.
Язык — это важный орган в человеческом организме, но о нем вспоминают лишь тогда, когда он начинает болеть. Заболеть язык может не только от инфекции, но и от механического воздействия. Что это значит? Язык натирается о неровные края зубов.
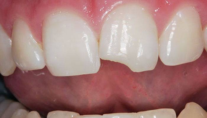
Самой частой ситуацией является откалывание небольшого участка зуба. Такая неприятность может случиться с каждым человеком. В итоге неровные края зуба начинают доставлять дискомфорт, мешают нормальному приему пищи и возникают болевые ощущения во время разговора.
Ранки на боках языка — следы от зубов
Если надолго отложить лечение травмированного языка, то можно получить серьезное воспаление, которое может повести за собой инфицирование всей ротовой полости.
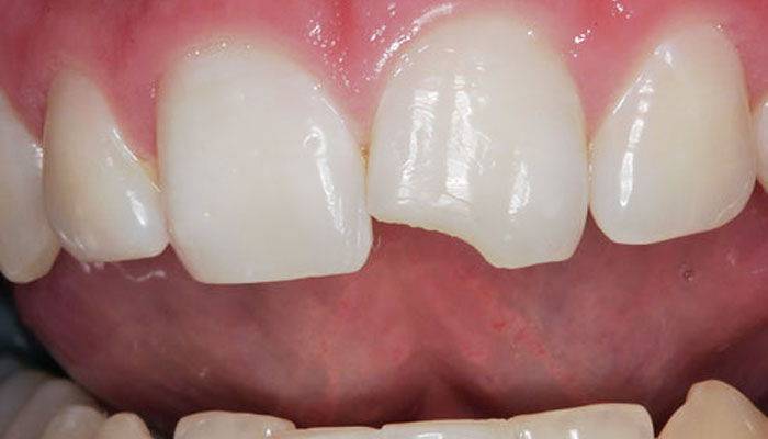
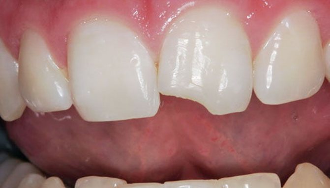
Откололся кусочек зуба
Подобный скол угла зуба может быть следствием травмы (удара)
Причин для откалывания частей зубов может быть несколько:
- Ослабление стенок зуба предыдущим лечением. В случае значительного кариозного очага после иссечения всех нежизнеспособных тканей оставшиеся стенки зуба могут быть сильно истончены. Пломбировочный материал во время приёма пищи может оказывать расклинивающее давление на эти ослабленные участки зуба. Кроме того, ежедневные колебания температуры при приёме холодной и горячей пищи вызывают хоть и незначительные, но частые изменения объёма пломбировочного материала. Это приводит к образованию участков повышенного напряжения и растрескивания твёрдых тканей зуба.
- Неправильное, неравномерное истирание твёрдых тканей зуба может приводить к появлению острых углов на поверхности зуба. При регулярном точечном давлении зубов противоположной челюсти на данные участки может происходить скалывание значительных участков эмали зуба.
- Ослабление стенки зуба кариесом. Под поверхностным слоем твёрдой, но хрупкой эмали располагается дентин, из которого состоит большая часть зуба. Дентин более порозный, его разрушение кариесом происходит быстрее, чем у эмали. Поэтому зуб долго сохраняет свою форму, выгнивая изнутри. Но когда размеры дефекта становятся значительными, эмаль над ним не выдерживает жевательных нагрузок и растрескивается, откалываясь небольшими кусочками.
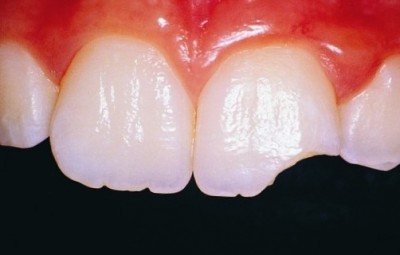
Скол эмали зуба, подрытой кариесом
Глоссит
Какие причины вызывают появление боли, воспаление в языке у взрослого или ребенка? Дискомфортные ощущения может спровоцировать глоссит – это воспалительное заболевание, характеризующееся изменением структуры, цвета языка, появлением бактериального налета.
Слизистые оболочки краснеют, отекают, вызывают чувство жжения и зуда, изо рта неприятно пахнет. Может возникать нарушение вкусовых ощущений, дикции. На поверхности слизистых образуются язвочки или трещины. У ребенка патология проявляется особенно ярко, но легче поддается лечению.
Вызывают развитие глоссита вирусы, инфекции либо грибки. Чаще всего заболевание протекает вместе со стоматитом, который поражает слизистые оболочки десен, внутренние стороны губ, щек. Нередко обнаруживается патология у маленького ребенка или у людей пожилого возраста.
Если глоссит запущенный, он протекает с ярко выраженным воспалительным процессом, образованием гнойных язв, повышением температуры тела. Пациенты жалуются на пульсирующие боли, затруднения во время пережевывания пищи и разговора.
Лечение проводит врач-стоматолог. Прежде всего, устраняют причину, вызвавшую развитие недуга. Назначают антибактериальные средства, антисептические полоскания. Поврежденные поверхности обрабатывают лечебными мазями. Пациентам необходимо повышать иммунитет, пить витамины.
Способы восстановления расколотых зубов.
Если откололся зуб и царапает язык, прежде всего, следует зашлифовать острые края. Даже если нет возможности сразу заняться полноценным восстановлением данная мера защитит мягкие ткани полости рта от травм и воспаления. Если разрушение зуба незначительно, лечение может быть ограничено только данной манипуляцией с последующим покрытием профилактическим фторсодержащим лаком.
Что делать если откололась эмаль зуба?
Откалывание эмали часто бывает не самостоятельной проблемой, но одним из симптомов развития кариеса. Если после иссечения всех разрушенных кариесом тканей зуб может быть восстановлен без использования коронки он может быть отреставрирован композитным пломбировочным материалом светового или химического отверждения.
