Оголение десен – это симптом стоматологической болезни воспалительного или не воспалительного характера. Рецессия пародонтальной ткани занимает 3-е место среди всех стоматологических заболеваний. Причиной для визита к врачу служат не только признаки воспалительного процесса, но и эстетический дефект улыбки.
На выбор метода лечения оголенных десен влияют не только причины рецессии десневого края, но и особенности клинической картины заболевания. Какие факторы провоцируют поднятие десны над зубом и что делать при возникновении пародонтальной рецессии?
Причины оголения шейки зубов
Рецессия десны — не врожденное, а приобретенное заболевание. Когда происходит оголение шейки зуба, причины и лечение тесно связаны между собой. Поэтому сначала врач устанавливает этиологию заболевания, а затем разрабатывает план устранения патологии.

Неправильная гигиена
Установить, почему оголяются корни зубов, часто удается в беседе с пациентом. Если человек чистит зубы слишком интенсивно, с силой давит на щетку или располагает ее под углом по направлению к десне, возможно повреждение кортикальной пластинки.
Она становится тоньше, мягким тканям челюсти перестает хватать питательных веществ. В результате десны становятся тоньше, шейка зуба оголяется.
Если появился клиновидный дефект
Иногда на шейке появляется дефект в форме клина. Такая патология потребует более серьезной терапии. Если это начальная стадия, поможет шлифовка лазером и нанесение состава для реминерализации. Доктор также порекомендует подобрать щетку с более мягкой щетиной и подберет пасту, снижающую чувствительность.
На средней стадии развития клиновидного дефекта можно установить виниры. Это тончайшие керамические пластины. Но они дорого стоят и быстро изнашиваются. Также потребуется шлифовка эмали. Глубокий дефект потребует серьезных мер. Нужно будет установить пломбу или даже коронку.
Другие причины
Иногда причину, почему опускаются десны, стоит искать в проведенных ранее медицинских процедурах. Врачебные манипуляции, приводящие к рецессии:
- интралигаментарное обезболивание;
- экспресс-лечение у ортодонта;
- неправильно проведенное препарирование зуба;
- использование постоянных коронок и протезов.
Кроме внешнего воздействия, рецессия десны может возникать из-за внутренних причин. К числу таких факторов относится:
- старение;
- удаление одного и более зубов без замены на имплант;
- вредные привычки: очистка семечек зубами, курение;
- генетическая предрасположенность;
- травмы.
Рецессия может развиться из-за неграмотного лечения зубов и десен
Причина заболевания должна быть обнаружена и устранена. Это позволит избежать рецидивов и ускорит выздоровление пациента.
К какому врачу обратиться
Лечением заболеваний челюстно-лицевой системы занимается стоматолог. Более узкая специализация – пародонтолог. В зону ответственности стоматолога-пародонтолога входят десна, ткани возле десен, кости челюсти.
В сложных случаях возможна совместная работа стоматолога-терапевта, пародонтолога и челюстно-лицевого хирурга. При подозрении на гормональную природу заболевания потребуется консультации эндокринолога, гинеколога или андролога.
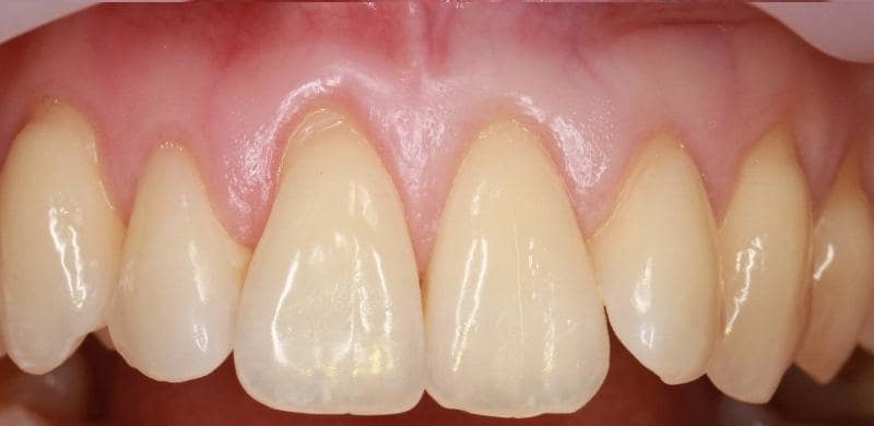
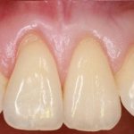
Симптомы рецессии десны
У здорового человека шейка зуба и верхняя часть его корня закрыта ровными валиками мягких тканей. Рецессия десны сопровождается несколькими симптомами:
- повышенная чувствительность зубов к горячей и холодной пище;
- отек мягких тканей из-за воспалительного процесса (гингивит);
- кровоточивость десен при незначительной нагрузке на зубы;
- кариес пришеечной области;
- открытие корня зуба;
- хрупкость эмали — появление сколов и трещин;
- атрофия десны.
