя.
В случае обнаружения воспаленных десневых карманов, врач также может сделать забор содержимого для посева бактерий
Более прогрессивным методом диагностики является компьютерная томография. Она позволит не только определить направление свища, но и оценить целостность кости, размер и форму изначального околокорневого гнойного очага, его близость относительно важных структур челюстей.
Компьютерная томография
Раствор из соли
Преимущество данного метода – наличие всех ингредиентов под рукой. Соль помогает избавиться от боли и воспаления.
Чтобы приготовить средство, понадобится пол чайной ложки соли и стакан кипяченой воды. Соль нужно поместить в воду и хорошенько размешать, пока она полностью не растворится. Полоскать рот через каждые 30 минут. При применении данного метода болевые ощущения исчезнут через 30-50 минут.
При сильной боли можно попробовать более концентрированный метод. В стакане кипятка растворить чайную ложку соли и полученной жидкостью полоскать рот каждые 30 минут. В процессе лечения солевой раствор убивает все бактерии и микроорганизмы.
Как лечится свищ (киста) в десне?
Лечение никогда не будет эффективно, пока не будет устранена первоначальная причина заболевания. Именно поэтому самый важный шаг при возникновении кисты в десне – обратиться к профессионалу. Никакие виды домашнего лечения и выжидательные тактики не очистят причинный зуб от инфекции, не удалят накопившийся над и под десной налет, зараженные ткани. При появлении гноя в любой части тела, а в полости рта в особенности, откладывание лечения может привести к непоправимым последствиям.
Итак, какие могут быть варианты лечения при обращении к врачу-стоматологу?
Лечение кисты на десне
Если заболевание появилось в запущенном кариозном зубе, врач высверлит разрушенные эмаль и дентин, удалит погибшую пульпу, тщательно и в течение длительного времени вымоет инфекцию с помощью эффективных антисептиков и запломбирует канал, чтобы закрыть его просвет для бактерий.
Как удаляют нерв из зуба
При нагноении зуба с уже удаленным нервом и запломбированным каналом корня стоматолог удаляет имеющуюся пломбу, заново обрабатывает канал инструментами и антисептиками и пломбирует. Причин для воспаления вокруг корней таких зубов множество – от изначально некачественной обработки канала до особенностей анатомии зуба (скрытые, сильно разветвленные каналы) и способностей защитных систем организма.
Так, например, если зуб имеет слишком тонкие и кривые каналы в корне, его лечение может не представляться возможным, а попытки запломбировать приведут лишь к обострению. В таком случае следует прибегнуть к хирургическому лечению свища в десне.
Пломбирование корневого канала
Если зуб сильно разрушен, а анатомия не позволяет его вылечить либо имеется перелом в стенке корня вследствие травмы, применяют хирургические способы лечения, с сохранением зуба или без него.
Методы сохранения зуба могут включать удаление одного из корней, отсекание одной из верхушек корней, отделение и извлечение причинного корня вместе с частью коронки. Эти операции стоят достаточно дорого, имеют свои риски и осложнения, и применимы далеко не во всех зубах. Эффективность их не всегда достаточна.
При выраженном воспалении и гноетечении, частых обострениях и неудачных попытках пломбирования чаще всего прибегают к удалению зуба целиком. К сожалению, в некоторых случаях это единственный метод избавления пациента от очага хронической инфекции, которая поражает не только челюстную кость, но и весь организм в целом.
Зуб с кистой после удаления
В том случае, когда гной возник по причине болезней десен, доктор проведет профессиональную гигиену полости рта, удалит налет над и под десной, вычистит инфицированные ткани в пародонтальных карманах.
При любом из перечисленных видов лечения обязательным этапом будет ревизия или иссечение свища. При этом удаляют новообразованные ткани, выстилающие ход, по которому совершался отток гноя, что предотвращает появление повторного воспаления и развитие осложнений.
Удаление кисты зуба
Причины образования
Киста десны развивается из-за гнойного воспалительного процесса в окружающих органа тканях.
Воспаление возникает вследствие:
- Ненадлежащего лечения кариеса или воспаления пульпы. Периодонтит развивается, если вовремя не провести терапию кариеса либо пульпита. Данная патология характеризуется появлением на верхушке зубного корня воспаления — гнойника в окружающей десне. Экссудат копится и постепенно вытесняется в слизистую, где формирует гнойную шишку.
- Неправильно наложенной пломбы на корневых каналах — достаточно часто встречающееся явление. Согласно статистическим данным, стоматологи совершают ошибки при пломбировании в более половины случаев. Из-за этого у пациентов развиваются всевозможные осложнения. Наиболее часто врачи ошибаются в том, что пломба накладывается не до верхушки зубного корня. Эта зона воспаляется, и процесс постепенно затрагивает ткани десны. При наличии гноя формируется киста.
- Перфорация зуба. Еще одно следствие ошибки стоматологов — нередко врачи просверливают дополнительное отверстие в канале.
- Пародонтит. В клинике данное состояние называют «пародонтальный абсцесс». Воспаление пародонта (комплекса тканей вокруг зуба) оборачивается появлением глубоких мешочков с гноем внутри.