Если откололся кусочек заднего зуба, следует выбрать такой способ его восстановления, который будет наиболее устойчив к большим жевательным нагрузкам. Пломбирование выбирают либо при незначительных дефектах в участках, не подвергающихся большому давлению, либо в качестве вспомогательного метода перед протезированием. Поскольку задние зубы не столь видны при улыбке и разговоре, для их восстановления часто применяют штампованные или литые металлические коронки, реже — металлокерамические.
Что делать если откололась стенка зуба?
Помимо пломбирования и изготовления коронок в случае откалывания одной стенки зуба может применяться восстановление вкладками.
Керамическая вкладка прочнее и долговечнее любой пломбы
Вкладка это изготавливаемый в зуботехнической лаборатории искусственный фрагмент зуба, фиксируемый в зубном дефекте специальным пломбировочным материалом. Такой способ протезирования особенно выгоден при восстановлении боковой стенки, прилегающей к соседнему зубу, он позволяет очень точно воссоздать зону контакта между ними.
Что делать если откололся передний зуб?
Откалывание части переднего зуба доставляет самые неприятные переживания. Даже если травма не сопровождается сильными болевыми ощущениями, дефект переднего зуба портит внешний вид человека, создаёт дискомфорт при общении и приёме пищи. Поэтому при восстановлении передних зубов особое внимание уделяется эстетике, незаметности реставрации.
Самый простой и быстрый способ восстановления это пломбирование. При небольших дефектах это самый предпочтительный способ. При значительных дефектах не все пломбировочные материалы выдерживают испытание временем — возможно изменение цвета реставрации или появление краевых сколов.
К современным способам реставрации повреждённых передних зубов можно отнести винирование.
Виниры не требуют сильно обтачивать зуб
Данный способ заключается в покрытии передней поверхности зуба искусственной композитной или керамической накладкой. Она позволяет скрыть линию скола и полностью маскирует имеющийся дефект, но в отличие от коронки не требует значительной всесторонней обработки твёрдых тканей зуба.
При значительных сколах передних зубов вплоть до перелома зуба применяются коронки — металлокерамические и безметалловые, из диоксида циркония. В случае невозможности качественно установить коронку на оставшейся части зуба обычно изготавливают культевую вкладку — литую конструкцию, надёжно удлиняющую наружную часть зуба.
Разновидности зубных переломов
Самым безопасным является повреждение эмали. Пациент замечает, что острые края отколовшейся стенки царапают язык или щеку изнутри, но не обращается к врачу. Отсутствие эмали дает большую нагрузку на ткань зубов. Поврежденная область более подвержена атакам вредоносных микробов, от негативного воздействия зуб постепенно разрушается. К тому же, если пострадала эмаль на передних зубах, улыбка становится неэстетичной.
Когда сломался зуб под корень или его часть (а сам корень остался в десне), такое повреждение может быть безболезненным, но довольно опасным. На ослабленной ткани при механическом воздействии появляются микроповреждения, способные со временем полностью разрушить дентин. Если не восстановить целостность сломанного зуба, можно его потерять.
Наиболее опасной разновидностью перелома является раскол зуба на части с оголением нервов. В некоторых случаях характер повреждений не дает шанса на восстановление отколовшегося или сломанного зуба. Решать вопрос о возможности реставрации будет специалист после детального осмотра.
Как действовать в ситуации, когда у вас откололся кусок зуба?
Далеко не все знают, что делать, если откололся кусочек зуба, куда нужно обращаться и сколько стоит ремонт. С такой проблемой сталкиваются в течение жизни многие люди, и не во всех ситуациях они могут сразу же обратиться за помощью в стоматологическую клинику.
Иногда человек может даже не заметить сам момент повреждения, а обнаруживает скол только спустя несколько часов. Такие нарушения зубной структуры могут проявляться весьма неприятными симптомами: болезненностью поврежденного участка или десны, травмированием языка и губ острым краем скола с последующим развитием воспаления в ротовой полости. Поэтому чем раньше вы получите необходимую помощь, тем меньше будет вероятность развития осложнений.
Почему может отколоться зуб? Причин для этого немало:
- механическая травма: удар, падение и т.п.;
- накусывание слишком твердой пищи, откусывание нитей и пластиковых элементов;
- слабая структура эмали, приводящая к повреждению даже при минимальном воздействии;
- нелеченные воспалительные стоматологические заболевания: кариес, пульпит;
- аномалии прикуса, при которых зубные коронки давят друг на друга, постепенно ослабляя прилегающие дентальные участки с внутренней стороны.
- снижение содержания кальция в зубах (чаща встречается у беременных, кормящих матерей и женщин в период менопаузы);
- избыточное употребление сладкой или кислой пищи, из-за чего эмаль становится слабой;
- иммунная недостаточность;
- гормональные расстройства;
- вредные привычки;
- неправильная постановка пломбы или превышение срока её службы.
Профилактические мероприятия
Профилактика сколов направлена на укрепление зубов. Соблюдать правила профилактики рекомендуется даже при отсутствии стоматологических проблем.
Основные профилактические мероприятия:
- Отказ от курения;
- Обогащение рациона кальцием;
- Соблюдение гигиены рта;
- Отказ от паст для отбеливания и полировки;
- Отказ от жевательных резинок и леденцов;
- Систематическое посещение стоматолога.
Соблюдение правил профилактики позволяет снизить риск развития кариеса и других заболеваний зубов, сохранить их естественный цвет.
Таким образом, если откололся кусочек зуба, необходимо сделать следующее:
- Прополоскать ротовую полость;
- Извлечь обломок из десны;
- При необходимости принять обезболивающее;
- Обратиться за помощью стоматолога.
Отсутствие терапии может стать причиной серьезных осложнений, и повлиять не только на состояние, но и внешний вид зубов.
Источник: dentoland.com
Виды сколов
- Неполный скол — микротрещина эмали. Обычно не вызывает дискомфорта и зачастую остаётся незамеченной. В этом и заключается опасность: в трещине размножаются микробы, которые постепенно разрушают дентальные ткани.
- Скол эмали — утрата маленького кусочка эмали, которая также не даёт явной болезненности, но может царапать мягкие ткани ротовой полости (язык, губы). Иногда эмаль откалывается вместе с ранее установленной пломбой.