Рецессия бывает тех видов: травматической, симптоматической и физиологической. Все они отличаются по нескольким признакам. Особенности травматической рецессии:
- открытый участок шейки не превышает 3 мм;
- есть механические повреждения зубов;
- на месте рецессии появляется утолщение десны;
- отсутствуют симптомы воспаления;
- нет зубного камня.
- присутствие периодентальных карманов;
- поражает один зуб;
- десны воспалены, могут гноиться;
- на эмали присутствует застарелый налет;
- десны кровоточат в спокойном состоянии;
- присутствуют воспалительные заболевания полости рта;
- шаткость зубов;
- патологический цвет слизистой оболочки рта.
- возраст пациента старше 60 лет;
- отсутствие воспалительных заболеваний полости рта;
- существенное открытие корня зуба;
- патология генерализованная: поражены обе челюсти;
- зубы не шатаются.
От типа рецессии зависит выбор метода лечения. Поэтому врач должен подробно расспросить пациента о симптомах и собрать анамнез о травмах и имеющихся болезнях. Это поможет точно установить причину и составить план лечения.
Диагностические мероприятия
Лечение оголенных корней зубов производится только после тщательной диагностики — необходимо выяснить причину рецессии слизистой. Диагностические мероприятия включают осмотр полости рта стоматологом и ряд инструментальных исследований. Во время осмотра врач оценивает, насколько оголились зубы у десен — фиксируется глубина и ширина рецессии.
Рентген челюсти необходим для того, чтобы оценить высоту межзубных перегородок, степень деструкции кортикальных пластин. В определенных ситуациях изменение структур столь запущено, что делает затруднительным лечение оголения корней зубов.
Нужно обязательно оценить индекс кровоточивости, так как если шейка зуба оголилась при повышенной кровоточивости, нужно лечить расстройство в свертывающей системе, а уж потом рецессию.
Осмотр и рентгенологическая картина позволяют выставить класс рецессии:
- Первый класс. Рецессия проявляется только недостаточным объемом десны.
- Второй класс. Отмечается умеренное смещение десны на 2–4 мм в сторону корня, межзубные перегородки имеют нормальное строение, около них отмечается побледнение слизистой оболочки.
- Третий класс. Шейка зуба оголилась полностью, что делает видимым корни.
- Четвертый класс. Вокруг зуба убывает не только мягкая ткань десны, но и костная ткань. Наблюдается выраженная дистрофия межзубных промежутков.
Пластика десен
Операции этого типа называют «гингивопластикой». Они проводятся при рецессии десны 3-4 степени. Во время операции наращивают мягкую ткань или удаляют ее излишки (при наличии пародонтальных карманов).
Лоскутный метод
Во время операции недостающие ткани восстанавливают за счет собственного материала пациента. Лоскут берут с мягкого неба или используют часть десны, расположенную выше рецессии.
Так можно закрыть сразу несколько проблемных зубов. При распространении рецессии только на один корень лоскут формируется из пародонтального кармана.
Метод регенерации тканей
Выполнить операцию собственным лоскутом возможно не у всех пациентов. Тогда врачи используют искусственные материалы. Их закрепляют на месте поражение, где позже формируются новые ткани. Эта методика используется не во всех клиниках, так как требует наличия регенерирующего материала.
При рецессии на 3-4 стадии проводится операция
Диодный лазер Picasso Lite
Современное высокотехнологичное устройство для проведения операций — диодный лазер Picasso. Преимущества аппарата:
- точность — работа на клеточном уровне без повреждения здоровых тканей (тоньше шрамы, ниже риск инфицирования);
- аккуратность — не обжигает ткани, что ускоряет заживление;
- универсальность — подходит для работы с брекет-системами;
- безопасность — подходит для пациентов с патологиями сердечно-сосудистой системы;
- бережность — ткани отделяются легко, что уменьшает площадь повреждения и снижает риск осложнений после операции;
- доступность — цена на аппарат позволяет приобрести его даже в небольшие клиники;
- простота — лазер имеет несколько стандартных режимов, но может настраиваться вручную под конкретного пациента (комфортный уровень мощности);
- экономичность — не требует расходных материалов;
- мобильность — аппарату для работы не нужна подача воздуха и воды, потому его можно перемещать в пределах клиники;
- чистота — лазер оказывает бактерицидное действие, что исключает возможность инфицирования раны;
- контроль — врач отлично видит операционное поле, что снижает риск случайных травм во время операции.
Рабочая поверхность лазера — волоконно-оптический кабель. После операции использованная часть (от 3 до 5 мм) срезается, аппарат снова готов к применению.
Диодный лазер Picasso — современный метод лечения десен
Когда необходимо хирургическое лечение?
Операция по поводу рецессии десны проводится при 3-4 степени выраженности. При этом атрофируется костная и межзубная ткань. Процесс может затрагивать один или несколько зубов и сопровождаться их расшатыванием.