- Очень редко возможно образование кисты десны после удаления зуба. Такое явление характерно для некачественно проведённого хирургического вмешательства, использование нестерильного оборудования, из-за которого в ротовую полость пациенту заносят микроорганизмов, вызывающих воспалительный или инфекционный процесс.
Обязательно ли посещать специалиста?
Первое из-за чего многие не посещают специалиста вовремя – это страх. Еще с детства у большинства людей формируется боязнь стоматологического лечения. Во многом в этом виноваты не самые совершенные методики обезболивания и самого лечения, которые применялись в практике еще каких-то 10 лет назад. Сегодня стоматология шагнула далеко вперед, но плохие ассоциации с ней все еще остались в памяти многих. Вторая не менее распространенная причина – это стоимость лечения. Стоматологические услуги обходятся всегда довольно дорого. Даже такие простые методики, как пломбирование, могут серьезно ударить по карману. Даже не удивительно, что ознакомившись с прайс-листом соседней клиники, люди идут домой и начинают искать информацию не только о том, может ли пройти сама киста зуба, но и народных методах ее лечения. Начнем с того, что вообще без посещения специалиста вы не можете с точностью поставить себе самостоятельно подобный диагноз. На начальной стадии развития, когда заболевание все еще можно вылечить максимально быстро и безболезненно, обнаружить образование в мягких тканях самостоятельно невозможно. Оно сидит глубоко внутри мягких, и сказать о ее присутствии может только рентгеновское обследование.
Единственный случай, когда можно со стопроцентной уверенностью утверждать, что у вас возникал киста – это образование свища, но это уже считается одним из ее последствий. В такой ситуации обращаться к специалисту уже нужно незамедлительно, а иначе инфекция проникнет в кровь.
Другие народные средства
Одним из известных средств, которое отлично убивает бактерии, является чеснок. Он также хорошо заживляет раны. При заболевании кисты десен чеснок частично уничтожит вредные, болезнетворные микробы и значительно улучшит состояние десен.
Еще с давних времен люди открыли метод натирания чесноком. Чтобы его испытать на себе, нужно дольку разделить пополам, местом среза натирать проблемную локацию на десне. Эффективно также ежедневное употребление в пищу нескольких долек свежего чеснока.
Не менее востребованным считается лимонный сок. Для его приготовления понадобится стакан кипяченой воды и столовая ложка лимонного сока. Эти ингредиенты нужно перемешать и использовать в качестве ополаскивателя. Также можно жидкость применить по-другому – как своеобразный компресс. Приготовленную воду с лимоном нужно держать во рту, а если улучшений не наблюдается, необходимо добавлять больше лимонного сока.
Простое и оригинальное народное средство — мед и ржавый гвоздь. Чтобы его испробовать, понадобится нагреть гвоздь на огне и сразу опустить в мед. От такого взаимодействия вокруг появляется специальное вещество, которое нужно прикладывать к месту образования кисты в качестве примочки.
Обязательно ли посещать специалиста?
Первое из-за чего многие не посещают специалиста вовремя — это страх. Еще с детства у большинства людей формируется боязнь стоматологического лечения. Во многом в этом виноваты не самые совершенные методики обезболивания и самого лечения, которые применялись в практике еще каких-то 10 лет назад. Сегодня стоматология шагнула далеко вперед, но плохие ассоциации с ней все еще остались в памяти многих.
Вторая не менее распространенная причина — это стоимость лечения. Стоматологические услуги обходятся всегда довольно дорого. Даже такие простые методики, как пломбирование, могут серьезно ударить по карману. Даже не удивительно, что ознакомившись с прайс-листом соседней клиники, люди идут домой и начинают искать информацию не только о том, может ли пройти сама киста зуба, но и народных методах ее лечения.
Начнем с того, что вообще без посещения специалиста вы не можете с точностью поставить себе самостоятельно подобный диагноз. На начальной стадии развития, когда заболевание все еще можно вылечить максимально быстро и безболезненно, обнаружить образование в мягких тканях самостоятельно невозможно. Оно сидит глубоко внутри мягких, и сказать о ее присутствии может только рентгеновское обследование.
Единственный случай, когда можно со стопроцентной уверенностью утверждать, что у вас возникал киста — это образование свища, но это уже считается одним из ее последствий. В такой ситуации обращаться к специалисту уже нужно незамедлительно, а иначе инфекция проникнет в кровь.
Цистэктомия
На десне делают надрез, затем через рану выпиливается наружная костная пластина. Удаляют тело кисты, при необходимости вместе с доступной частью корня зуба. Перед пломбированием внутрь закладывают средство для более быстрого заживления костной ткани.
Профилактика
Чтобы не допустить появления кисты необходимо придерживаться простых, но действенных правил ухода за ротовой полостью:
- Не запускать такие заболевания, как кариес, пульпит, периодонтит, лечить их системно и до полного выздоровления.
- Не допускать появления зубного налета и превращения его в зубной камень.
- Контролировать состояние ротовой полости после операций и травм.
- Регулярно бывать у стоматолога, следить за состоянием запломбированных зубов, имплантов и т.п.