- Скол дентина. В этом случае зуб обычно болит, боль носит ноющий характер и усиливается при жевательной нагрузке. Если скол длительно не лечить, то возможны инфекционные осложнения со стороны пульпы.
- Скол, распространяющийся на пульпарную камеру. В такой ситуации зуб фактически раскалывается, оголяются сосуды и нервные волокна, что сопровождается выраженной болезненностью и ускоренным развитием воспалительного процесса.
Симптоматика
Болезненность сбоку языка нередко сопровождается появлением других признаков. В большинстве случаев на поражённом участке протекает сильный или слабый воспалительный процесс.
Читать также: Из за чего появляется налет на языке
При дискомфорте проверьте, отмечены ли на поверхности или внутри мышечного органа ротовой полости следующие симптомы:
- краснота;
- язвочки во рту;
- эрозии;
- ранки;
- налет на языке;
- зуд;
- жжение;
- заметное увеличение нитевидных сосочков;
- припухлость/сильная отёчность краёв и других участков.
Нередко наблюдается:
Что делать до посещения клиники?
Визит к стоматологу после травмирования зуба лучше не откладывать. Однако далеко не всегда возможно быстро попасть на прием, а устранить дискомфорт и профилактировать возможные осложнения всё-таки нужно. Для этого необходимо предпринять следующие действия:
- Прополоскать ротовую полость водой, чтобы удалить мелкие зубные осколки, пищевые частицы и бактерии; для этой цели можно использовать соленую воду.
- Если травмирована ещё и десна, её нужно прополоскать антисептическим раствором и приложить марлевый тампон, намоченный холодной водой для остановки кровотечения.
- Когда откололся зуб и царапает язык, его также желательно изолировать от окружающих тканей, используя ватный тампон.
- В случае выраженной болезненности на область отлома накладывают компресс с местным анестетиком (новокаин, лидокаин) и принимают обезболивающие препараты (анальгин, ибупрофен, кетанов).
- До визита к врачу особенно тщательно надо соблюдать гигиенические процедуры для ротовой полости: регулярно проводить чистку зубов, прополаскивать рот после еды, принимать только щадящую пищу средней температуры и мягкой консистенции.
- Если имеется повреждение дентина и пульпы, откладывать визит в стоматологическую клинику нельзя не только из-за болевых ощущений, но и из-за высокого риска инфицирования. Если зубной отломок достаточно крупный, его следует сохранить и показать врачу, что облегчит восстановление естественной зубной формы.
Признаки
Если изначально моляр начал появляться в десне в правильном анатомическом положении, то его рост не доставит особых неудобств. Сложнее обстоит дело, когда прорезывание происходит с нарушениями. Классификация неправильного роста «восьмерки» следующая:
- Горизонтальное положение – наиболее сложное для прорезывания. Корни зуба разрушают соседние, царапают десну изнутри, травмируя слизистую оболочку.
- Щечно-угловое положение – зуб режется под наклоном, в сторону щеки.
- Язычно-угловое положение – зуб появляется, наклоняясь во внутреннюю сторону десны.
Единственно правильным положением «восьмерки» называется вертикальное, когда зуб растет вверх, не доставляя неудобств, боли и дискомфорта. Такое прорезывание считается редкостью, в основном моляры растут под наклоном вбок, царапая и травмируя ткани щеки. Именно с такими жалобами обращается большинство пациентов в стоматологическую клинику.
Также процесс прорезывания в сторону щеки сопровождается следующими симптомами:
- кровоточивость десен, особенно во время гигиенической обработки ротовой полости;
- воспалительный процесс, распространяющийся на ткани десны под здоровым зубом, расположенным по соседству;
- трудности при жевании и проглатывании пищи;
- повреждение и разрезы тканей щеки;
- отечность и гиперемия слизистой оболочки десны, щеки, языка;
- болевой синдром, распространяющийся с десны на область висков, затылка, горла и шеи;
- повышение температуры тела.
Если проблемная «восьмерка» долго растет, а прорезывание затягивается на месяцы, жизнь пациента существенно осложняется, в связи с постоянной болью, невозможностью полноценно есть, спать и работать.
Поэтому при начале процесса лучше сразу посетить стоматолога, чтобы убедиться, что зуб режется правильно и никаких опасных последствий не предвидится. Если анатомическое положение моляра нарушено, врач сможет сразу рассмотреть и наметить варианты устранения проблемы.
Методы восстановления и цена ремонта
Выбор реставрационной методики зависит от локализации поврежденной зубной единицы. Методы лечения также будут различны при сколах постоянных и молочных зубов у детей.
► Травмирование переднего зубного ряда
- Реставрация композитными материалами применяется при повреждении в пределах зубной эмали. Композиты послойно накладываются на предварительно обработанный участок слома и затвердевает под воздействием специальных направленных источников света. Композиты тщательно подбирают по цвету, и конечный результат чаще всего бывает не отличим от собственной эмали. Данная услуга — самая доступная по цене. Её стоимость по Москве в среднем составляет 4000-4500 рублей.
- Применение виниров, люминиров — это тонкие накладки, повторяющие форму резцов или клыков, устанавливающиеся на передней зубной поверхности. Изготавливаться могут из различных материалов (композиты, керамика). Люминиры отличаются большей тонкостью и практически не требуют предварительного обтачивания зубной поверхности. Стоимость установки виниров в среднем начинается от 12000 рублей, люминиров — от 20000.
- Коронки предназначены для реставрации значительных зубных повреждений, свыше половины площади. Они представляют собой слепки резца или клыка, повторяющие их физиологическую форму, изготовленные из различных вариантов материалов. Предварительно зуб депульпируют, прочищают корневые каналы. Стоимость коронки из металлопластика составляет от 3000, диоксид циркониевые коронки стоят около 25000 рублей.
- Дентальная имплантация необходима при полном разрушении зубной коронки. При этом в ткань челюсти устанавливают имплантат, а затем выполняется протезирование. Цена непосредственно на процедуру имплантации составляет в среднем 30000, протезирование — от 12000 рублей.
► Повреждение задних жевательных зубных поверхностей
- Установка пломб из стоматологических композитов применяется при легких формах сколов, ограниченных эмалью.