Лечение рецессии десен в домашних условиях, народными средствами
На начальных стадиях терапия при рецессии десны может проводиться дома. Но такое лечение должно быть согласовано с врачом, чтобы не спровоцировать ухудшение состояния. Также стоматолог обучает пациента правилам чистки зубов. Это поможет остановить прогрессирование болезни.
Симптоматическая рецессия десен лечится только совместно с основным заболеванием. Для этого назначаются противовоспалительные средства. Чтобы опустить десну вниз, нужно нарастить ткани, для чего применяют препараты и процедуры, ускоряющие регенерацию.
Массаж
Для скорейшего закрытия обнаженного участка зуба десной в домашних условиях можно делать массаж. Это улучшит кровообращение, что усилит поступление питательных веществ в ткани. Из-за этого ускорится рост клеток, десна быстрее закроет шейку зуба.
По рекомендации врача в период лечения дома можно делать себе массаж десен
Компрессы и полоскания
Безоперационное лечение можно провести компрессами и полосканиями. Лучшие народные средства от рецессии десны:
- отвар зверобоя — полоскать рот после еды;
- настой смеси календулы, ромашки, шалфея — делать компрессы на пораженные участки;
- отвар коры дуба — ополаскивать полость рта;
- отвар шалфея и мяты — мочить марлю и класть на участки обнаженной шейки зуба.
Народные способы лечения можно применять только после консультации с врачом. Часто они используются в составе комплексной терапии, совместно с другими методиками.
На начальных стадиях заболевания и в процессе комплексного лечения можно полоскать ротовую полость отварами трав при разрешении врача
Народная медицина
Способов для лечения оголённых шеек дома, придумано в народе немало, их главным недостатком является то, что они подходят не при всех случаях:
- Массаж десен. Для массажа понадобится жёсткая сторона щётки, которой десну сначала следует слегка потереть, а потом резко и сильно прижать, отпустить через несколько секунд и далее повторять процедуру не менее 10 минут в день. Если щёткой во рту работать не удобно, можно пользоваться пальцами.
- Полоскания. Отвары делаются из зверобоя или дубовой коры. На 300 мл. воды, надо не менее 4 ложек измельчённой, просушенной ботвы зверобоя, после доведения отвара до кипения его следует остудить и полоскать уже тёплым. Если вместо зверобоя используется кора дуба, то её надо не меньше 50 грамм на 300 мл. воды, кора не должна быть слишком сухой и дряблой.
- Подорожник. Подорожник следует тщательно промыть под холодной водой, а потом нарезав на кусочки, жевать в течение 20 минут. Также, листья можно натереть на тёрке и полученный салат, засовывать по всему периметру дёсен. Такую процедуру проводят раз в 2 дня.
- Банановая кожура. Просушенную кожуру банана перетирают и добавляют 2 чайные ложки соли. Потом в эту мешанину надо подлить оливкового масла до получения кремового раствора. Эту смесь (вкус сбудет ужасным) держать не меньше 10 минут, 4 раза в неделю.
- Свекла. Можно и использовать свеклу, которую натирают на терке и накладывают на дёсны, такую обкладку производят 2 раза в день на протяжении 2 недель.
Диета при оголении шейки зубов
Рецессия десны провоцирует боль при употреблении некоторых продуктов. Для улучшения самочувствия и остановки прогрессирования заболевания пациентам назначается диета. Рекомендации по питанию больных с рецессией десны:
- отказаться от горячего и холодного;
- не есть жесткую пищу (морковь, яблоки, сухари и т. п.);
- ограничить употребление семян подсолнечника, тыквы.
При соблюдении правил питания состояние пациентов значительно улучшается. Вернуть прежний режим можно после полного выздоровления, постепенно вводя продукты в рацион.
Методы профилактики
Рецессия десны может рецидивировать. Избежать этого позволяет соблюдение правил профилактики:
- адекватная гигиена полости рта;
- профессиональная чистка у стоматолога 1 раз в год;
- разнообразное и сбалансированное питание;
- своевременное лечение воспалительных заболеваний ротовой полости;
- предупреждение травм челюсти.
От возникновения рецессии десны не застрахован никто. Это заболевание возникает по множеству причин, учесть которые не всегда возможно. Но своевременное обращение в клинику позволит избежать операции и вылечить патологию консервативными методами.
Профилактические мероприятия
Если десны опускаются и оголяют зубные корни, нужно как можно раньше начинать профилактические мероприятия. Их суть заключается в скрупулезном соблюдении правил гигиены рта. Следует научиться правильно эксплуатировать зубную щетку, не травмируя мягкие ткани. Рекомендуется регулярное избавление от зубного камня.
При десневой рецессии прогноз для выздоровления относительно благоприятный — при устранении первичной причины выздоравливают 95% пациентов. У оставшихся 5% даже при использовании хирургического лечения возникают рецидивы, поэтому нужно менять схему терапии.
Наиболее благоприятно в плане прогноза опущение десны 1 и 2 класса, так как восстановления можно добиться без операции, при 3 и 4 классе закрыть дефект без оперативного лечения практически невозможно.