- Дентальные вкладки используют при повреждении половины площади коронки. Вкладки представляют собой объемные пломбы, изготовленные из композита, керамики, металла или прочной синтетики. В зависимости от используемых материалов стоимость услуги варьирует от 5000 до 15000 рублей.
- Коронки и мостовидные протезы применяют при обширных сколах, чаще вследствие травм.
- Имплантация — наиболее долговечный метод дентальной реставрации при полной утрате коронковой части.
Осложнения
- развитие воспаления, приводящего к кариозному процессу и пульпиту;
- повышенная чувствительность зубной эмали на поврежденном участке;
- воспаление окружающих тканей (периодонтит, гингивит, глоссит, стоматит);
- подвижность зубов;
- нарушение нормального смыкания зубных рядов;
- деформация зубного ряда, смещение соседних зубных единиц;
- формирование кист (полости с жидкостным содержимым) и гранулем (разрастание соединительной ткани) в случае поражения сосудисто-нервного пучка.
Видео: сломался зуб — советы стоматолога.
Профилактика
Для того, чтобы сохранить зубы в целости и избежать их сломов, необходимо придерживаться определенных правил:
- Тщательно следить за гигиеническим состоянием ротовой полости: регулярно чистить зубы, пользоваться флоссами, ополаскивателями для полости рта, посещать стоматолога не реже 1 раза в полгода для проведения профессиональной чистки зубов;
- Сбалансированно питаться: пища обязательно должна содержать минералы и микроэлементы, обеспечивающие прочность зубной ткани. Нельзя пренебрегать молочными продуктами, орехами, морепродуктами, употреблять много сладких и кислых продуктов.
- Не подвергать зубы избыточным нагрузкам: не разгрызать орехи, твердые леденцы, предметы, не предназначенные в пищу (нитки, узлы, пластик).
- Не пить и не есть слишком горячую и холодную пищу, которая вызывает размягчение эмали. Особенно вредно её одновременное употребление, например, при запивании мороженного горячим чаем.
- Отказаться от вредных привычек.
- Следить за ранее установленными пломбами, периодически проверять их у стоматолога на предмет плотности прилегания и наличия трещин.
- Не забывать использовать защищающие накладки при занятиях травмоопасным спортом.
- Своевременно исправлять (если это возможно) аномалии прикуса, пока они не привели к разрушению зубов.
- По возможности корректировать гормональные сбои по рекомендации врача.
Реабилитационный период
Поскольку процесс удаления проблемного моляра считается хирургическим вмешательством, период после операции требует особых реабилитационных и профилактических мер:
- если врач назначил антибактериальные препараты для предотвращения развития инфекции, нужно принимать их обязательно, в той дозировке, которая была прописана;
- не рекомендуется тщательно чистить зубы в районе лунки, оставшейся после удаления «восьмерки», чтобы не вымыть кровяной сгусток – он служит своеобразным барьером от болезнетворных бактерий, которые могут попасть в ткани десны;
- в первые сутки после операции нельзя полоскать рот, тем более с применением солевых растворов;
- нельзя употреблять твердую, раздражающую, чересчур холодную или горячую пищу;
- прикладывать согревающие или охлаждающие компрессы к щеке запрещено, поскольку можно застудить нервные окончания, либо теплом спровоцировать развитие инфекционного процесса.
В послеоперационный период нужно внимательно следить за состоянием организма и самочувствием, при каких-либо симптомах развивающегося воспаления нужно сразу обращаться к врачу, а не заниматься полосканиями и самолечением дома.
Откололся молочный зуб у ребенка
Сколы молочных зубов у детей 1-2 года жизни — явление нередкое из-за их подвижности и нескоординированности движений. Распространенное заблуждение многих родителей состоит в том, что молочные зубки лечить не обязательно. На самом деле при их повреждении к стоматологу желательно обратиться в течение первых суток. До этого момента место травмы обязательно нужно продезинфицировать.
Врач осмотрит место скола, при необходимости назначит рентген, чтобы исключить более глубокие повреждения. При маленьких сколах и трещинах возможно применение специального консервационного геля, восстанавливающего зубные ткани и препятствующего распространению микробов вглубь зуба.
При более серьезных сколах ставят композитную пломбу, которая укрепит зуб до момента его выпадения. Пульпу детям удаляют крайне редко, только при обширных травмах, так как она обладает высокой способностью к регенерации и в 95% случаев восстанавливается без удаления сосудисто-нервного пучка.
Воспаление слюнной железы
Почему болит слизистая оболочка под языком? Если болит дно ротовой полости, это может быть воспаление слюнной железы или травмирование уздечки. Сиалоаденит вызывает воспаление любой слюнной железы, расположенной во рту. В подъязычной области расположена крупная железа, поражение которой может вызывать острую боль, отек, затруднение во время приема пищи, уменьшение выработки слюны.
В воспалительный процесс могут вовлекаться симметрично расположенные железы (болит под языком справа и слева) или их большое количество. Вызывают заболевание вирусы, инфекции или грибки.
Боль на дне ротовой полости под языком стреляющего характера, распространяется в висок, ухо, может ухудшиться слух. Вокруг пораженной области образуется отечность, припухлость лица, повышается температура тела до 39˚.
Во время лечения пациентам назначают прием антибиотиков, щадящую диету, пенициллиново-новокаиновую блокаду подкожной клетчатки вокруг пораженной области.
Причиной боли под языком может быть закупорка протоков слюнной железы камнями. В таких случаях проводят хирургическое лечение по удалению конкрементов.
Что делать, если воспалился и болит язык у ребенка или взрослого? Способы лечения зависят от причин, вызвавших развитие недуга и появления болевого синдрома. Поэтому для определения правильного диагноза необходимо обратиться за помощью к врачу.
nashizuby.ru
Здравствуйте,
Подскажите пожалуйста, что может быть причиной натирания языка о зубы,
У меня это началось внезапно, через неделю пошел к стоматологу, которого очень люблю и давно у него лечусь,
постарался максимально загладить зубы, которые находяться в той области где натирается язык,
в добавление к этому — полностью вылечил все зубы, и сделал чистку,
в итоге, у меня спустя мес. до сих пор нет налетов и ни одной черной дырочки,
Однако, главная проблема — так и нерешена,
при разговоре более пяти минут — у меня появляется дискомфорт и покраснения на языке в той области,
помолчу несколько часов — дискомфорт спадает, покраснение тоже,
в итоге — мне дискомфортно разговаривать, при длительной беседе даже больно,
спасает, если я жую жвачку, держа ее во рту между зубами и языком в той области — тогда нет боли и дискомфорта,
подскажите пожалуйста, может быть этому есть какое то объяснение — с чем этой может быть связано,
я просто уже не знаю что с этим делать, я уже с неколькими специалистами — максимально заглаживал зубы, вроде нет неровностей, да и потом — это так внезапно началось, что я не могу понят в чем все же причина,
может быть это проблема языка — но у меня никогда не было проблем, ни язв, ни шишечек, ни сыпи — и сейчас тоже нет,
вот только при натирании появляется покраснение и образуется иногда небошая шишечка вследствие этого,
сейчас подумываю о том, чтобы вовсе спилить внутренний край зубов, чтобы сделать их вовсе кругловатыми,
сейчас я на это готов, так как надоело испытывать дискомфорт и стараться много не разговаривать. также я боюсь при этих покраснениях кушать «вне дома», боли нет, раны нет, однако я мнительный и боюсь заражений (полаяная что открытой раны нет, но на всякий случай проявляя осторожность и учитывая наличие натираний языка),
дайте пожалуйста свое мнение,
(прошу прощение за опечатки — клавиатура, к сожалению латинская, заставляет меня подбирать буквы по одной)
www.rosmedforum.ru
Натирание языка о зубы, что делать
Язык — это важный орган в человеческом организме, но о нем вспоминают лишь тогда, когда он начинает болеть. Заболеть язык может не только от инфекции, но и от механического воздействия. Что это значит? Язык натирается о неровные края зубов.
Самой частой ситуацией является откалывание небольшого участка зуба. Такая неприятность может случиться с каждым человеком. В итоге неровные края зуба начинают доставлять дискомфорт, мешают нормальному приему пищи и возникают болевые ощущения во время разговора.
Ранки на боках языка — следы от зубов
Если надолго отложить лечение травмированного языка, то можно получить серьезное воспаление, которое может повести за собой инфицирование всей ротовой полости.
Народная медицина на службе народа
К вашему вниманию подборка рецептов растворов, использование которых поспособствует дезинфицированию, заживлению раны и снижению болевых ощущений:
- Справиться с болью языка помогает отвар подмаренника. Заварите 1 столовую ложку подсушенной травы крутым кипятком, оставьте на полчаса, процедите полученную микстуру. Отвар подходит как для полоскания, так и для внутреннего употребления.
- Настойка шалфея — помощник в борьбе с болезненными ощущениями во время лечения травм полости рта. Заварив 2 столовые ложки вещества поллитром кипятка и дав настою «отдохнуть» в течение 30 минут, вы получите отличный антимикробный и противовоспалительный лечебный препарат. Частота полоскания: 5-11 раз в сутки.
- Залейте 1 столовую ложку ромашки 250 мл кипятка и дайте настояться. Процеженный раствор используйте после приема пищи и перед сном для заживления ран и снятия воспалительных процессов.
- Спиртово-зверобойная настойка — панацея от боли при травме языка. Используйте 40%-ный спирт и сушеную траву в пропорции 5 к 1 соответственно. В 250 мл воды добавьте 30-40 капель и прополощите полость рта.
- Отыскать картофель в погребе или ящике несложно, а почистить его вовсе дело двух минут. Смело используйте порезанный пластинами сырой овощ для снятия боли при ожогах.
Причины натирания
Причиной натирания языка может стать не только поломанный зуб, но и другие факторы:
Некачественно поставленная пломба. Низко квалифицированные специалисты в недорогих клиниках, иногда с халатностью относятся к своей работе. В результате поставленная пломба имеет неровные края. Все излишки материала потихоньку начинают вызывать дискомфорт слизистой оболочки языка. Иногда такое натирание доходит до мышечных органов.
Неудобные протезы. Некоторые люди носят протезы, но порой они могут доставлять неудобства. На начальной стадии ношения, сложная ортопедическая конструкция может травмировать всю ротовую область. Неудобство доставляют плохо отшлифованная поверхность, большие элементы протеза и замковые соединения.
Неудобный протез может ранить десна и язык
К какому врачу обращаться
Если исключены повреждения механического или термического характера, то не стоит терять время на самостоятельную диагностику.
Первым делом следует обратиться к стоматологу, который обследует больной орган и всю ротовую полость. При наличии стоматологических проблем, врач определит тактику дальнейших действий.
Если окажется, что причина кроется в других факторах, он направит к другим узким специалистам:
- эндокринологу;
- терапевту;
- гастроэнтерологу;
- гематологу;
- дерматологу;
- аллергологу;
- хирургу;
- онкологу.
При углублённом обследовании понадобится проведение дифференциальной и инструментальной диагностики, лабораторные исследования (гормонограмма, анализы крови, мочи).
Что необходимо делать
Если язык натерт зубом, то необходимо оценить степень скола. Небольшие сколы довольно быстро сглаживаются самостоятельно и уже не доставляют дискомфорта. Данный зуб нет необходимости лечить, ведь он не предоставляет никакой опасности.
Все небольшие ранки и потертости на языке заживут очень быстро.
Чтобы ускорить процесс восстановления языка, следует воздержаться от горячей, соленой и острой пищи. В аптеке продаются специальные крема и гели, которыми можно смазать поврежденные участки на языке.
Сломанный зуб требует лечения
Хорошо снимает воспаление примочки с использованием масла облепихи или шиповника. Смоченную салфетку прикладывают к поврежденному месту на 10–15 минут. Процедуру требуется проводить три раза в день.
Перед сном рот можно прополоскать настойкой прополиса. Ее требуется побольше разбавить с водой. Можно просто помазать натертые места медом.
Если откололся большой участок зуба, то без стоматолога не обойтись. Зубной врач подшлифует все острые края и обработает специальным средством. Может быть, что необходимо будет реставрировать зуб или даже прибегнуть к протезированию.
Обращение к стоматологу позволит устранить причину натирания
Что делать, если нет возможности своевременно сходить к стоматологу, а о зубы начался натираться язык. Такая ситуация может произойти во время отдыха за городом.
В данном случае можно использовать подручные средства. Подровнять острые края поможет:
- напильник с мелким абразивом;
- стеклянная пилочка для ногтей;
- наждачная бумага с самой мелкой крошкой.
Четкие отпечатки зубов на языке
Выбранный предмет вначале пропитывается спиртом или любым дезинфицирующим средством. Легкими поглаживающими движениями выравнивается поврежденное место. Нельзя сильно давить, иначе повредиться эмаль и десна. Применять данный метод рекомендуется только в крайних случаях.
Если на сломанном зубе имеется кариес и после скола появилось темное пятно, то не стоит надолго откладывать посещение к стоматологу. Окрашивание эмали в темный цвет говорит о том, что в тканях зуба активировался разрушительный процесс. Если вовремя не вылечить зуб и не поставить пломбу, то ближайшее время его придется удалить.
Травмирование острыми краями пломб
Иногда из-за серьезных травм лица, случается так, что кусок зуба откалывается ниже уровня десны. В данном случае боль будет очень интенсивной. При глубоком сколе может травмироваться десна. Иногда даже оголяется нерв. В такой ситуации требуется незамедлительно обратиться к врачу. Специалист сделает снимок и решит, можно ли излечить зуб или его придется удалять. Если моментальное обращение к врачу нереально, то рот рекомендуется как можно чаще полоскать. Для полоскания лучше использовать отвар ромашки или шалфея. При сильных болевых ощущениях необходимо выпить обезболивающее.
При таких больших сколах обычно прижигают десну или производят практику. После этого устанавливается пломба или коронка по стандартной технологии.
Первая помощь
При подозрении на перелом зуба пострадавшего необходимо как можно быстрее доставить к врачу или вызвать неотложку. Во время ожидания скорой нужно оказать первую помощь, что поможет снизить риск инфицирования и уменьшить боль. Если возникло кровотечение, рекомендуется слегка прополоскать рот водой, а затем приложить к месту повреждения стерильную марлевую салфетку, крепко прижать. Это поможет остановить кровотечение. При возникновении сильного болевого синдрома нужно дать пострадавшему обезболивающее средство и положить на область ушиба охлаждающий компресс.
Сломался зуб мудрости
Практически всегда стоматологи рекомендуют сразу избавляться от зубов мудрости. Ведь они могут доставить много хлопот. Из-за их нетипичного расположения, происходит существенный дискомфорт в ротовой полости. К тому же они могут прорезываться с болевыми ощущениями.
Попробуем разобраться, стоит ли удалять зуб мудрости, если он раскололся. К удалению стоит подходить только в том случае, если данный зуб доставляет много беспокойств. Если он имеет нормальную форму, не болит и вырос правильно, то лучше лечить. Зуб мудрости — это обычный зуб и лечение производится аналогично. В любой ситуации не стоит торопиться удалять, ведь любой зуб лишним не бывает.
Часто задаваемые вопросы ↑
После праздников язык покрылся налетом и болит с одной стороны, с чем это связано?
Скорее всего, это произошло из-за появившейся аллергии на повышенное употребление алкоголя.
Почему язык болит после удаления зуба?
Удаление зуба неминуемо сопровождается временным отеком десны, который может затронуть и язык. К тому же, стоматолог может нечаянно травмировать язык сбоку в ходе своих манипуляций.
Что делать, если болит язык у ребенка?
Дети могут жаловаться на боль во рту или отказываться есть, не называя причин. Родители должны догадаться, что это свидетельствует о боли в языке и отвести ребенка к врачу.
Причины болей у детей, что и у взрослых, но сама проблема у малышей встречается чаще. Происходит это по причине того, что дети постоянно тянут в рот что-то грязное и склонны к прикусыванию языка. Стоматит тоже часто возникает именно у детей.
Назначать лечение для ребенка, так же, как и определять истинную причину проблемы должен врач. Но перед тем как посетить его кабинет, не будет лишним обеззаразить ребенку ротовую полость, прополоскав ее содовым раствором.
Не обращать внимания на боль нельзя уже хотя бы потому, что ее причиной может быть воспалительный процесс. Отсутствие лечения любого рода воспаления в организме может в дальнейшем привести к серьезным осложнениям. Начинать посещения врачей с этой проблемой можно с терапевта, который перенаправит пациента к необходимому специалисту.
zubzone.ru
Профилактика от сколов
Лучшей профилактикой от скалывания зубов является ежедневная гигиена рта и своевременное посещение стоматолога.
А также стоит меньше увлекаться экстремальными видами спорта и избегать жизненных ситуаций, которые могут повести за собой механическое повреждение челюсти и зубов в частности. Еще не рекомендуется употребление слишком твердых продуктов (орехи, семечки).
Тщательная гигиена — профилактика ран языка
Все выше описанные ситуации очень неприятные, поэтому за зубами необходимо следить очень внимательно. Здоровье зубов напрямую влияет на желудочно-кишечный тракт, а значит и на деятельность всего организма. Поэтому очень важно, чтобы зубы были в идеальном состоянии.
Откололся зуб и режет язык. Можно ли его подточить пилкой для ногтей дома?
Откололся зуб и режет язык. Можно ли его подточить пилкой для ногтей дома?
Конечно нет . Нужно обязательно обратиться к врачу. Если вы и подточите то это должно быть как временная экстренная мера . Эдак рассужная и при открытом переломе можно не ходить к врачу — достаточно подточить острые обломки костей пилочкой для ногтей .
Не стоит подтачивать зуб пилочкой для ногтей. Лучше потерпеть, а язык солкосерил пастой мажьте, только сначала язык ваткой подсушите, тогда паста будет долго держаться.
Лечить зуб самостоятельно не слишком хорошая идея. Особенно точить его пилочкой для ногтей. Сейчас неизвестно из чего пилочки делают. А если исследовать пилочку под микроскопом, то можно увидеть много чего вредного. Да и пилочка предназначена в первую очередь для рук и ног.
Так что точить пилочкой зуб не самая хорошая идея. Можно занести какую нибудь заразу в рот и дальше будет только хуже. Либо губы раздует, либо герпес выскочит. Так что самое верное решение если зуб откололся — дождаться утра и сходить к зубному врачу. Он сделает все быстро и надежно
Хотя если очень уж язык зуб режет — берите пилочку и аккуратно подтачивайте. Главное не дайте пилочке коснутся языка и губ. Если однако хватило терпения потерпеть и пойти все таки к зубному доктору — желаю Вам хороших врачей как на фото ниже. Главное позитив, а затем боль)
Лучше не рисковать, потерпеть и обратиться при первой же возможности к врачу. Дело в том, что поступив таким образом, вы можете еще больше повредить зуб, может произойти еще скол или нарушится целостность эмали уцелевшей части зуба.
Нет не стоит этого делать,у меня когда откололся зуб,я пошел к стоматологу опасаясь что может пломбу поставит или что,а он мне просто пропалировал его,теперь он не режет и не больно пить холодную/горячую воду,не стоит это делать пилкой это может быть опасно,возможно до нерва дойдете хуже сделайте,сходите к стоматологу(мой вам совет).
Теоретически — подточить отколотый зуб очень даже можно. То есть, можно скруглить острый край, сделать его менее режущим, избавить себя от тех страданий, которые может причинять постоянное механическое трение обломка о язык.
Совершенно понятно, что этот метод не профессиональный, не стерильный, не панацейный и вообще малодопустимый. Но если не академизировать ситуацию и предположить, что если мы не примем самостоятельные экстренные меры (находясь, например, в лесу дремучем с пилочкой в руках и без стоматолога с кармане), то можем языка здорового лишиться за несколько дней или нормальной психики от боли, то из двух намечающихся зол нужно выбирать наименьшее. И тогда, вооружившись обработанной спиртом пилкой, интуицией и зеркалом, можно совершить несколько движений по зубу. Может помочь. И не такие ещ манипуляции делают, когда выхода иного нет.
Вот у меня как раз откололся кусочек зуба и больно резал язык.
Поскольку с зубными врачами я не очень-то дружу, то как раз и решила подпилить его своей пилочкой для ногтей.
Протерла ее туалетной водой для дезинфекции и подпилила.
Откровенно говоря, хоть зуб и перестал резать язык, но хорошего в этом мало. Потому что зуб стал слишком чувствительным, ни холодную воду, ни горячую пищу я теперь спокойно есть не могу , зуб сразу начинает болеть.
Поэтому лучший выход в данном случае-поход к стоматологу.
Нет , нельзя, идите к дантисту, он проведет шлифовку и пломбирование зубного отломка, самостоятельные действия чреваты флегмоной челюсти, вы занесете анаэробную патогенную флору в полость прикорневого пространства и начнется сепсис.Так что не отклдадывайте визит, Сами ничего не трогайте.
Когда дури много, можно вс что угодно сделать. Пилочкой пилили ногти, вряд ли е обрабатывали после каждого применения. Каких только микробушков там нет. А мы этой пилочкой думаем в рот полезть. Но даже, если пилочка чистая, стоит ли лазить ей у себя в полости рта?
Ни один врач-стоматолог не порекомендует подтачивать дома отколовшиеся зубы пилками для ногтей. Даже если его края режут язык или щеку. Врач скажет, что это не гигиенично, опасно, бессмысленно. И что подпиливая себе зубы, вы можете обернуть дело так, что боли будет ещ больше. Нарушите эмаль, сточите не ту поверхность, после чего вообще ни есть, ни спать будет невозможно.
Но у кого откалывались зубки, тот знает, как это бывает неприятно. Язык или щки можно нарезать так, что образуется настоящая рана. И ведь никакие обезболивающие не помогут. Сам зуб может и не болеть, а слизистые вокруг себя травмировать очень значительно.
Я согласна с людьми, которые скажут, что в самых экстренных случаях можно попробовать. Когда идти не к кому и терпеть уже невозможно. Но делайте это не так решительно, как хочется. Обработайте инструмент.
Если человека трудно остановить, боль столь сильна и решительность подпилить самостоятельно беспокоящий зуб заглушает голос разума, хоть обработайте свой подпилочный инструмент.
Тщательно промойте пилку спиртом или хотя бы горячей водой с мылом. Многократно промойте, а не один разок. И только после этой процедуры приступайте к спиливанию острого штырька. Если же почувствуете, что пилка затрагивает нерв, придтся завершить эту манипуляцию и идти quot;с повиннойquot; к хорошему стоматологу.
Если откололся зуб. Лучшая рекомендация — обратиться к стоматологу. Дело в том, что Вы вряд ли сможете определить самостоятельно степень тяжести повреждений. Возможное заражение может привести к неприятным последствиям и получится в итоге, что quot;скупой платит дваждыquot;.
Можно. Совершенно ничего страшного в этом нет. Иначе так и будете мучиться. Самый острый край спилите (достаточно несколько раз провести пилкой, это легко), вс остальное сделает стоматолог, когда Вы к нему попадте.
Невралгия языкоглоточного нерва
Почему болит, воспалился язык у основания, больно глотать пищу? Такие симптомы может вызывать невралгия. Заболевание характеризуется появлением болей в области корня языка, верхнего неба и миндалин. Дискомфортные ощущения возникают во время еды, разговора, открывания рта, человеку больно употреблять горячие или холодные напитки. Чаще всего невралгия диагностируется у мужчин старше 40 лет.
Вызывать патологию могут недавно перенесенные вирусные, инфекционные заболевания, травмы ротовой полости, атеросклероз сосудов, интоксикация организма при отравлениях.
Заболевание проявляется приступообразно, боль длится 3–5 минут, может отдавать в область горла, уха. После обострения усиливается слюноотделение, любая пища кажется горькой, может возникать онемение языка.
Для уменьшения болевого синдрома мышечный орган, зев обрабатывают анестетиками. Назначают курс гальванизации, витаминотерапию. В некоторых клинических случаях показано хирургическое вмешательство.
Откололся зуб и царапает язык: что делать?
Прежде всего, следует оценить степень скола и состояние зуба в целом. Маленькие сколы эмали сотрутся сами через несколько дней. Они обычно не несут никакой опасности для здорового зуба и полости рта, мелкие ранки и потертости от царапания щеки или языка заживают быстро.
Для обработки острого участка зуба лучше обратится за помощью к стоматологу. Врач подпилит его буром и покроет специальным средством. Если площадь скола большая то, скорее всего, потребуется реставрация или даже протезирование зуба.
В том случае, когда поход к врачу невозможен, а надломанный зуб очень мешает, можно попробовать обработать его подручными средствами. Для таких целей может подойти напильник с мелким абразивом, стеклянная пилочка для ногтей или самая мелкая наждачная бумага.
Любой из этих предметов предварительно обработать спиртом или любым дезинфицирующим раствором. Действовать нужно очень осторожно, чтоб не повредить эмаль и десна. Этот метод является крайним и его использование очень нежелательно.
Если в надломанном зубе есть кариес и на месте скола видно темные пятна, то обратиться к врачу нужно как можно скорее. Темный цвет эмали и дентина свидетельствует о том, что начался активный процесс разрушения тканей и без своевременного пломбирования или протезирования зуб будет откалываться дальше и его придется удалять.
Если откололся зуб ниже уровня десны, то неприятные ощущения будут очень интенсивными. Часто, такое случается из-за серьезной травмы лица. Глубокий скол зуба может сильно травмировать десну и даже оголить нерв. Если быстро обратиться к врачу не получается, то следует часто полоскать рот отваром ромашки или шалфея, а также принять обезболивающее. Только визит к врачу сможет решить, что дальше делать с зубом.
Лечение
Единственным показанием к оставлению «восьмерки» является его правильный рост. Если же моляр режется по направлению к щеке, стоматолог посоветует его удалить.
После подготовки нужного оборудования врач приступает непосредственно к операции, которая происходит в несколько этапов:
- Анестезия – если во время диагностики были выявлены возможные осложнения в ходе вмешательства, обезболивание должно быть длительным и качественным. В таких случаях применяют проводниковую анестезию. Особо тяжелые ситуации могут потребовать общего наркоза, после этого стоматолог должен наблюдать пациента во время всего послеоперационного периода.
- Разрез десны – производится для того, чтобы обеспечить полноценный доступ к корням зуба, которые часто бывают искривлены.
- Выпиливание и удаление части костной ткани, при помощи бора.
- Распиливание межкорневой перегородки – может потребоваться в том случае, если корень будет извлекаться из десны по частям.
- Полное извлечение моляра.
- Удаление осколков, если таковые остались в тканях.
- Антисептическая обработка лунки, наполнение ее противовоспалительным лекарственным средством, во избежание осложнений.
- Зашивание десны.
- Применение гемостатической пробки, если у пациента наблюдается обильное кровотечение.
- Установка дренажа, если в полости десны под моляром скопился гной.
Если наклон зуба в сторону щеки небольшой и моляр почти полностью появился над поверхностью десны, разрезание тканей может не понадобиться. Швы чаще всего накладывают саморассасывающиеся, если же по показаниям десна была ушита обычным способом, придется посетить стоматологический кабинет еще раз, через несколько дней, для их извлечения.
Реабилитационные период может также сопровождаться повышением температуры, недомоганием и отсутствием аппетита. Если все перечисленные признаки идут на спад по прошествии 3-5 дней, значит операция прошла успешно и поводов для беспокойства нет.
Длительное ощущение болезненности, отек и покраснение десны, сохранение повышенной температуры на протяжении недели должны стать поводом для повторного посещения врача. Возможно в тканях начался воспалительный процесс, который требует обязательного лечения.
Лечить или удалять зуб мудрости?
Зубы мудрости практически всегда доставляют много хлопот и часто врачи советуют их удалять сразу, так как они могут иметь нетипичное расположение, доставлять значительный дискомфорт во время прорезывания. Но, что делать, когда откололся зуб мудрости: лечить или удалять его? В данной ситуации нужно хорошо подумать. Если зуб нормальной формы и правильно вырос, то удалять его совершенно необязательно. Как и все остальные зубы, мудрый зуб можно лечить, реставрировать и даже протезировать, ведь, как известно, зубы лишними не бывают.
Любая из описанных выше ситуаций, является достаточно неприятной. Поэтому, главная задача – не допустить сколов зубов и эмали. Правильная гигиена рта и своевременные визиты к стоматологу могут существенно снизить риск откалывания стенки зуба. Также, следует свести к минимуму жизненные ситуации, в которых может случиться механическое повреждение челюстей и зубов в частности.
Последствия неправильного роста моляра
Если «восьмерка» растет неправильно, нужно принимать меры как можно скорее. Если зуб не был удален заблаговременно по показаниям, то тянуть с операцией во время проблемного прорезывания не стоит.
Ретинированный моляр, растущий аномально, может привести к следующим неприятным последствиям:
- повреждение мягких тканей и слизистой оболочки щеки и десны;
- нагноение – риск инфицирования возрастает, если «восьмерка» режет окружающие ткани, а пациент игнорирует этот симптом. В месте травмирования начинается воспалительный процесс, который может привести к скоплению гноя в пародонтальном кармане;
- нарушение прикуса;
- разрушение корней соседних зубов, при сильном наклоне «восьмерки» в сторону щеки, что чревато образованием кист и очагов воспаления в десне, из-за скопления осколков;
- формирование злокачественной опухоли в тканях щеки – вариант редкий, но возможный, поскольку при постоянном натирании и царапании слизистая уплотняется и может ороговеть, а дальнейшее ее повреждение повлечет развитие новообразования.
Чтобы не допустить серьезных последствий, лучшим вариантом станет своевременное обращение к врачу при начале прорезывания восьмого моляра.
Современные методики лечения и удаления моляров позволяют провести операцию безболезненно для пациента, поэтому откладывать визит в стоматологию не стоит. Нужно помнить, что молодой организм быстрее справляется с послеоперационными последствиями – болью, температурой и недомоганием, нежели у людей старшего возраста. Поэтому, заблаговременное удаление зубов мудрости и рекомендуется многими стоматологами.
Источник: dentalblog.ru



















